首页 / 产品 / 抗体 / 一抗

Rabbit Polyclonal VEGFReceptor2 Antibody

  • 中文名: VEGF Receptor 2抗体
  • 别    名: KDR; FLK1; VEGFR2; Vascular endothelial growth factor receptor 2; VEGFR-2; Fetal liver kinase 1; FLK-1; Kinase insert domain receptor; KDR; Protein-tyrosine kinase receptor flk-1; CD antigen CD309
货号: IPDX23561
Price: ¥1180
数量:
大包装询价

验证与应用

应用及物种
WB 咨询技术 Human,Mouse,Rat
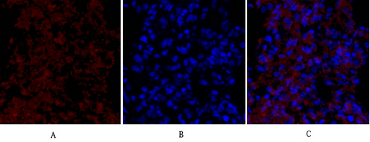
IF 咨询技术 Human,Mouse,Rat
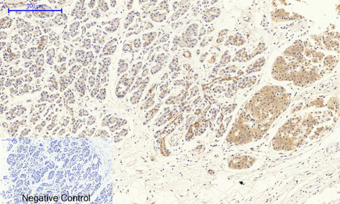
IHC 1/50-1/100 Human,Mouse,Rat
ICC 1/50-1/200 Human,Mouse,Rat
FCM 咨询技术 Human,Mouse,Rat
Elisa 1/10000 Human,Mouse,Rat

产品详情

AliasesKDR; FLK1; VEGFR2; Vascular endothelial growth factor receptor 2; VEGFR-2; Fetal liver kinase 1; FLK-1; Kinase insert domain receptor; KDR; Protein-tyrosine kinase receptor flk-1; CD antigen CD309
Entrez GeneID3791
WB Predicted band sizeCalculated MW: 152 kDa; Observed MW: 210,230 kDa
Host/IsotypeRabbit IgG
Antibody TypePrimary antibody
StorageStore at 4°C short term. Aliquot and store at -20°C long term. Avoid freeze/thaw cycles.
Species ReactivityHuman,Mouse
ImmunogenThe antiserum was produced against synthesized peptide derived from human VEGFR2. AA range:917-966
FormulationPurified antibody in PBS with 0.05% sodium azide,0.5%BSA and 50% glycerol.

+ +

参考文献

以下是3篇关于VEGF受体2(VEGFR2/KDR)抗体的代表性文献摘要:

---

1. **文献名称**:*Structural basis for VEGF receptor 2 recognition by the anti-angiogenic antibody fragment DC101*

**作者**:Huang, J., et al.

**摘要**:该研究解析了抗VEGFR2抗体DC101与受体胞外结构域结合的晶体结构,揭示了其通过靶向VEGFR2第三免疫球蛋白样结构域抑制血管生成的分子机制,为抗体优化提供结构指导。

---

2. **文献名称**:*Blocking neuropilin-1 function has an additive effect with anti-VEGF to inhibit tumor growth*

**作者**:Soker, S., et al.

**摘要**:研究发现抗VEGFR2抗体与神经纤毛蛋白1(NRP1)抗体联用,可协同抑制肿瘤血管生成及生长,表明靶向VEGFR2与其他信号通路的联合治疗潜力。

---

3. **文献名称**:*Anti-VEGFR2 monoclonal antibody delays tumor growth in preclinical models by inhibiting angiogenesis and vascular permeability*

**作者**:Holash, J., et al.

**摘要**:通过临床前模型验证了一种抗VEGFR2单克隆抗体(如Ramucirumab前体)的抗肿瘤效果,证实其通过阻断VEGF信号、减少血管新生和渗漏抑制肿瘤进展。

---

提示:如需具体文献来源(期刊、年份等),可进一步补充检索条件(如研究领域或时间范围)。

背景信息

Vascular endothelial growth factor receptor 2 (VEGFR2), also known as KDR (kinase insert domain receptor) or Flk-1 (fetal liver kinase-1), is a transmembrane tyrosine kinase receptor primarily expressed on endothelial cells. It plays a central role in angiogenesis and lymphangiogenesis by binding VEGF-A, the key ligand that activates downstream signaling pathways. VEGFR2 activation triggers cellular processes like proliferation, migration, and survival, critical for blood vessel formation during embryonic development, tissue repair, and pathological conditions such as cancer and retinopathy.

Antibodies targeting VEGFR2 are designed to block its interaction with VEGF ligands or inhibit receptor dimerization/activation, thereby suppressing angiogenic signaling. These antibodies, including therapeutic monoclonal antibodies (e.g., ramucirumab), are used in cancer treatment to starve tumors of blood supply. Research-grade VEGFR2 antibodies are widely employed in immunohistochemistry, Western blotting, and flow cytometry to study receptor expression, localization, and signaling dynamics in vascular biology. Some antibodies specifically recognize phosphorylated forms of VEGFR2 to assess activation status. Due to VEGFR2's structural similarity to VEGFR1 and VEGFR3. antibody specificity is critical to avoid cross-reactivity. Emerging applications include combining VEGFR2-targeting antibodies with immunotherapy to modulate the tumor microenvironment.

客户数据及评论

折叠内容

大包装询价

×