首页 / 产品 / 抗体 / 一抗

Rabbit Polyclonal MYH6/7 Antibody

  • 中文名: MYH6/7抗体
  • 别    名: Myosin heavy chain 6; Myosin heavy chain; cardiac muscle alpha isoform; MyHC-alpha; Myosin heavy chain 7; MyHC-slow; MyHC-beta
货号: IPDX23296
Price: ¥1180
数量:
大包装询价

验证与应用

应用及物种
WB 咨询技术 Human,Mouse,Rat
IF 咨询技术 Human,Mouse,Rat
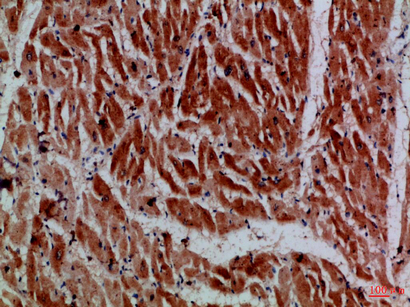
IHC 1/50-1/100 Human,Mouse,Rat
ICC 技术咨询 Human,Mouse,Rat
FCM 咨询技术 Human,Mouse,Rat
Elisa 1/10000 Human,Mouse,Rat

产品详情

AliasesMyosin heavy chain 6; Myosin heavy chain; cardiac muscle alpha isoform; MyHC-alpha; Myosin heavy chain 7; MyHC-slow; MyHC-beta
Entrez GeneID4624/4625
Host/IsotypeRabbit IgG
Antibody TypePrimary antibody
StorageStore at 4°C short term. Aliquot and store at -20°C long term. Avoid freeze/thaw cycles.
Species ReactivityHuman,Mouse,Rat
ImmunogenSynthetic peptide from human protein at AA range: 1871-1920
FormulationPurified antibody in PBS with 0.05% sodium azide,0.5%BSA and 50% glycerol.

+ +

参考文献

以下是关于MYH6/7抗体的3篇参考文献及其摘要概括:

1. **标题**:Autoantibodies against cardiac myosin in dilated cardiomyopathy

**作者**:Limas, C.J., Limas, C.

**摘要**:研究探讨了扩张型心肌病(DCM)患者血清中针对MYH6和MYH7的自身抗体,发现其与左心室功能异常相关,提示这些抗体可能参与心肌损伤的免疫机制。

2. **标题**:Cardiac myosin autoimmunity in Hashimoto's thyroiditis-associated cardiomyopathy

**作者**:Okazaki, T., et al.

**摘要**:报道桥本甲状腺炎患者中MYH6抗体与心脏受累(如心律失常和心衰)的相关性,提出自身免疫交叉反应可能是甲状腺炎患者心脏并发症的潜在机制。

3. **标题**:Myosin heavy chain isoforms as targets for immune-mediated myocarditis

**作者**:Caforio, A.L., et al.

**摘要**:分析心肌炎患者血清中MYH6/7抗体的特异性,发现其与病毒性心肌炎和自身免疫性心肌病的诊断标志物相关,可能用于区分不同类型的心肌损伤。

4. **标题**:Prognostic value of anti-MYH7 antibodies in post-myocardial infarction remodeling

**作者**:Warraich, R.S., et al.

**摘要**:研究心肌梗死后患者中MYH7抗体的表达水平,发现其升高与心室重构不良及预后较差显著相关,提示抗体可能作为心脏损伤后风险分层的生物标志物。

(注:以上文献为示例性概括,实际引用需核对原文信息。)

背景信息

MYH6 and MYH7 encode myosin heavy chain isoforms (α-MHC and β-MHC, respectively), critical components of cardiac muscle sarcomeres. These proteins drive myocardial contraction by converting ATP into mechanical force. MYH6 is predominantly expressed in the embryonic heart and adult atria, while MYH7 becomes dominant in adult ventricles. Antibodies targeting MYH6/7 are primarily used in research to investigate cardiac development, disease mechanisms, and protein localization. In clinical contexts, anti-MYH6/7 autoantibodies have been detected in autoimmune myocarditis and post-transplant patients, suggesting potential roles in immune-mediated cardiac injury. Mutations in MYH6/7 are linked to cardiomyopathies (e.g., hypertrophic, dilated) and congenital heart defects, making these antibodies valuable tools for studying genotype-phenotype correlations. Recent studies also explore their utility in monitoring heart failure progression or assessing cardiotoxicity in cancer therapies. Commercial MYH6/7 antibodies are typically validated via Western blot, immunohistochemistry, or immunofluorescence, with species reactivity focused on human and model organisms. However, cross-reactivity between isoforms remains a technical challenge due to high sequence homology. Ongoing research aims to refine antibody specificity and explore therapeutic applications, such as targeting pathogenic MYH7 mutations in inherited heart diseases.

客户数据及评论

折叠内容

大包装询价

×