首页 / 产品 / 抗体 / 一抗

Rabbit Polyclonal SPNS3 Antibody

  • 中文名: SPNS3抗体
  • 别    名: Protein spinster homolog 3, SPNS3
货号: IPDX31131
Price: ¥1180
数量:
大包装询价

验证与应用

应用及物种
WB 1/1000 Human,Mouse,Rat
IF 咨询技术 Human,Mouse,Rat
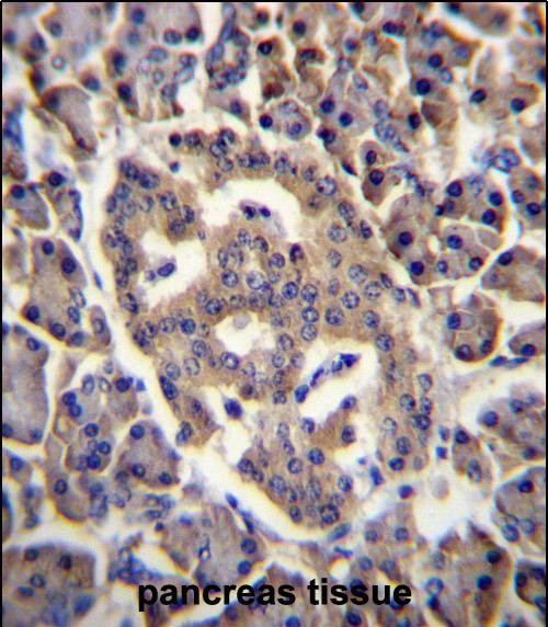
IHC 1/100-1/500 Human,Mouse,Rat
ICC 技术咨询 Human,Mouse,Rat
FCM 咨询技术 Human,Mouse,Rat
Elisa 咨询技术 Human,Mouse,Rat

产品详情

AliasesProtein spinster homolog 3, SPNS3
Entrez GeneID201305
WB Predicted band size54.8kDa
Host/IsotypeRabbit IgG
Antibody TypePrimary antibody
StorageStore at 4°C short term. Aliquot and store at -20°C long term. Avoid freeze/thaw cycles.
Species ReactivityHuman
ImmunogenThis SPNS3 antibody is generated from rabbits immunized with a KLH conjugated synthetic peptide between 470-498 amino acids from the C-terminal region of human SPNS3.
FormulationPurified antibody in PBS with 0.05% sodium azide.

+ +

参考文献

nan

背景信息

The SPNS3 (Sphingosine-1-phosphate Transporter 3) antibody is a research tool targeting the SPNS3 protein, a member of the SPNS (Spinster homolog) family of transmembrane transporters. SPNS3 is implicated in sphingolipid metabolism, particularly in the transport of sphingosine-1-phosphate (S1P), a bioactive lipid mediator regulating diverse physiological processes, including immune cell trafficking, vascular development, and inflammatory responses. While SPNS2 is well-characterized for S1P export in lymphatic and endothelial cells, SPNS3 remains less understood, though studies suggest roles in intracellular S1P shuttling or compartmentalization. Its expression is observed in multiple tissues, including the liver, kidney, and reproductive organs, hinting at potential involvement in metabolic or reproductive functions.

Antibodies against SPNS3 are primarily used to investigate its expression patterns, subcellular localization, and interactions in cellular models or tissues. They enable techniques like Western blotting, immunohistochemistry, and immunofluorescence, aiding in mechanistic studies of S1P signaling pathways. Recent interest in SPNS3 has grown due to links to diseases such as metabolic disorders and cancer, though functional insights remain limited. Developing specific SPNS3 antibodies is challenging due to protein homology within the SPNS family and low endogenous expression levels. Validation often involves knockout (KO) controls or siRNA knockdown to confirm target specificity. Continued research with SPNS3 antibodies may clarify its biological significance and therapeutic potential.

客户数据及评论

折叠内容

大包装询价

×