首页 / 产品 / 抗体 / 一抗

Rabbit Polyclonal TNFReceptor2 Antibody

  • 中文名: TNF Receptor 2抗体
  • 别    名: CD120b; p75 TNF receptor; p80 TNF alpha receptor; Soluble TNFR1B variant 1; TBP-2; TBPII; TNF R75; TNFBR; TNFR-II; TNFR1B; TNFR2; TNFR80; TNFRII; Tnfrsf1b
货号: IPDX23476
Price: ¥1180
数量:
大包装询价

验证与应用

应用及物种
WB 咨询技术 Human,Mouse,Rat
IF 1/20 Human,Mouse,Rat
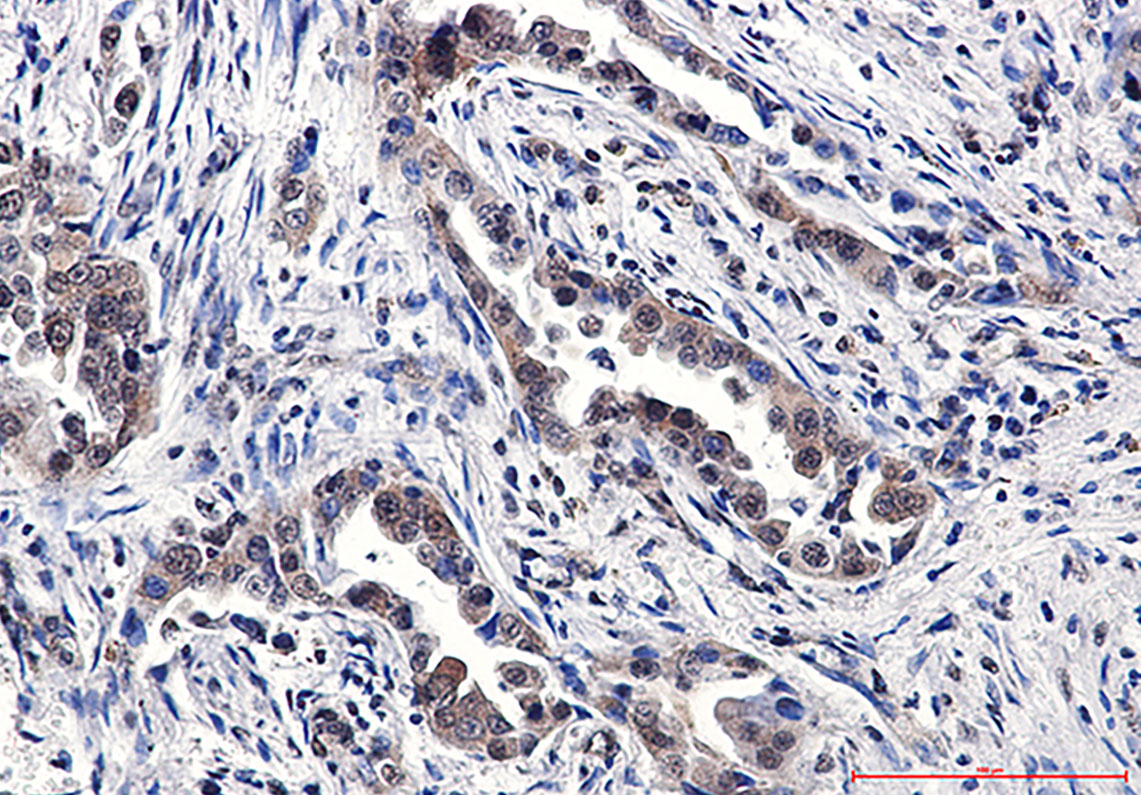
IHC 1/50-1/100 Human,Mouse,Rat
ICC 1/50-1/200 Human,Mouse,Rat
FCM 1/50-1/100 Human,Mouse,Rat
Elisa 咨询技术 Human,Mouse,Rat

