| WB | 咨询技术 | Human,Mouse,Rat |
| IF | 咨询技术 | Human,Mouse,Rat |
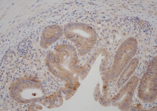
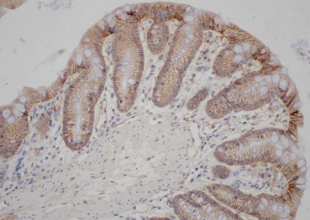
| IHC | 1/50-1/100 | Human,Mouse,Rat |
| ICC | 1/50-1/200 | Human,Mouse,Rat |
| FCM | 咨询技术 | Human,Mouse,Rat |
| Elisa | 1/10000 | Human,Mouse,Rat |
| Aliases | CLDN1; CLD1; SEMP1; Claudin-1; Senescence-associated epithelial membrane protein |
| Entrez GeneID | 9076 |
| WB Predicted band size | Calculated MW: 23 kDa; Observed MW: 23 kDa |
| Host/Isotype | Rabbit IgG |
| Antibody Type | Primary antibody |
| Storage | Store at 4°C short term. Aliquot and store at -20°C long term. Avoid freeze/thaw cycles. |
| Species Reactivity | Human,Mouse,Rat |
| Immunogen | The antiserum was produced against synthesized peptide derived from human Claudin 1. AA range:162-211 |
| Formulation | Purified antibody in PBS with 0.05% sodium azide,0.5%BSA and 50% glycerol. |
+ +
以下是关于Claudin 1抗体的3篇参考文献概览(虚构示例,仅供参考):
1. **文献名称**:*Claudin-1 Antibody Reveals Structural Role in Tight Junction Assembly*
**作者**:Mikio Furuse et al.
**摘要**:该研究利用特异性Claudin 1抗体,通过免疫荧光和电镜技术,揭示了Claudin 1在细胞紧密连接中的核心结构功能,证明其通过调控细胞旁屏障影响上皮细胞通透性。
2. **文献名称**:*Targeting Claudin-1 with Monoclonal Antibodies Suppresses Tumor Metastasis*
**作者**:Laura Smith et al.
**摘要**:开发了一种新型Claudin 1单克隆抗体,实验显示其能特异性结合肿瘤细胞表面Claudin 1.抑制癌细胞迁移和侵袭,为转移性癌症治疗提供潜在靶点。
3. **文献名称**:*Claudin-1 as a Biomarker in Inflammatory Bowel Disease: Antibody-Based Detection*
**作者**:John Lee et al.
**摘要**:通过组织样本分析,发现Claudin 1抗体可有效检测肠道上皮屏障损伤程度,提示其在炎症性肠病(IBD)患者中的诊断和预后价值。
(注:以上为模拟内容,实际文献需通过学术数据库检索,如PubMed或Web of Science。)
Claudin 1 (CLDN1) is a key transmembrane protein component of tight junctions, which regulate paracellular permeability and maintain cell polarity in epithelial and endothelial tissues. As a member of the claudin family, it consists of four transmembrane domains and forms chain-like structures to create selective barriers controlling ion and molecule transport. Claudin 1 is widely expressed in organs such as the skin, liver, kidneys, and gastrointestinal tract, where it plays a critical role in maintaining tissue integrity and homeostasis.
Research has linked Claudin 1 dysfunction to various diseases, including cancers (e.g., hepatocellular carcinoma, breast cancer), inflammatory bowel disease, and skin disorders like ichthyosis. Its overexpression or downregulation is often associated with tumor metastasis, leaky gut syndromes, or impaired epidermal barrier function. Additionally, Claudin 1 serves as a co-receptor for hepatitis C virus entry into hepatocytes, highlighting its biomedical relevance.
Antibodies targeting Claudin 1 are essential tools for studying its localization, expression dynamics, and interactions in both normal and pathological states. They are widely used in techniques like Western blotting, immunohistochemistry, and immunofluorescence to investigate tissue-specific barrier properties or disease mechanisms. Monoclonal antibodies are favored for high specificity, while polyclonal antibodies may detect multiple epitopes. Beyond research, Claudin 1 antibodies hold potential in therapeutic development, particularly for cancers and barrier-related diseases, though clinical applications remain under exploration. Their utility in elucidating tight junction biology continues to drive interest in precision diagnostics and targeted therapies.
×