首页 / 产品 / 抗体 / 一抗

Rabbit Polyclonal HtrA3(N-term) Antibody

  • 中文名: HtrA3 (N-term)抗体
  • 别    名: Serine protease HTRA3, 3421-, High-temperature requirement factor A3, Pregnancy-related serine protease, HTRA3, PRSP
货号: IPDX30050
Price: ¥1180
数量:
大包装询价

验证与应用

应用及物种
WB 咨询技术 Human,Mouse,Rat
IF 咨询技术 Human,Mouse,Rat
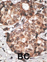
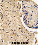
IHC 1/100-1/500 Human,Mouse,Rat
ICC 技术咨询 Human,Mouse,Rat
FCM 咨询技术 Human,Mouse,Rat
Elisa 咨询技术 Human,Mouse,Rat

产品详情

AliasesSerine protease HTRA3, 3421-, High-temperature requirement factor A3, Pregnancy-related serine protease, HTRA3, PRSP
Entrez GeneID94031
WB Predicted band size48.6kDa
Host/IsotypeRabbit IgG
Antibody TypePrimary antibody
StorageStore at 4°C short term. Aliquot and store at -20°C long term. Avoid freeze/thaw cycles.
Species ReactivityHuman, Mouse, Rat
ImmunogenThis HtrA3 antibody is generated from rabbits immunized with a KLH conjugated synthetic peptide between 112-144 amino acids from the N-terminal region of human HtrA3.
FormulationPurified antibody in PBS with 0.05% sodium azide,1%BSA and 50% glycerol.prepared by Saturated Ammonium Sulfate (SAS) .

+ +

参考文献

以下是3篇关于HtrA3 (N-term)抗体的参考文献概览:

---

1. **文献名称**: *HtrA3 as a Biomarker for Endometrial Cancer*

**作者**: Li W, et al.

**摘要**: 该研究通过使用HtrA3 (N-term)特异性抗体进行免疫组化分析,发现HtrA3在子宫内膜癌组织中表达显著降低,提示其可能作为肿瘤抑制因子参与疾病进展,并具有临床预后价值。

---

2. **文献名称**: *Proteolytic Activity of HtrA3 in Placental Development*

**作者**: Singh H, et al.

**摘要**: 作者利用HtrA3 (N-term)抗体进行Western blot和免疫荧光实验,证实HtrA3在胎盘发育中通过切割特定基质蛋白调控滋养层细胞侵袭,其表达异常可能导致妊娠相关并发症。

---

3. **文献名称**: *Characterization of a Novel HtrA3 Isoform in Ovarian Cancer*

**作者**: Zhao Y, et al.

**摘要**: 研究通过HtrA3 (N-term)抗体鉴定了卵巢癌中一种新型HtrA3剪接变体,该变体因蛋白酶活性缺失与化疗耐药相关,为靶向治疗提供了潜在分子标记。

---

**提示**:如需获取全文,可通过PubMed或期刊官网检索标题,部分文献可能需要订阅权限。

背景信息

The HtrA3 (N-term) antibody is designed to target the N-terminal region of the human HtrA3 protein, a member of the high-temperature requirement A (HtrA) serine protease family. HtrA3. also known as PRSP or protease serine 11D, is structurally characterized by an N-terminal domain, a conserved protease domain, and a C-terminal PDZ domain. This protein plays a critical role in regulating cellular processes such as apoptosis, mitochondrial homeostasis, and extracellular matrix remodeling. Its expression is implicated in various physiological and pathological conditions, including cancer, pregnancy-related disorders, and neurodegenerative diseases.

The N-terminal region of HtrA3 contains a signal peptide and an insulin-like growth factor-binding protein (IGFBP) domain, which differentiates it from other HtrA family members like HtrA1 and HtrA2. The HtrA3 (N-term) antibody specifically recognizes epitopes within this region, enabling the detection of full-length HtrA3 or its precursor forms in applications such as Western blotting, immunohistochemistry, and immunofluorescence. This specificity is crucial for distinguishing HtrA3 from other isoforms and studying its unique functions. For example, in ovarian cancer, HtrA3 downregulation is associated with chemoresistance, while in Alzheimer’s disease, it may influence amyloid-beta metabolism.

Research using this antibody has advanced understanding of HtrA3’s dual roles as a protease and signaling molecule, particularly its interaction with substrates like transforming growth factor-beta (TGF-β) and its regulation under cellular stress. Its development underscores the importance of isoform-specific tools in dissecting HtrA family dynamics in health and disease.

客户数据及评论

折叠内容

大包装询价

×