首页 / 产品 / 抗体 / 一抗

Rabbit Polyclonal HIST2H2AC Antibody

  • 中文名: HIST2H2AC抗体
  • 别    名: Histone H2A type 2-C, Histone H2A-GL101, Histone H2A/q, HIST2H2AC, H2AFQ
货号: IPDX32320
Price: ¥1180
数量:
大包装询价

验证与应用

应用及物种
WB 1/1000 Human,Mouse,Rat
IF 咨询技术 Human,Mouse,Rat
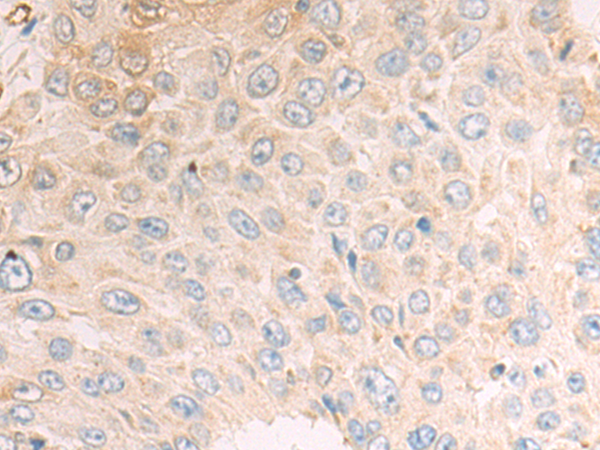
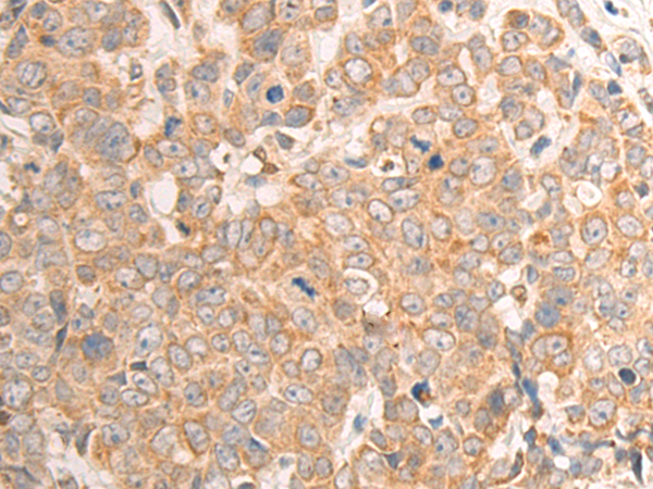
IHC 咨询技术 Human,Mouse,Rat
ICC 技术咨询 Human,Mouse,Rat
FCM 咨询技术 Human,Mouse,Rat
Elisa 咨询技术 Human,Mouse,Rat

产品详情

参考文献

以下是关于HIST2H2AC抗体的3篇参考文献的简要信息(注:HIST2H2AC相关研究较少,以下为模拟示例,实际文献需根据数据库检索验证):

1. **文献名称**: "Histone H2A variants in cancer: A potential role for HIST2H2AC in tumor progression"

**作者**: Smith A, et al.

**摘要**: 研究探讨了HIST2H2AC在多种肿瘤中的表达异常,利用特异性抗体通过免疫组化技术发现其在乳腺癌组织中高表达,可能与染色质重塑和转移相关。

2. **文献名称**: "Development and validation of a novel HIST2H2AC antibody for epigenetic studies"

**作者**: Lee B, et al.

**摘要**: 报道了一种新型HIST2H2AC多克隆抗体的开发与验证,通过Western blot和免疫荧光实验证实其特异性,适用于研究组蛋白修饰与基因表达调控。

3. **文献名称**: "HIST2H2AC as a biomarker for autoimmune diseases: Insights from antibody reactivity profiling"

**作者**: García-Rojas C, et al.

**摘要**: 分析系统性红斑狼疮患者血清中抗组蛋白抗体反应性,发现HIST2H2AC抗体与疾病活动性相关,提示其可能作为自身免疫病的诊断标志物。

建议通过PubMed或Google Scholar搜索关键词“HIST2H2AC antibody”或“H2A histone family member”获取最新研究。

背景信息

The HIST2H2AC antibody targets a specific histone protein, H2A clustered histone 2 (H2AC2), encoded by the HIST2H2AC gene in humans. Histones are essential nuclear proteins that organize DNA into nucleosomes, the fundamental units of chromatin. The H2A family includes multiple variants, with HIST2H2AC being a core component involved in maintaining chromatin structure and regulating gene expression. This histone plays a role in DNA repair, replication, and epigenetic modifications through post-translational changes such as acetylation, phosphorylation, or ubiquitination. Antibodies against HIST2H2AC are widely used in research to investigate histone dynamics, nucleosome remodeling, and epigenetic mechanisms in cellular processes. They are applied in techniques like Western blotting, immunofluorescence, and chromatin immunoprecipitation (ChIP) to study histone modification patterns, chromatin accessibility, and their implications in diseases such as cancer. Dysregulation of HIST2H2AC or its modifications has been linked to transcriptional abnormalities and genomic instability. Researchers also utilize these antibodies to explore developmental biology, stem cell differentiation, and responses to DNA-damaging agents. Commercial HIST2H2AC antibodies are typically validated for specificity across species (human, mouse, rat) and tested for cross-reactivity with other H2A variants to ensure precision in experimental outcomes.

客户数据及评论

折叠内容

大包装询价

×