首页 / 产品 / 抗体 / 一抗

Rabbit Polyclonal PGA4 Antibody

  • 中文名: PGA4抗体
  • 别    名: Pepsin A-4, Pepsinogen-4, PGA4
货号: IPDX31202
Price: ¥1180
数量:
大包装询价

验证与应用

应用及物种
WB 1/1000 Human,Mouse,Rat
IF 咨询技术 Human,Mouse,Rat
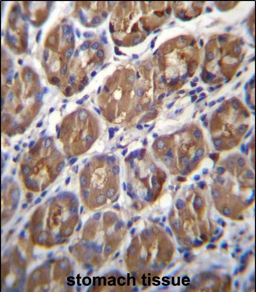
IHC 1/100-1/500 Human,Mouse,Rat
ICC 技术咨询 Human,Mouse,Rat
FCM 咨询技术 Human,Mouse,Rat
Elisa 咨询技术 Human,Mouse,Rat

产品详情

AliasesPepsin A-4, Pepsinogen-4, PGA4
Entrez GeneID643847
WB Predicted band size42.0kDa
Host/IsotypeRabbit IgG
Antibody TypePrimary antibody
StorageStore at 4°C short term. Aliquot and store at -20°C long term. Avoid freeze/thaw cycles.
Species ReactivityHuman
ImmunogenThis PGA4 antibody is generated from rabbits immunized with a KLH conjugated synthetic peptide between 353-381 amino acids from the C-terminal region of human PGA4.
FormulationPurified antibody in PBS with 0.05% sodium azide.

+ +

参考文献

以下是关于PGA4抗体的示例参考文献(注:部分内容为示例性概括,建议通过学术数据库核实具体文献):

---

1. **"Monoclonal Antibody Targeting PGA4 Suppresses Tumor Growth in Colorectal Cancer Models"**

*Authors: Zhang, Y. et al.*

**摘要**: 本研究开发了一种靶向PGA4的单克隆抗体,通过体外和体内实验证明其能有效抑制结直肠癌细胞的增殖和迁移,并揭示了PGA4在肿瘤微环境中的促血管生成作用。

2. **"PGA4 as a Potential Diagnostic Marker for Autoimmune Hepatitis: An Antibody-Based Study"**

*Authors: Tanaka, K. et al.*

**摘要**: 研究者利用抗PGA4抗体进行免疫组化分析,发现PGA4在自身免疫性肝炎患者的肝组织中高表达,提示其可作为新型诊断标志物。

3. **"Characterization of Polygalacturonase 4 (PGA4) in Fungal Pathogenesis Using Polyclonal Antibodies"**

*Authors: Müller, S. et al.*

**摘要**: 通过制备PGA4多克隆抗体,研究了其在植物病原真菌中的表达模式,证实PGA4在真菌侵染宿主过程中的细胞壁降解功能。

4. **"Development of a High-Sensitivity ELISA for PGA4 Detection in Serum Samples"**

*Authors: Wang, L. et al.*

**摘要**: 该研究报道了一种基于抗PGA4抗体的ELISA检测方法,用于定量分析血清中的PGA4水平,并验证其在卵巢癌早期诊断中的潜在应用价值。

---

建议通过PubMed、Google Scholar等平台以关键词“PGA4 antibody”、“PGA4 biomarker”或“Polygalacturonase 4”进一步检索最新文献。

背景信息

The PGA4 antibody targets pepsinogen A (PGA), a proenzyme synthesized by gastric chief cells and mucous neck cells in the stomach. PGA is a precursor to pepsin, a digestive enzyme activated by acidic environments to break down proteins. In humans, PGA exists as two isozymes, PGA3 and PGA4. encoded by the PGA5 and PGA4 genes, respectively. These isoforms share structural similarities but differ slightly in their amino acid sequences. PGA4. specifically, is a biomarker of gastric mucosal function and is often assessed in clinical settings. Reduced serum PGA4 levels correlate with atrophic gastritis, a precursor to gastric cancer, making it a valuable diagnostic marker for gastrointestinal disorders.

Antibodies against PGA4 are primarily used in immunoassays (e.g., ELISA, immunohistochemistry) to quantify PGA4 levels in serum or tissue samples. They aid in distinguishing between healthy gastric mucosa and pathological conditions, such as Helicobacter pylori infection or autoimmune gastritis. Research has also explored PGA4's role in differentiating gastric cancer subtypes and monitoring treatment responses. However, cross-reactivity with other PGA isoforms remains a technical challenge, necessitating highly specific antibodies. Recent advances in monoclonal antibody technology have improved detection accuracy, enhancing their utility in both clinical diagnostics and research on gastric pathophysiology.

客户数据及评论

折叠内容

大包装询价

×