首页 / 产品 / 抗体 / 一抗

Rabbit Polyclonal c-Kit Antibody

  • 中文名: c-Kit抗体
  • 别    名: KIT; SCFR; Mast/stem cell growth factor receptor Kit; SCFR; Piebald trait protein; PBT; Proto-oncogene c-Kit; Tyrosine-protein kinase Kit; p145 c-kit; v-kit Hardy-Zuckerman 4 feline sarcoma viral oncogene homolog; CD antigen CD117
货号: IPDX23646
Price: ¥1180
数量:
大包装询价

验证与应用

应用及物种
WB 咨询技术 Human,Mouse,Rat
IF 咨询技术 Human,Mouse,Rat
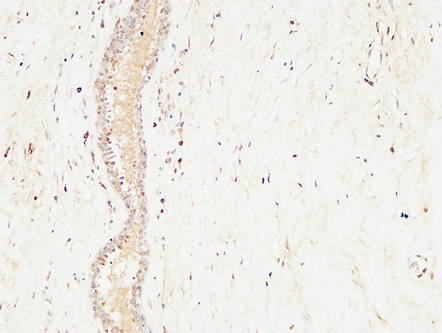
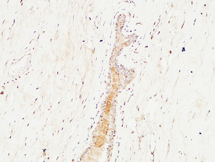
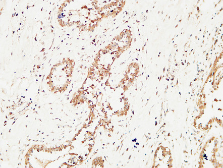
IHC 1/50-1/100 Human,Mouse,Rat
ICC 1/50-1/200 Human,Mouse,Rat
FCM 咨询技术 Human,Mouse,Rat
Elisa 1/10000 Human,Mouse,Rat

产品详情

AliasesKIT; SCFR; Mast/stem cell growth factor receptor Kit; SCFR; Piebald trait protein; PBT; Proto-oncogene c-Kit; Tyrosine-protein kinase Kit; p145 c-kit; v-kit Hardy-Zuckerman 4 feline sarcoma viral oncogene homolog; CD antigen CD117
Entrez GeneID3815
WB Predicted band sizeCalculated MW: 110 kDa; Observed MW: 120 kDa
Host/IsotypeRabbit IgG
Antibody TypePrimary antibody
StorageStore at 4°C short term. Aliquot and store at -20°C long term. Avoid freeze/thaw cycles.
Species ReactivityHuman,Mouse,Rat,Monkey
ImmunogenThe antiserum was produced against synthesized peptide derived from human c-Kit. AA range:688-737
FormulationPurified antibody in PBS with 0.05% sodium azide,0.5%BSA and 50% glycerol.

+ +

参考文献

以下是3篇关于c-Kit抗体的代表性文献,信息简明扼要:

1. **文献名称**:*Efficacy and Safety of Imatinib Mesylate in Advanced Gastrointestinal Stromal Tumors*

**作者**:Demetri GD, et al.

**摘要**:该研究验证了伊马替尼(靶向c-Kit受体的小分子抑制剂)在晚期胃肠道间质瘤(GIST)中的疗效,证实其通过抑制c-Kit激酶活性显著延长患者生存期,成为首个获批的c-Kit靶向疗法。

2. **文献名称**:*CD117: A Sensitive Marker for Gastrointestinal Stromal Tumors That Is More Specific Than CD34*

**作者**:Miettinen M, Lasota J.

**摘要**:研究证实抗c-Kit抗体(CD117)作为GIST诊断标志物的高敏感性和特异性,优于传统标志物CD34.为临床病理诊断提供了关键依据。

3. **文献名称**:*Resistance to C-Kit Inhibitors in Cancer: Mechanisms and Potential Solutions*

**作者**:Heinrich MC, et al.

**摘要**:探讨了肿瘤对c-Kit抑制剂(如伊马替尼)产生耐药性的分子机制,包括c-Kit二次突变及旁路信号激活,并提出联合用药策略以克服耐药问题。

4. **文献名称**:*A Novel Humanized c-Kit Antibody Induces Apoptosis in Myeloid Leukemia Cells*

**作者**:Wang Y, et al.

**摘要**:报道了一种新型人源化c-Kit抗体,可通过阻断配体结合并诱导c-Kit内吞降解,在急性髓系白血病模型中展现抗肿瘤活性,为血液肿瘤治疗提供新思路。

背景信息

c-Kit antibodies target the c-Kit protein, a transmembrane receptor tyrosine kinase encoded by the *KIT* gene. Also known as CD117. c-Kit plays a critical role in cellular signaling pathways regulating cell proliferation, survival, and differentiation. It binds to stem cell factor (SCF), activating downstream signals like PI3K/AKT and MAPK/ERK. c-Kit is expressed in hematopoietic stem cells, mast cells, melanocytes, and interstitial cells of Cajal, making it vital for normal hematopoiesis, pigmentation, and gut motility.

Aberrant c-Kit signaling, due to mutations or overexpression, is linked to pathologies like gastrointestinal stromal tumors (GISTs), acute myeloid leukemia (AML), and mastocytosis. In GISTs, gain-of-function *KIT* mutations drive tumor growth, making c-Kit a key diagnostic marker (detected via immunohistochemistry) and therapeutic target. Tyrosine kinase inhibitors (e.g., imatinib) block c-Kit activity, but resistance mutations often arise, necessitating advanced inhibitors or antibody-based strategies.

c-Kit antibodies are widely used in research and diagnostics. Monoclonal antibodies (e.g., CD117 clones) enable precise detection of c-Kit expression in tissues or cells via flow cytometry, Western blotting, or immunohistochemistry. They also aid in isolating c-Kit-positive stem cells for regenerative studies. However, antibody specificity, epitope recognition differences between clones, and variable staining protocols require careful validation. Emerging therapies explore c-Kit antibodies for targeted drug delivery or as standalone biologics to inhibit oncogenic signaling, though clinical applications remain under investigation.

客户数据及评论

折叠内容

大包装询价

×