首页 / 产品 / 抗体 / 一抗

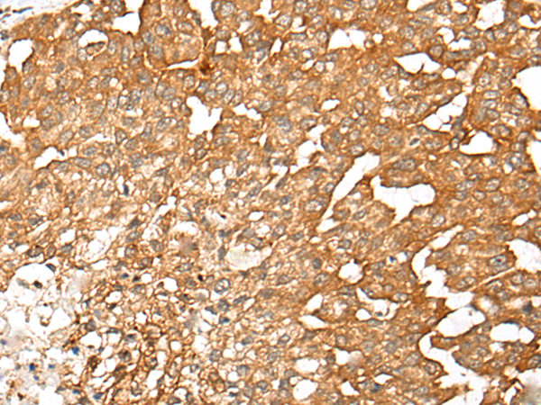
Rabbit Polyclonal BRIP1(N-term) Antibody

  • 中文名: BRIP1 (N-term)抗体
  • 别    名: Fanconi anemia group J protein, Protein FACJ, ATP-dependent RNA helicase BRIP1, BRCA1-associated C-terminal helicase 1, BRCA1-interacting protein C-terminal helicase 1, BRCA1-interacting protein 1, BRIP1, BACH1, FANCJ
货号: IPDX30825
Price: ¥1180
数量:
大包装询价

验证与应用

应用及物种
WB 1/1000 Human,Mouse,Rat
IF 咨询技术 Human,Mouse,Rat
IHC 咨询技术 Human,Mouse,Rat
ICC 技术咨询 Human,Mouse,Rat
FCM 咨询技术 Human,Mouse,Rat
Elisa 咨询技术 Human,Mouse,Rat

产品详情

AliasesERR; ATRC1; CAT-1; HCAT1; REC1L
Host/IsotypeRabbit IgG
Antibody TypePrimary antibody
StorageStore at 4°C short term. Aliquot and store at -20°C long term. Avoid freeze/thaw cycles.
Species ReactivityHuman
ImmunogenSynthetic peptide of human SLC7A1
FormulationPurified antibody in PBS with 0.05% sodium azide and 50% glycerol.

+ +

客户数据及评论

折叠内容

大包装询价

×