首页 / 产品 / 抗体 / 一抗

Rabbit Polyclonal EstrogenReceptoralpha Antibody

  • 中文名: Estrogen Receptor alpha抗体
  • 别    名: ESR1; Era; Eralpha; Estrogen receptor; Estradiol receptor; ER-alpha; Estrogen receptor 1; NR3A1; ER; ESR; ESRA; Estrogen receptor alpha
货号: IPDX23478
Price: ¥1180
数量:
大包装询价

验证与应用

应用及物种
WB 咨询技术 Human,Mouse,Rat
IF 1/20 Human,Mouse,Rat
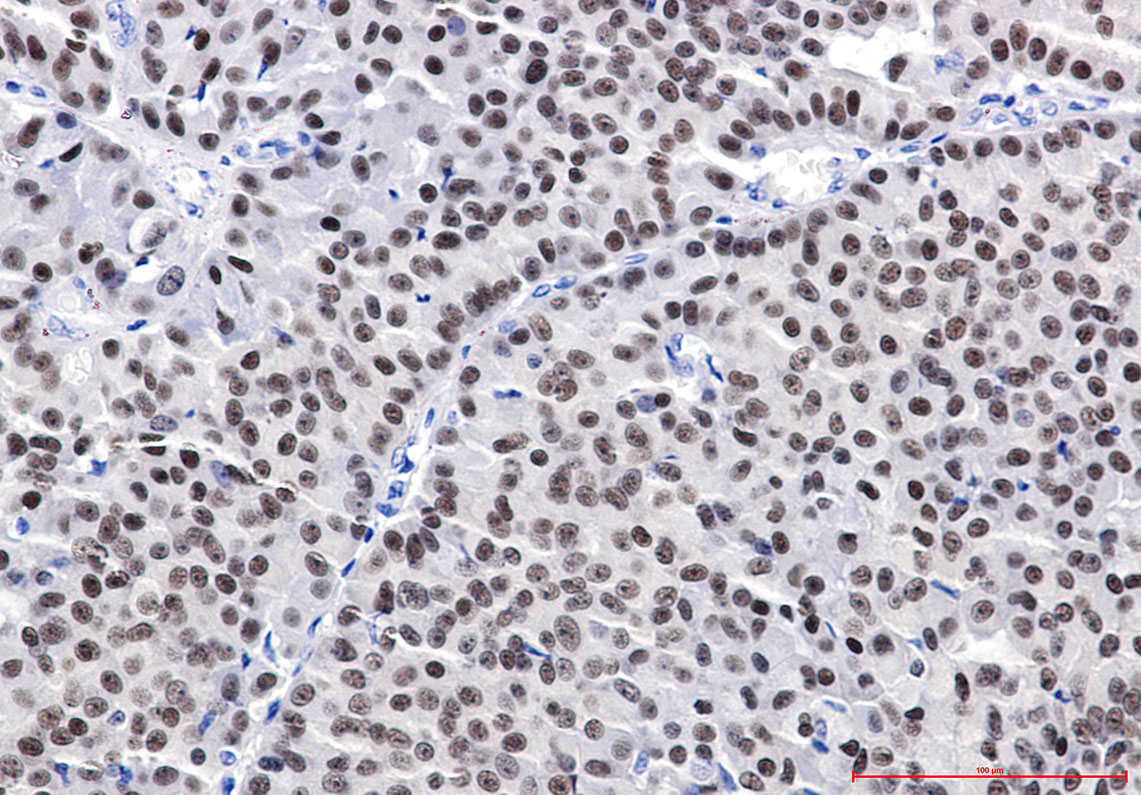
IHC 1/50-1/100 Human,Mouse,Rat
ICC 技术咨询 Human,Mouse,Rat
FCM 1/50-1/100 Human,Mouse,Rat
Elisa 咨询技术 Human,Mouse,Rat

产品详情

AliasesESR1; Era; Eralpha; Estrogen receptor; Estradiol receptor; ER-alpha; Estrogen receptor 1; NR3A1; ER; ESR; ESRA; Estrogen receptor alpha
Entrez GeneID2099
WB Predicted band sizeCalculated MW: 66 kDa; Observed MW: 66 kDa
Host/IsotypeRabbit IgG
Antibody TypePrimary antibody
StorageStore at 4°C short term. Aliquot and store at -20°C long term. Avoid freeze/thaw cycles.
Species ReactivityHuman
ImmunogenA synthetic peptide of human Estrogen Receptor alpha
FormulationPurified antibody in TBS with 0.05% sodium azide,0.05%BSA and 50% glycerol.

