首页 / 产品 / 抗体 / 一抗

Rabbit Polyclonal BEND6 Antibody

  • 中文名: BEND6抗体
  • 别    名: BEN domain-containing protein 6, BEND6, C6orf65
货号: IPDX31111
Price: ¥1180
数量:
大包装询价

验证与应用

应用及物种
WB 1/1000 Human,Mouse,Rat
IF 咨询技术 Human,Mouse,Rat
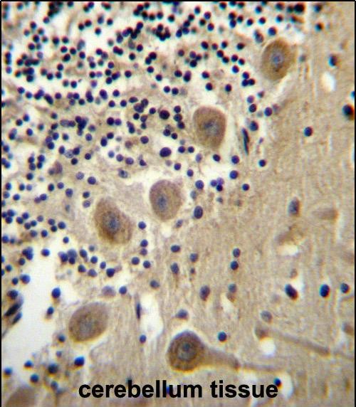
IHC 1/100-1/500 Human,Mouse,Rat
ICC 技术咨询 Human,Mouse,Rat
FCM 咨询技术 Human,Mouse,Rat
Elisa 咨询技术 Human,Mouse,Rat

产品详情

AliasesBEN domain-containing protein 6, BEND6, C6orf65
Entrez GeneID221336
WB Predicted band size31.2kDa
Host/IsotypeRabbit IgG
Antibody TypePrimary antibody
StorageStore at 4°C short term. Aliquot and store at -20°C long term. Avoid freeze/thaw cycles.
Species ReactivityHuman
ImmunogenThis BEND6 antibody is generated from rabbits immunized with a KLH conjugated synthetic peptide between 226-254 amino acids from the C-terminal region of human BEND6.
FormulationPurified antibody in PBS with 0.05% sodium azide.

+ +

参考文献

nan

背景信息

The BEND6 (BEN domain-containing protein 6) antibody is a tool used to study the BEND6 protein, a member of the BEN domain-containing protein family. This family is characterized by the presence of BEN domains, which are evolutionarily conserved structural motifs involved in chromatin modification, transcriptional regulation, and protein-protein interactions. BEND6 itself is less characterized compared to other family members like BEND3 or BEND5. but emerging research suggests its potential role in neurodevelopment and cellular differentiation. Studies indicate that BEND6 may regulate gene expression by interacting with chromatin modifiers or transcription factors, influencing processes such as neuronal development and synaptic plasticity. The BEND6 antibody is commonly utilized in techniques like Western blotting, immunohistochemistry, and immunofluorescence to detect protein expression, localization, and dynamics in tissues or cultured cells. Its application is particularly relevant in neuroscience and developmental biology, where understanding BEND6's function could shed light on neural circuit formation or neurodevelopmental disorders. Commercial BEND6 antibodies are typically developed against specific epitopes, often within the N-terminal BEN domain, to ensure specificity. Validation steps, including knockout controls, are critical due to potential cross-reactivity with other BEN family proteins. Ongoing research aims to elucidate BEND6's precise molecular mechanisms and its implications in health and disease.

客户数据及评论

折叠内容

大包装询价

×