首页 / 产品 / 抗体 / 一抗

Mouse Monoclonal EIF4E2 Antibody

  • 中文名: EIF4E2抗体
  • 别    名: Eukaryotic translation initiation factor 4E type 2, eIF-4E type 2, eIF4E type 2, Eukaryotic translation initiation factor 4E homologous protein, Eukaryotic translation initiation factor 4E-like 3, eIF4E-like protein 4E-LP, mRNA cap-binding protein 4EHP, m
货号: IPDX30988
Price: ¥1280
数量:
大包装询价

验证与应用

应用及物种
WB 1/100-1/1600 Human,Mouse,Rat
IF 咨询技术 Human,Mouse,Rat
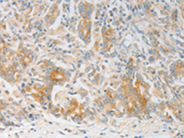
IHC 咨询技术 Human,Mouse,Rat
ICC 技术咨询 Human,Mouse,Rat
FCM 咨询技术 Human,Mouse,Rat
Elisa 咨询技术 Human,Mouse,Rat

产品详情

AliasesCRT, CTR, CT-R, CTR1
Host/IsotypeRabbit IgG
Antibody TypePrimary antibody
StorageStore at 4°C short term. Aliquot and store at -20°C long term. Avoid freeze/thaw cycles.
Species ReactivityHuman
ImmunogenFusion protein of human CALCR
FormulationPurified antibody in PBS with 0.05% sodium azide and 50% glycerol.

+ +

客户数据及评论

折叠内容

大包装询价

×