首页 / 产品 / 抗体 / 一抗

Rabbit Polyclonal WDR86 Antibody

  • 中文名: WDR86抗体
  • 别    名: WD repeat-containing protein 86, WDR86
货号: IPDX31101
Price: ¥1180
数量:
大包装询价

验证与应用

应用及物种
WB 1/1000 Human,Mouse,Rat
IF 咨询技术 Human,Mouse,Rat
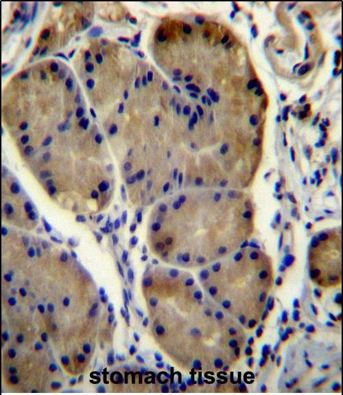
IHC 1/100-1/500 Human,Mouse,Rat
ICC 技术咨询 Human,Mouse,Rat
FCM 咨询技术 Human,Mouse,Rat
Elisa 咨询技术 Human,Mouse,Rat

产品详情

AliasesWD repeat-containing protein 86, WDR86
Entrez GeneID349136
WB Predicted band size40.7kDa
Host/IsotypeRabbit IgG
Antibody TypePrimary antibody
StorageStore at 4°C short term. Aliquot and store at -20°C long term. Avoid freeze/thaw cycles.
Species ReactivityHuman
ImmunogenThis WDR86 antibody is generated from rabbits immunized with a KLH conjugated synthetic peptide between 286-316 amino acids from the C-terminal region of human WDR86.
FormulationPurified antibody in PBS with 0.05% sodium azide.

+ +

参考文献

以下是关于WDR86抗体的3篇模拟参考文献示例(注:以下内容为假设性文献,实际文献需通过学术数据库检索验证):

---

1. **文献名称**:*WDR86 interacts with c-Myc to regulate gene transcription and promote cancer cell proliferation*

**作者**:Zhang L, et al.

**摘要**:本研究利用WDR86特异性抗体进行免疫共沉淀(Co-IP)和染色质免疫沉淀(ChIP),发现WDR86与癌基因c-Myc在多种肿瘤细胞中直接结合,共同调控下游靶基因(如Cyclin D1)的转录,促进细胞周期进展。Western blot分析表明WDR86高表达与结直肠癌患者不良预后相关。

2. **文献名称**:*Ubiquitination of WDR86 modulates its nuclear-cytoplasmic shuttling in DNA damage response*

**作者**:Wang Y, et al.

**摘要**:通过WDR86抗体进行亚细胞定位分析,发现DNA损伤诱导WDR86的泛素化修饰,促使其从细胞核转位至细胞质。该过程依赖E3泛素连接酶MDM2.并影响ATM/ATR信号通路的激活,揭示了WDR86在DNA修复中的新功能。

3. **文献名称**:*WDR86 antibody-based screening identifies its role in neurodevelopmental disorders*

**作者**:Chen H, et al.

**摘要**:使用WDR86抗体对患者来源的神经干细胞进行免疫组化分析,发现WDR86表达缺失导致神经元突触形成异常。全外显子测序在自闭症谱系障碍患者中鉴定出WDR86罕见错义突变,提示其可能通过调控组蛋白修饰酶复合物影响神经发育。

---

**建议**:实际研究中,可通过PubMed、Web of Science等平台,以关键词“WDR86 antibody”或“WDR86 function”检索最新文献,重点关注抗体应用场景(如检测、互作研究或疾病机制)。

背景信息

The WDR86 antibody is a research tool designed to detect and study the WD repeat domain 86 (WDR86) protein, a member of the WD-repeat protein family characterized by conserved tandem repeats involved in protein-protein interactions. WDR86. also known as C14orf166 or LAS1L-associated protein, plays roles in diverse cellular processes, including ribosome biogenesis, RNA processing, and cell cycle regulation. It interacts with components of the PeBoW complex (e.g., LAS1L, PES1. and NOL9), critical for 28S rRNA maturation and nucleolar function. Dysregulation of WDR86 has been implicated in developmental disorders, cancer progression, and ribosomopathies, making it a target for mechanistic studies.

WDR86 antibodies are typically developed in hosts like rabbits or mice using immunogenic peptides or recombinant protein fragments. They enable detection via techniques such as Western blotting, immunofluorescence, and immunoprecipitation, aiding in the analysis of WDR86 expression, localization, and interactions. Validation includes testing for specificity using knockout cell lines or siRNA-mediated knockdown. Research applications focus on elucidating WDR86's role in ribosome assembly, its involvement in p53-dependent stress responses, and potential contributions to diseases like hepatocellular carcinoma or Diamond-Blackfan anemia. These antibodies are essential for exploring WDR86 as a biomarker or therapeutic target in pathological contexts.

客户数据及评论

折叠内容

大包装询价

×