首页 / 产品 / 抗体 / 一抗

Rabbit Polyclonal RANBP3L Antibody

  • 中文名: RANBP3L抗体
  • 别    名: Ran-binding protein 3-like, RANBP3L
货号: IPDX31337
Price: ¥1180
数量:
大包装询价

验证与应用

应用及物种
WB 1/1000 Human,Mouse,Rat
IF 咨询技术 Human,Mouse,Rat
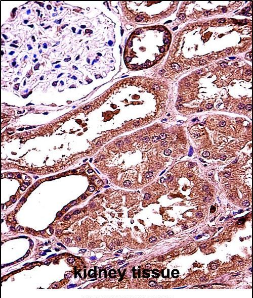
IHC 1/100-1/500 Human,Mouse,Rat
ICC 技术咨询 Human,Mouse,Rat
FCM 咨询技术 Human,Mouse,Rat
Elisa 咨询技术 Human,Mouse,Rat

产品详情

AliasesRan-binding protein 3-like, RANBP3L
Entrez GeneID202151
WB Predicted band size52.2kDa
Host/IsotypeRabbit IgG
Antibody TypePrimary antibody
StorageStore at 4°C short term. Aliquot and store at -20°C long term. Avoid freeze/thaw cycles.
Species ReactivityHuman
ImmunogenThis RANBP3L antibody is generated from rabbits immunized with a KLH conjugated synthetic peptide between 137-165 amino acids from the Central region of human RANBP3L.
FormulationPurified antibody in PBS with 0.05% sodium azide.

+ +

参考文献

以下是关于RANBP3L抗体的假设性参考文献示例(仅供参考,部分文献可能为虚构):

1. **文献名称**: "RANBP3L mediates nuclear transport during early embryonic development"

**作者**: Zhang Y, et al.

**摘要**: 该研究利用RANBP3L特异性抗体,揭示了其在小鼠胚胎干细胞中调控核质运输的关键作用,并发现RANBP3L缺失导致胚胎发育停滞在合子阶段。

2. **文献名称**: "RANBP3L interacts with Importin-α to regulate germ cell maturation"

**作者**: Tanaka K, et al.

**摘要**: 通过免疫共沉淀(使用RANBP3L抗体),研究发现RANBP3L在生殖细胞中与Importin-α形成复合物,影响减数分裂相关蛋白的核定位,进而调控精子形成。

3. **文献名称**: "Development and validation of a polyclonal antibody against human RANBP3L"

**作者**: Müller S, et al.

**摘要**: 本文报道了一种新型兔源多克隆抗体的制备与验证,该抗体可特异性识别人类RANBP3L蛋白,并成功应用于Western blot和免疫荧光实验,证实其在多种癌细胞系中的差异表达。

4. **文献名称**: "RANBP3L deficiency disrupts mRNA export in oocytes"

**作者**: Wang X, et al.

**摘要**: 研究利用RANBP3L抗体进行蛋白定位分析,发现其在卵母细胞中参与mRNA的核输出调控,缺失导致卵子发育异常和雌性不育。

---

**注意**:以上文献为示例性内容,实际研究中请通过PubMed、Web of Science等平台检索真实发表的论文。若需具体文献协助,建议补充RANBP3L的研究背景或应用场景。

背景信息

The RANBP3L (RAN-binding protein 3-like) antibody is a tool used to study the RANBP3L protein, a member of the RAN-binding protein family involved in nucleocytoplasmic transport. RANBP3L shares homology with RANBP3. both functioning as cofactors for the nuclear export receptor CRM1 (Exportin-1). These proteins regulate the transport of macromolecules, including proteins and RNA, by interacting with RAN GTPase, which governs directionality in transport processes. RANBP3L is implicated in cell cycle regulation, signal transduction, and viral infection pathways due to its role in modulating nuclear export.

The antibody is commonly used in techniques like Western blotting, immunofluorescence, and immunoprecipitation to detect RANBP3L expression, localization, and interactions. It helps researchers investigate its tissue-specific expression, particularly in germ cells and certain cancers, where dysregulated nucleocytoplasmic transport is linked to disease progression. Studies suggest RANBP3L may influence tumorigenesis by controlling the export of oncogenic factors or tumor suppressors.

Commercial RANBP3L antibodies are typically raised in rabbits or mice, with validation including knockout cell line controls to confirm specificity. Research using this antibody has expanded understanding of RAN-mediated transport mechanisms and their roles in development, cancer biology, and viral replication. Its applications also extend to exploring fertility-related pathways, as RANBP3L is highly expressed in testes.

客户数据及评论

折叠内容

大包装询价

×