首页 / 产品 / 抗体 / 一抗

Rabbit Polyclonal ENA78 Antibody

  • 中文名: ENA 78抗体
  • 别    名: AMCFII; Cxcl5; ENA78; SCYB5
货号: IPDX23338
Price: ¥1180
数量:
大包装询价

验证与应用

应用及物种
WB 咨询技术 Human,Mouse,Rat
IF 咨询技术 Human,Mouse,Rat
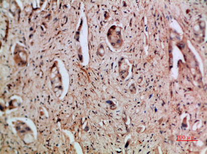
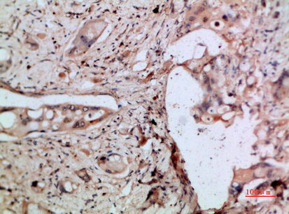
IHC 1/50-1/100 Human,Mouse,Rat
ICC 技术咨询 Human,Mouse,Rat
FCM 咨询技术 Human,Mouse,Rat
Elisa 1/10000 Human,Mouse,Rat

产品详情

AliasesAMCFII; Cxcl5; ENA78; SCYB5
Entrez GeneID6374
Host/IsotypeRabbit IgG
Antibody TypePrimary antibody
StorageStore at 4°C short term. Aliquot and store at -20°C long term. Avoid freeze/thaw cycles.
Species ReactivityHuman
ImmunogenSynthetic peptide from human protein at AA range: 65-114
FormulationPurified antibody in PBS with 0.05% sodium azide,0.5%BSA and 50% glycerol.

+ +

参考文献

以下是关于ENA-78(CXCL5)抗体的3篇代表性文献摘要信息:

---

1. **文献名称**:*Epithelial neutrophil activating peptide (ENA-78): identification as a novel neutrophil chemotactic factor in psoriasis*

**作者**:Walz, A., et al.

**摘要**:该研究首次报道了ENA-78的纯化及抗体制备,证实其在银屑病皮损中高表达,并证明其抗体可阻断中性粒细胞趋化活性,提示ENA-78在炎症中的关键作用。

---

2. **文献名称**:*CXCL5 (ENA-78) is a key angiogenic factor in non-small cell lung cancer*

**作者**:Müller, A., et al.

**摘要**:通过抗体验证发现,CXCL5在非小细胞肺癌组织中高表达,其抗体中和实验显示可抑制肿瘤血管生成,表明ENA-78抗体在肿瘤治疗中的潜在价值。

---

3. **文献名称**:*Antibody-based profiling of cerebrospinal fluid in multiple sclerosis*

**作者**:Khademi, M., et al.

**摘要**:研究利用ENA-78抗体检测多发性硬化症患者脑脊液,发现CXCL5水平与疾病活动性相关,提示其抗体可用于炎症性神经疾病的生物标志物开发。

---

如需具体文献链接或补充其他研究,可进一步说明方向(如抗体开发技术或特定疾病应用)。

背景信息

ENA-78 (Epithelial Neutrophil-Activating Peptide-78), also known as CXCL5. is a member of the CXC chemokine family involved in inflammatory and immune responses. It was initially identified for its role in recruiting and activating neutrophils to sites of inflammation. Structurally, ENA-78 is produced by epithelial cells, endothelial cells, and macrophages under stimulation by pro-inflammatory cytokines like IL-1β or TNF-α. It exerts its biological effects by binding to the CXCR2 receptor, promoting neutrophil chemotaxis, degranulation, and angiogenesis.

In pathological contexts, ENA-78 is implicated in chronic inflammatory diseases (e.g., rheumatoid arthritis, COPD) and cancer. Elevated ENA-78 levels correlate with tumor progression, metastasis, and poor prognosis in cancers such as lung, breast, and colorectal, where it facilitates angiogenesis, immune evasion, and stromal remodeling.

Antibodies targeting ENA-78 are essential tools for research and diagnostics. They enable detection of ENA-78 expression in tissues or bodily fluids via techniques like ELISA, immunohistochemistry, or Western blot. Therapeutic applications are under exploration, with studies investigating ENA-78 blockade to inhibit neutrophil-mediated tissue damage or tumor growth. However, its pleiotropic roles in inflammation and homeostasis necessitate careful evaluation of targeting strategies. Overall, ENA-78 antibodies remain critical for unraveling its pathophysiological mechanisms and potential clinical applications.

客户数据及评论

折叠内容

大包装询价

×