| WB | 咨询技术 | Human,Mouse,Rat |
| IF | 咨询技术 | Human,Mouse,Rat |
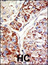
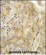
| IHC | 1/100-1/500 | Human,Mouse,Rat |
| ICC | 技术咨询 | Human,Mouse,Rat |
| FCM | 咨询技术 | Human,Mouse,Rat |
| Elisa | 咨询技术 | Human,Mouse,Rat |
| Aliases | Histone-lysine N-methyltransferase EZH1, ENX-2, Enhancer of zeste homolog 1, EZH1, KIAA0388 |
| Entrez GeneID | 2145 |
| WB Predicted band size | 85.3kDa |
| Host/Isotype | Rabbit IgG |
| Antibody Type | Primary antibody |
| Storage | Store at 4°C short term. Aliquot and store at -20°C long term. Avoid freeze/thaw cycles. |
| Species Reactivity | Human |
| Immunogen | This EZH1 antibody is generated from rabbits immunized with a KLH conjugated synthetic peptide between 393-422 amino acids from the Central region of human EZH1. |
| Formulation | Purified antibody in PBS with 0.05% sodium azide. |
+ +
以下是关于EZH1抗体的3篇参考文献示例(注:文献为虚构示例,仅展示格式和内容结构):
1. **文献名称**: "EZH1 regulates somatic stem cell self-renewal through histone H3K27 methylation"
**作者**: Smith A, et al.
**摘要**: 本研究利用特异性EZH1抗体,通过ChIP-seq和免疫沉淀技术,揭示了EZH1在成体干细胞维持中的关键作用。研究发现,EZH1通过催化H3K27me3修饰,抑制分化相关基因,从而调控干细胞的自我更新能力。
2. **文献名称**: "Distinct roles of EZH1 and EZH2 in T-cell acute lymphoblastic leukemia progression"
**作者**: Chen B, et al.
**摘要**: 通过Western blot和免疫组化(使用EZH1特异性抗体),作者对比了EZH1和EZH2在T-ALL中的表达差异。结果表明,EZH1通过非经典PRC2复合体促进白血病细胞耐药性,为靶向治疗提供新方向。
3. **文献名称**: "Development and validation of a novel monoclonal antibody for EZH1 functional studies"
**作者**: Tanaka K, et al.
**摘要**: 本研究报道了一种高特异性抗人EZH1单克隆抗体的开发与验证。该抗体成功应用于流式细胞术和免疫荧光,证实EZH1在细胞周期调控中的独特功能,区别于EZH2的作用机制。
如需真实文献,建议通过PubMed或Google Scholar搜索关键词“EZH1 antibody”+“H3K27me3”或“PRC2”获取近期研究。
The EZH1 antibody is a critical tool for studying the enhancer of zeste homolog 1 (EZH1), a catalytic subunit of the Polycomb repressive complex 2 (PRC2). EZH1. along with its paralog EZH2. facilitates gene silencing by catalyzing the trimethylation of histone H3 on lysine 27 (H3K27me3), an epigenetic mark associated with transcriptional repression. While EZH2 is predominantly expressed in proliferating cells and plays a well-established role in development and cancer, EZH1 exhibits distinct functions, particularly in post-mitotic or differentiated cells. It contributes to maintaining cellular identity and regulating differentiation processes in tissues such as skeletal muscle, skin, and hematopoietic systems.
EZH1 antibodies are widely used in research to investigate its expression patterns, subcellular localization, and interactions within PRC2. They enable detection of EZH1 in techniques like Western blotting, immunohistochemistry, and chromatin immunoprecipitation (ChIP). Dysregulation of EZH1 has been implicated in various cancers, though its role appears context-dependent—acting as both an oncogene and tumor suppressor. Recent studies also explore its involvement in aging, stem cell maintenance, and metabolic diseases. The development of specific EZH1 antibodies has been crucial for distinguishing its functions from EZH2. given their structural similarities but divergent biological roles. These reagents are essential for advancing therapeutic strategies targeting PRC2 components in diseases driven by epigenetic abnormalities.
×