+ +

参考文献

以下是3-4篇关于Estrogen Receptor alpha(ERα)抗体的经典文献概览:

1. **文献名称**:*Immunohistochemical detection of estrogen receptor in breast cancer using monoclonal antibodies*

**作者**:Allred DC, et al.

**摘要**:该研究开发了一种基于单克隆抗体的免疫组化(IHC)方法,用于检测乳腺癌组织中的ERα表达,并建立了一种半定量评分系统(Allred评分),用于临床评估ER状态与治疗预后的相关性。

2. **文献名称**:*Comparison of automated estrogen receptor immunocytochemistry and conventional manual methods*

**作者**:Bubendorf L, et al.

**摘要**:研究比较了自动化ERα抗体检测系统与传统手工方法的敏感性和一致性,验证了自动化技术在临床病理诊断中的可靠性,并强调了抗体特异性对结果的影响。

3. **文献名称**:*Estrogen receptor alpha (ER-α) and progesterone receptor (PR) mRNA levels correlate with receptor protein levels in breast cancer*

**作者**:Mohsin SK, et al.

**摘要**:通过比较不同ERα抗体(如克隆1D5和6F11)的检测结果,发现mRNA与蛋白表达水平的一致性,提示抗体选择可能影响ERα亚型检测的准确性。

4. **文献名称**:*Estrogen receptor status by immunohistochemistry is superior to the ligand-binding assay for predicting response to adjuvant endocrine therapy in breast cancer*

**作者**:Harvey JM, et al.

**摘要**:该研究通过Meta分析证明,基于ERα抗体的IHC检测比传统配体结合法更可靠,能更精准预测乳腺癌患者对内分泌治疗的反应,为临床抗体选择提供了依据。

这些文献涵盖了ERα抗体的技术开发、验证及临床应用,可作为相关研究的参考基础。

背景信息

Estrogen receptor alpha (ERα), a member of the nuclear receptor superfamily, mediates estrogen signaling and regulates physiological processes such as reproductive function, bone homeostasis, and cardiovascular health. As a ligand-activated transcription factor, ERα binds estrogen to modulate gene expression. Its role in breast cancer is particularly significant, as ERα-positive tumors rely on estrogen-driven proliferation, making ERα status a critical biomarker for endocrine therapy (e.g., tamoxifen or aromatase inhibitors).

ERα-specific antibodies are essential tools for detecting ERα expression in clinical and research settings. In diagnostics, immunohistochemistry (IHC) using ERα antibodies (e.g., clone 1D5 or 6F11) helps stratify breast cancer subtypes and predict treatment response. These antibodies target epitopes in the N-terminal domain (1D5) or C-terminal ligand-binding domain (6F11) of ERα, with variations in sensitivity and specificity across tissue types. Researchers also employ ERα antibodies in techniques like Western blot, immunofluorescence, and ChIP-seq to study receptor localization, post-translational modifications, and DNA-binding activity.

Challenges include cross-reactivity with ERβ, epitope masking due to conformational changes, and false negatives from pre-analytical factors (e.g., tissue fixation delays). Recent advancements focus on phospho-specific ERα antibodies to assess activation states or combined biomarkers (e.g., ERα/PR co-expression) for refined prognostic insights. Standardization of antibody validation (e.g., CRISPR KO controls) remains crucial to ensure reliability in precision oncology applications.

客户数据及评论

折叠内容

大包装询价

×