首页 / 产品 / 抗体 / 一抗

Rabbit Polyclonal ACF Antibody

  • 中文名: ACF抗体
  • 别    名: APOBEC1 complementation factor, APOBEC1-stimulating protein, A1CF, ACF, ASP {ECO:0000312|EMBL:CAB947541}
货号: IPDX30826
Price: ¥1180
数量:
大包装询价

验证与应用

应用及物种
WB 1/1000 Human,Mouse,Rat
IF 咨询技术 Human,Mouse,Rat
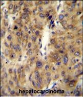
IHC 1/100-1/500 Human,Mouse,Rat
ICC 技术咨询 Human,Mouse,Rat
FCM 1/10-1/50 Human,Mouse,Rat
Elisa 咨询技术 Human,Mouse,Rat

产品详情

AliasesAPOBEC1 complementation factor, APOBEC1-stimulating protein, A1CF, ACF, ASP {ECO:0000312|EMBL:CAB947541}
Entrez GeneID29974
WB Predicted band size65.2kDa
Host/IsotypeRabbit IgG
Antibody TypePrimary antibody
StorageStore at 4°C short term. Aliquot and store at -20°C long term. Avoid freeze/thaw cycles.
Species ReactivityHuman
ImmunogenThis ACF antibody is generated from rabbits immunized with a KLH conjugated synthetic peptide between 394-423 amino acids from the C-terminal region of human ACF.
FormulationPurified antibody in PBS with 0.05% sodium azide.

+ +

客户数据及评论

折叠内容

大包装询价

×