首页 / 产品 / 抗体 / 一抗

Rabbit Polyclonal PPM1L(C-term) Antibody

  • 中文名: PPM1L (C-term)抗体
  • 别    名: Protein phosphatase 1L, Protein phosphatase 1-like, Protein phosphatase 2C isoform epsilon, PP2C-epsilon, PPM1L, PP2CE
货号: IPDX30889
Price: ¥1180
数量:
大包装询价

验证与应用

应用及物种
WB 1/1000 Human,Mouse,Rat
IF 咨询技术 Human,Mouse,Rat
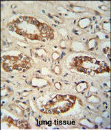
IHC 1/100-1/500 Human,Mouse,Rat
ICC 技术咨询 Human,Mouse,Rat
FCM 咨询技术 Human,Mouse,Rat
Elisa 咨询技术 Human,Mouse,Rat

产品详情

AliasesProtein phosphatase 1L, Protein phosphatase 1-like, Protein phosphatase 2C isoform epsilon, PP2C-epsilon, PPM1L, PP2CE
Entrez GeneID151742
WB Predicted band size41.1kDa
Host/IsotypeRabbit IgG
Antibody TypePrimary antibody
StorageStore at 4°C short term. Aliquot and store at -20°C long term. Avoid freeze/thaw cycles.
Species ReactivityHuman, Mouse
ImmunogenThis PPM1L antibody is generated from rabbits immunized with a KLH conjugated synthetic peptide between 215-244 amino acids from the C-terminal region of human PPM1L.
FormulationPurified antibody in PBS with 0.05% sodium azide.

+ +

客户数据及评论

折叠内容

大包装询价

×