| WB | 咨询技术 | Human,Mouse,Rat |
| IF | 咨询技术 | Human,Mouse,Rat |
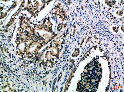
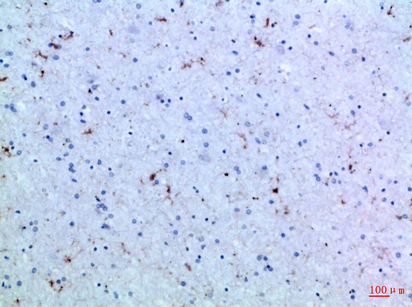
| IHC | 1/50-1/100 | Human,Mouse,Rat |
| ICC | 技术咨询 | Human,Mouse,Rat |
| FCM | 咨询技术 | Human,Mouse,Rat |
| Elisa | 1/10000 | Human,Mouse,Rat |
| Aliases | Interleukin-15 (IL-15) |
| Entrez GeneID | 3600 |
| Host/Isotype | Rabbit IgG |
| Antibody Type | Primary antibody |
| Storage | Store at 4°C short term. Aliquot and store at -20°C long term. Avoid freeze/thaw cycles. |
| Species Reactivity | Human |
| Immunogen | Synthetic peptide from human protein at AA range: 111-160 |
| Formulation | Purified antibody in PBS with 0.05% sodium azide,0.5%BSA and 50% glycerol. |
+ +
以下是关于IL-15抗体的3篇代表性文献及其摘要概括:
---
1. **文献名称**: *Targeting IL-15 in cancer immunotherapy*
**作者**: Kennedy, M.K., et al.
**摘要**: 该研究探讨了IL-15抗体在肿瘤免疫治疗中的作用,发现通过阻断IL-15信号通路可抑制肿瘤微环境中调节性T细胞(Treg)的扩增,从而增强效应T细胞的抗肿瘤活性。动物模型显示IL-15抗体联合PD-1抑制剂可显著缩小肿瘤体积。
---
2. **文献名称**: *A phase I study of an anti-IL-15 antibody in patients with advanced solid tumors*
**作者**: Wrangle, J.M., et al.
**摘要**: 这篇临床I期试验评估了人源化IL-15抗体(AMG 890)在晚期实体瘤患者中的安全性和初步疗效。结果显示抗体耐受性良好,且可显著降低外周血中NK细胞和记忆T细胞的IL-15依赖性存活,为后续临床试验提供了依据。
---
3. **文献名称**: *IL-15/IL-15 receptor complex: Structure and function*
**作者**: Ring, A.M., et al.
**摘要**: 该研究通过结构生物学方法解析了IL-15与其受体(IL-15Rα)结合的分子机制,揭示了抗体靶向IL-15/IL-15Rα复合物的关键表位,为开发高特异性IL-15阻断抗体奠定了理论基础。
---
以上文献涵盖了基础机制、临床前研究和早期临床试验,反映了IL-15抗体在肿瘤免疫治疗中的潜在价值。
Interleukin-15 (IL-15) is a pleiotropic cytokine critical for the development, survival, and function of immune cells, including natural killer (NK) cells, CD8+ T cells, and innate lymphoid cells. Produced by monocytes, dendritic cells, and stromal cells, IL-15 signals through a heterotrimeric receptor complex consisting of IL-15Rα, IL-2Rβ, and the common γ-chain (γc). Dysregulated IL-15 signaling is implicated in autoimmune diseases (e.g., rheumatoid arthritis, celiac disease), chronic inflammation, and cancers (e.g., T/NK-cell lymphomas), making it a therapeutic target.
IL-15-targeted antibodies aim to modulate this pathway. Neutralizing antibodies block IL-15 binding to its receptor or disrupt receptor assembly, suppressing pro-inflammatory signaling. For example, antibodies like AMG 714 (anti-IL-15) or NKG2A-targeted agents indirectly dampen IL-15-driven NK/T-cell activation. Conversely, agonist antibodies mimicking IL-15’s survival signals are explored in cancer immunotherapy to enhance cytotoxic lymphocyte activity. Preclinical studies show promise, but clinical translation faces challenges: IL-15’s dual role in immune activation and homeostasis complicates therapeutic dosing, and receptor redundancy with IL-2 raises specificity concerns. Early-phase trials in autoimmune conditions demonstrate partial efficacy with manageable toxicity, while cancer studies highlight potential synergies with checkpoint inhibitors. Balancing efficacy and safety remains key to advancing IL-15 antibodies into mainstream therapeutics.
×