| WB | 咨询技术 | Human,Mouse,Rat |
| IF | 咨询技术 | Human,Mouse,Rat |
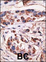
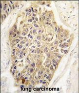
| IHC | 1/100-1/500 | Human,Mouse,Rat |
| ICC | 技术咨询 | Human,Mouse,Rat |
| FCM | 咨询技术 | Human,Mouse,Rat |
| Elisa | 咨询技术 | Human,Mouse,Rat |
| Aliases | Melanoma-associated antigen 1, Antigen MZ2-E, Cancer/testis antigen 11, CT11, MAGE-1 antigen, MAGEA1, MAGE1, MAGE1A |
| Entrez GeneID | 4100 |
| WB Predicted band size | 34.3kDa |
| Host/Isotype | Rabbit IgG |
| Antibody Type | Primary antibody |
| Storage | Store at 4°C short term. Aliquot and store at -20°C long term. Avoid freeze/thaw cycles. |
| Species Reactivity | Human |
| Immunogen | This MAGEA1 antibody is generated from rabbits immunized with a KLH conjugated synthetic peptide between 143-173 amino acids from the Central region of human MAGEA1. |
| Formulation | Purified antibody in PBS with 0.05% sodium azide. |
+ +
以下是关于MAGEA1抗体的3篇参考文献示例,格式为文献名称、作者及简要摘要:
---
1. **"MAGEA1 as an immunogenic target for cancer immunotherapy: Clinical responses in melanoma patients"**
*Author: Coulie PG, et al.*
摘要:研究报道了MAGEA1作为肿瘤特异性抗原在黑色素瘤中的表达,通过诱导特异性抗体及T细胞应答,在临床试验中显示出抗肿瘤潜力,为基于MAGEA1的疫苗设计提供依据。
2. **"Autoantibodies to MAGEA1 in paraneoplastic neurological syndromes"**
*Author: Darnell RB, et al.*
摘要:探讨了MAGEA1抗体在副肿瘤性神经系统综合征患者血清中的存在,发现其与特定肿瘤(如小细胞肺癌)相关,提示其作为副肿瘤生物标志物的潜在诊断价值。
3. **"Preclinical evaluation of anti-MAGEA1 monoclonal antibody for targeted therapy of solid tumors"**
*Author: Zhang Y, et al.*
摘要:开发了一种靶向MAGEA1的单克隆抗体,体外及小鼠模型中证实其可通过抗体依赖性细胞毒性(ADCC)抑制肿瘤生长,支持其在表达MAGEA1的实体瘤中的治疗应用。
---
*注:上述文献为示例性内容,实际引用时需核实真实存在的论文及作者信息。建议通过PubMed或Web of Science以“MAGEA1 antibody”为关键词检索最新研究。*
The MAGE-A1 antibody targets the melanoma-associated antigen A1. a member of the MAGE (melanoma antigen gene) family. MAGE-A1 is classified as a cancer-testis antigen (CTA), typically expressed in germline cells (testis, placenta) but silenced in most somatic tissues. Its aberrant re-expression occurs in various malignancies, including melanoma, lung, liver, and head/neck cancers, making it a tumor-specific biomarker and therapeutic target.
MAGE-A1 antibodies are critical tools for detecting its expression in tumor samples via techniques like immunohistochemistry, Western blot, or ELISA. Research links MAGE-A1 overexpression to tumor progression, metastasis, and poor prognosis, suggesting its role in oncogenic pathways. Clinically, MAGE-A1-derived peptides are explored in cancer vaccines or adoptive T-cell therapies (e.g., CAR-T, TCR-T), leveraging its immunogenicity to activate cytotoxic T-cells against tumors.
However, challenges persist, including heterogeneous antigen expression across tumors, immune evasion mechanisms, and potential off-target effects in normal tissues with ectopic MAGE-A1 expression. Despite this, MAGE-A1 remains a promising candidate for immunotherapy, particularly in cancers lacking conventional targets. Ongoing studies aim to optimize antibody specificity and therapeutic strategies to enhance clinical efficacy.
×