首页 / 产品 / 抗体 / 一抗

Rabbit Polyclonal RAB27B Antibody

  • 中文名: RAB27B抗体
  • 别    名: Ras-related protein Rab-27B, C25KG, RAB27B
货号: IPDX31143
Price: ¥1180
数量:
大包装询价

验证与应用

应用及物种
WB 1/1000 Human,Mouse,Rat
IF 咨询技术 Human,Mouse,Rat
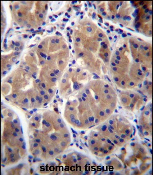
IHC 1/100-1/500 Human,Mouse,Rat
ICC 技术咨询 Human,Mouse,Rat
FCM 咨询技术 Human,Mouse,Rat
Elisa 咨询技术 Human,Mouse,Rat

产品详情

AliasesRas-related protein Rab-27B, C25KG, RAB27B
Entrez GeneID5874
WB Predicted band size24.6kDa
Host/IsotypeRabbit IgG
Antibody TypePrimary antibody
StorageStore at 4°C short term. Aliquot and store at -20°C long term. Avoid freeze/thaw cycles.
Species ReactivityHuman, Mouse
ImmunogenThis RAB27B antibody is generated from rabbits immunized with a KLH conjugated synthetic peptide between 121-150 amino acids from the Central region of human RAB27B.
FormulationPurified antibody in PBS with 0.05% sodium azide.

+ +

参考文献

nan

背景信息

The RAB27B antibody is a crucial tool for studying the RAB27B protein, a member of the RAB GTPase family involved in regulating intracellular vesicle trafficking and exocytosis. RAB27B plays a key role in secretory pathways, particularly in the transport and release of specialized vesicles, such as melanosomes, secretory granules in endocrine cells, and exosomes. It interacts with effector proteins like Slp4-a and MyRIP to mediate membrane docking and fusion processes. Dysregulation of RAB27B is linked to pathological conditions, including Griscelli syndrome type 2 (when combined with MYO5A mutations), cancer metastasis (via exosome-mediated communication), and immune disorders.

RAB27B antibodies, typically raised in rabbits or mice, enable the detection and localization of endogenous RAB27B in techniques like Western blotting, immunofluorescence, and immunohistochemistry. These antibodies help elucidate its expression patterns, subcellular distribution (e.g., association with late endosomes/lysosomes), and functional interactions in diverse cell types. Validated antibodies are essential for distinguishing RAB27B from its homolog RAB27A, which shares 71% amino acid identity but has distinct roles. Research using these antibodies has advanced understanding of RAB27B’s involvement in tumor microenvironment modulation, platelet secretion, and neurological processes, highlighting its therapeutic potential.

客户数据及评论

折叠内容

大包装询价

×