首页 / 产品 / 抗体 / 一抗

Rabbit Polyclonal FOXP3 Antibody

  • 中文名: FOXP3抗体
  • 别    名: FOXP3; IPEX; JM2; Forkhead box protein P3; Scurfin
货号: IPDX23619
Price: ¥1180
数量:
大包装询价

验证与应用

应用及物种
WB 咨询技术 Human,Mouse,Rat
IF 咨询技术 Human,Mouse,Rat
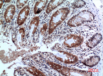
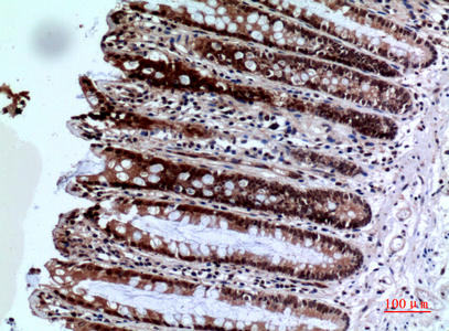
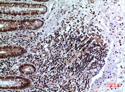
IHC 1/50-1/100 Human,Mouse,Rat
ICC 技术咨询 Human,Mouse,Rat
FCM 咨询技术 Human,Mouse,Rat
Elisa 1/10000 Human,Mouse,Rat

产品详情

AliasesFOXP3; IPEX; JM2; Forkhead box protein P3; Scurfin
Entrez GeneID50943
WB Predicted band sizeCalculated MW: 47 kDa; Observed MW: 47 kDa
Host/IsotypeRabbit IgG
Antibody TypePrimary antibody
StorageStore at 4°C short term. Aliquot and store at -20°C long term. Avoid freeze/thaw cycles.
Species ReactivityHuman,Mouse,Rat
ImmunogenThe antiserum was produced against synthesized peptide derived from the C-terminal region of human FOXP3. AA range:381-430
FormulationPurified antibody in PBS with 0.05% sodium azide,0.5%BSA and 50% glycerol.

+ +

参考文献

以下是关于 **FOXP3抗体** 的3篇参考文献,简要概括内容:

---

1. **文献名称**:*Foxp3 programs the development and function of CD4+CD25+ regulatory T cells*

**作者**:Fontenot JD, et al.

**摘要**:该研究首次揭示了FOXP3作为调节性T细胞(Treg)发育和功能的关键转录因子,并通过FOXP3抗体染色证实其在Treg中的特异性表达,为后续免疫调节研究奠定基础。

---

2. **文献名称**:*Specificity versus stability in FOXP3 antibody staining: A systematic comparison of anti-human FOXP3 antibodies*

**作者**:Wang L, et al.

**摘要**:通过比较多种商业FOXP3抗体的特异性(如克隆号236A/E7、PCH101等),发现不同抗体在流式细胞术和免疫组化中的性能差异,强调实验条件优化的重要性。

---

3. **文献名称**:*FOXP3+ regulatory T cells in cancer: Prognostic significance and therapeutic implications*

**作者**:Saito T, et al.

**摘要**:利用FOXP3抗体研究肿瘤微环境中Treg细胞的浸润情况,发现FOXP3+ Treg数量与患者预后负相关,提示其作为癌症免疫治疗靶点的潜力。

---

如需更多文献或特定应用场景(如流式、WB、IHC等),可进一步补充说明!

背景信息

FOXP3 (Forkhead Box P3) is a transcription factor predominantly expressed in regulatory T cells (Tregs), where it plays a critical role in their development, function, and immunosuppressive activity. As a master regulator of Treg biology, FOXP3 ensures immune homeostasis by suppressing excessive immune responses and preventing autoimmunity. Mutations in the FOXP3 gene are linked to immune dysregulation, polyendocrinopathy, enteropathy, X-linked (IPEX) syndrome, a severe autoimmune disorder.

FOXP3 antibodies are essential tools for identifying and characterizing Tregs in research and clinical settings. These antibodies target specific epitopes of the FOXP3 protein, enabling its detection via techniques like flow cytometry, immunohistochemistry, and Western blotting. Due to FOXP3's intracellular localization, staining typically requires cell fixation and permeabilization. Researchers rely on FOXP3 antibodies to study Treg dynamics in diseases such as cancer, autoimmune disorders, and transplant rejection, where Treg populations often correlate with disease progression or therapeutic outcomes. Commercial FOXP3 antibodies (e.g., clones 236A/E7) are validated for human, mouse, and other model organisms, though species cross-reactivity must be confirmed. Recent efforts focus on standardizing FOXP3 antibody specificity to address variability in staining patterns across studies. As Treg-targeted therapies advance, FOXP3 antibodies remain pivotal for both mechanistic research and biomarker development.

客户数据及评论

折叠内容

大包装询价

×