首页 / 产品 / 抗体 / 一抗

Rabbit Polyclonal GAGE12B(N-term) Antibody

  • 中文名: GAGE12B (N-term)抗体
  • 别    名: G antigen 12B/C/D/E, GAGE-12B, GAGE-12C, GAGE-12D, GAGE-12E, GAGE12B
货号: IPDX30938
Price: ¥1180
数量:
大包装询价

验证与应用

应用及物种
WB 1/1000 Human,Mouse,Rat
IF 咨询技术 Human,Mouse,Rat
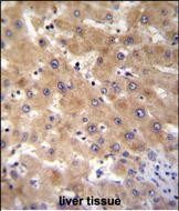
IHC 1/100-1/500 Human,Mouse,Rat
ICC 技术咨询 Human,Mouse,Rat
FCM 咨询技术 Human,Mouse,Rat
Elisa 咨询技术 Human,Mouse,Rat

产品详情

AliasesG antigen 12B/C/D/E, GAGE-12B, GAGE-12C, GAGE-12D, GAGE-12E, GAGE12B
Entrez GeneID100132399;729422;729428;729431
WB Predicted band size12.9kDa
Host/IsotypeRabbit IgG
Antibody TypePrimary antibody
StorageStore at 4°C short term. Aliquot and store at -20°C long term. Avoid freeze/thaw cycles.
Species ReactivityHuman
ImmunogenThis GAGE12B antibody is generated from rabbits immunized with a KLH conjugated synthetic peptide between 21-49 amino acids from the N-terminal region of human GAGE12B.
FormulationPurified antibody in PBS with 0.05% sodium azide.

+ +

客户数据及评论

折叠内容

大包装询价

×