| WB | 1/500-1/1000 | Human,Mouse,Rat |
| IF | 1/50-1/200 | Human,Mouse,Rat |
| IHC | 1/50-1/100 | Human,Mouse,Rat |
| ICC | 1/50-1/200 | Human,Mouse,Rat |
| FCM | 1/50-1/100 | Human,Mouse,Rat |
| IP | 1/10-1/20 | Human,Mouse,Rat |
| Aliases | GP34; CD252; OX4OL; TXGP1; CD134L; OX-40L; TNLG2B |
| Host/Isotype | Rabbit IgG |
| Antibody Type | Primary antibody |
| Storage | Store at 4°C short term. Aliquot and store at -20°C long term. Avoid freeze/thaw cycles. |
| Species Reactivity | Human |
| Immunogen | Synthetic peptide of human TNFSF4 |
| Formulation | Purified antibody in PBS with 0.05% sodium azide and 50% glycerol. |
+ +

Western blot analysis of Keratin 8 in MCF-7, Hela lysates using Cytokeratin 8 antibody.
Immunocytochemistry analysis of Cytokeratin 8(green) in Hela using Cytokeratin 8 antibody,and DAPI(blue)
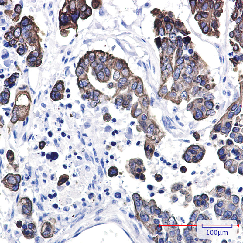
Immunohistochemistry analysis of paraffin-embedded Human Cholangiocarcinoma using Cytokeratin 8 antibody. High-pressure and temperature Sodium Citrate pH 6.0 was used for antigen retrieval.
以下是3-4条关于Cytokeratin 8(CK8)抗体的参考文献及其简要摘要:
---
1. **文献名称**: *Cytokeratin 8 as a tissue biomarker in epithelial neoplasms*
**作者**: Ramackers F., Schlegel R.
**摘要**: 研究探讨CK8作为上皮源性肿瘤的生物标志物,证实其在腺癌和鳞状细胞癌中的差异表达,可用于病理诊断分类。
---
2. **文献名称**: *Phosphorylation of cytokeratin 8 regulates perinuclear organization in liver injury*
**作者**: Omary M.B., et al.
**摘要**: 揭示CK8磷酸化在肝细胞损伤中的调控作用,CK8抗体检测显示其与肝纤维化和胆汁淤积性疾病的病理机制相关。
---
3. **文献名称**: *Cytokeratin 8 interaction with β-catenin promotes metastatic potential in colorectal cancer*
**作者**: Bordi P., et al.
**摘要**: 通过CK8抗体标记,发现CK8与β-catenin的相互作用增强结直肠癌细胞侵袭性,提示其在肿瘤转移中的关键角色。
---
4. **文献名称**: *Cytokeratin 8 antibody-based detection of drug-resistant hepatocellular carcinoma*
**作者**: Zhao Y., et al.
**摘要**: 利用CK8抗体分析肝癌组织,发现CK8高表达与化疗耐药性显著相关,可作为预后和治疗的潜在靶点。
---
以上文献涵盖了CK8在肿瘤分型、肝病机制、转移调控及耐药性研究中的应用。
Cytokeratin 8 (CK8), a member of the type II intermediate filament protein family, is primarily expressed in single-layered epithelial cells, such as those lining the gastrointestinal tract, liver, pancreas, and glandular tissues. As part of the cytokeratin network, CK8 pairs with type I keratins (e.g., CK18) to form structural scaffolds that maintain cellular integrity, resist mechanical stress, and regulate signaling pathways. Antibodies targeting CK8 are widely used in research and diagnostics to identify epithelial cell origins, particularly in cancer pathology. Since epithelial tumors often retain CK8 expression, these antibodies aid in distinguishing carcinomas (CK8-positive) from sarcomas or lymphoid malignancies (CK8-negative). In clinical settings, CK8 antibodies are employed in immunohistochemistry to detect metastatic adenocarcinomas or classify poorly differentiated tumors. Beyond oncology, CK8 plays roles in cell apoptosis and stress responses. Studies link CK8 mutations or dysregulation to liver diseases, inflammatory bowel disease, and pancreatitis. Notably, CK8 interacts with proteins like TNF-α receptors, modulating inflammatory signaling. Its phosphorylation during cell injury serves as a biomarker for epithelial damage. Research tools such as monoclonal antibodies (e.g., CAM5.2) have advanced understanding of CK8's tissue-specific functions and disease associations, underscoring its dual utility as a diagnostic marker and a subject of mechanistic studies in epithelial biology.
×