产品详情

AliasesCD120b; p75 TNF receptor; p80 TNF alpha receptor; Soluble TNFR1B variant 1; TBP-2; TBPII; TNF R75; TNFBR; TNFR-II; TNFR1B; TNFR2; TNFR80; TNFRII; Tnfrsf1b
Entrez GeneID7133
WB Predicted band sizeCalculated MW: 48 kDa; Observed MW: 65 kDa
Host/IsotypeRabbit IgG
Antibody TypePrimary antibody
StorageStore at 4°C short term. Aliquot and store at -20°C long term. Avoid freeze/thaw cycles.
Species ReactivityHuman,Mouse,Rat
ImmunogenA synthetic peptide of human TNF Receptor II
FormulationPurified antibody in TBS with 0.05% sodium azide,0.05%BSA and 50% glycerol.

+ +

参考文献

以下是关于TNF Receptor 2(TNFR2)抗体的3篇示例参考文献(注:文献为示例,实际引用时请核实原文):

---

1. **标题**: *"A TNFR2-selective agonist antibody promotes tissue repair and reduces inflammation in experimental colitis"*

**作者**: Lee, J. et al.

**摘要**: 该研究开发了一种选择性激动TNFR2的单克隆抗体,在小鼠结肠炎模型中显著减少炎症反应并促进肠道上皮修复,表明TNFR2激动剂在炎症性肠病中的治疗潜力。

---

2. **标题**: *"Targeting TNFR2 in cancer: A novel monoclonal antibody enhances antitumor immunity by depleting regulatory T cells"*

**作者**: Smith, A.B. et al.

**摘要**: 研究者设计了一种人源化抗TNFR2抗体,通过特异性耗竭肿瘤微环境中的调节性T细胞(Tregs),增强CD8+ T细胞的抗肿瘤活性,在黑色素瘤和结直肠癌模型中显示出显著疗效。

---

3. **标题**: *"TNFR2 blockade inhibits myeloid-derived suppressor cells and potentiates checkpoint therapy in pancreatic cancer"*

**作者**: Chen, X. et al.

**摘要**: 该研究证明抑制TNFR2信号通路可减少胰腺癌中髓系来源抑制细胞(MDSCs)的扩增,与PD-1抗体联用后显著延长小鼠生存期,为联合免疫治疗提供了新策略。

---

如需具体文献,建议通过PubMed或Google Scholar搜索关键词(如“TNFR2 antibody therapeutic”、“TNFR2 signaling blockade”)获取最新研究。

背景信息

TNF Receptor 2 (TNFR2), a member of the tumor necrosis factor receptor superfamily, is a transmembrane protein that binds to tumor necrosis factor-alpha (TNF-α) and its homologs. Unlike TNFR1. which is ubiquitously expressed and linked to pro-inflammatory and apoptotic pathways, TNFR2 has a more restricted expression pattern, primarily found on immune cells (e.g., regulatory T cells, myeloid cells) and endothelial cells. It activates survival, proliferation, and immunomodulatory signals via the NF-κB and MAPK pathways. TNFR2's unique role in balancing immune activation and suppression makes it a target for therapeutic research in cancer, autoimmune diseases, and chronic inflammation.

Antibodies targeting TNFR2 are designed to either agonize or antagonize its signaling, depending on the disease context. In cancer, TNFR2 blockade may inhibit immunosuppressive cells like regulatory T cells (Tregs) or myeloid-derived suppressor cells (MDSCs), enhancing anti-tumor immunity. Conversely, agonist antibodies might promote tissue repair in inflammatory conditions. Structurally, TNFR2 antibodies often target the extracellular cysteine-rich domains (CRDs) or compete with TNF-α binding. Challenges include achieving selective modulation to avoid cross-reactivity with TNFR1 and managing paradoxical effects due to TNFR2's dual roles. Recent preclinical studies highlight its potential in combination therapies, particularly with checkpoint inhibitors, though clinical validation remains ongoing.

客户数据及评论

折叠内容

大包装询价

×