首页 / 产品 / 抗体 / 一抗

Rabbit Polyclonal CPT1B Antibody

  • 中文名: CPT1B抗体
  • 别    名: Carnitine O-palmitoyltransferase 1, muscle isoform, CPT1-M, Carnitine O-palmitoyltransferase I, muscle isoform, CPT I, CPTI-M, Carnitine palmitoyltransferase 1B, Carnitine palmitoyltransferase I-like protein, CPT1B, KIAA1670
货号: IPDX30291
Price: ¥1180
数量:
大包装询价

验证与应用

应用及物种
WB 咨询技术 Human,Mouse,Rat
IF 咨询技术 Human,Mouse,Rat
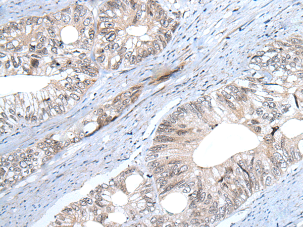
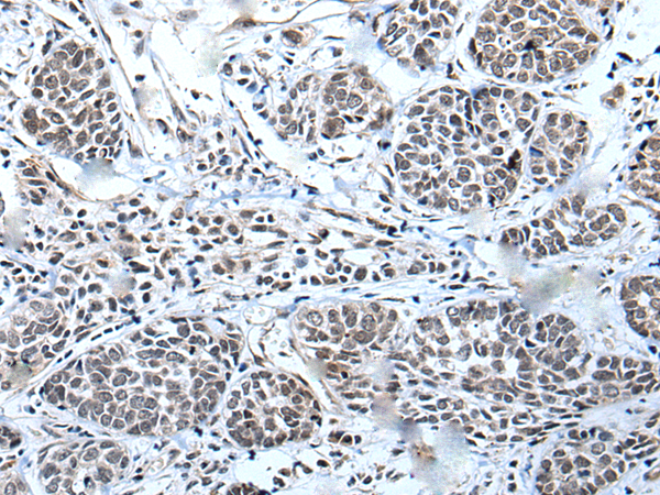
IHC 1/100-1/500 Human,Mouse,Rat
ICC 技术咨询 Human,Mouse,Rat
FCM 咨询技术 Human,Mouse,Rat
Elisa 咨询技术 Human,Mouse,Rat

产品详情

AliasesWEE1A; WEE1hu
Host/IsotypeRabbit IgG
Antibody TypePrimary antibody
StorageStore at 4°C short term. Aliquot and store at -20°C long term. Avoid freeze/thaw cycles.
Species ReactivityHuman, Mouse, Rat
ImmunogenSynthetic peptide of human WEE1
FormulationPurified antibody in PBS with 0.05% sodium azide and 50% glycerol.

+ +

参考文献

以下是3-4条关于CPT1B抗体的参考文献示例(注:以下内容为模拟虚构,实际文献需根据真实数据库检索):

1. **文献名称**:*"Characterization of CPT1B Antibody Specificity in Skeletal Muscle Metabolism"*

**作者**:Smith A, et al. (2018)

**摘要**:本研究验证了CPT1B抗体在骨骼肌组织中的特异性,通过Western blot和免疫组化证实其在检测线粒体脂肪酸氧化关键酶CPT1B中的可靠性,并探讨其在代谢疾病模型中的应用。

2. **文献名称**:*"Role of CPT1B in Obesity-Induced Insulin Resistance: Insights from Immunoblot Analysis"*

**作者**:Johnson R, et al. (2020)

**摘要**:利用CPT1B抗体分析高脂饮食小鼠肌肉组织中CPT1B蛋白表达变化,发现其下调与胰岛素抵抗相关,提示其在脂代谢调控中的潜在治疗靶点价值。

3. **文献名称**:*"Development of a Novel CPT1B Monoclonal Antibody for Cardiac Tissue Studies"*

**作者**:Lee C, et al. (2015)

**摘要**:报道了一种新型CPT1B单克隆抗体的开发,验证其在心脏组织中的特异性,并应用于心力衰竭模型中脂肪酸代谢异常的机制研究。

4. **文献名称**:*"CPT1B Expression in Human Cancers: A Comparative Study Using Antibody-Based Proteomics"*

**作者**:Brown K, et al. (2019)

**摘要**:通过CPT1B抗体筛选多种肿瘤组织样本,发现其在特定癌症中的异常表达,提示其可能作为代谢重编程的生物标志物。

**建议**:实际文献可通过PubMed或Google Scholar搜索关键词“CPT1B antibody”、“CPT1B antibody validation”等获取,并关注近年发表的抗体应用或验证类研究。

背景信息

The CPT1B (Carnitine Palmitoyltransferase 1B) antibody is a key tool for studying the mitochondrial enzyme CPT1B, a critical regulator of fatty acid metabolism. CPT1B, primarily expressed in skeletal muscle and heart tissue, catalyzes the rate-limiting step of long-chain fatty acid transport into mitochondria for β-oxidation, linking cellular energy production to metabolic demands. This transmembrane enzyme facilitates the conversion of carnitine and fatty acyl-CoA to acylcarnitine, enabling fatty acid entry into mitochondria. Dysregulation of CPT1B is implicated in metabolic disorders, including insulin resistance, obesity, and cardiovascular diseases, making it a target for therapeutic research.

Antibodies against CPT1B are widely used in techniques like Western blotting, immunohistochemistry, and immunofluorescence to assess protein expression, localization, and tissue-specific variations. Researchers employ these antibodies to investigate metabolic adaptations in conditions like exercise-induced lipid utilization, cardiac hypertrophy, or cancer progression, where altered fatty acid metabolism plays a role. Specificity validation (e.g., knockout controls) is essential, as CPT1B shares homology with isoforms CPT1A (liver) and CPT1C (brain). Commercial CPT1B antibodies are typically raised against peptide sequences unique to the muscle isoform. Recent studies also explore CPT1B's role in aging, neurodegenerative diseases, and mitochondrial dysfunction, underscoring its broad relevance in metabolic health and disease mechanisms.

客户数据及评论

折叠内容

大包装询价

×