首页 / 产品 / 抗体 / 一抗

Rabbit Polyclonal ProstateSpecificAntigen Antibody

  • 中文名: Prostate Specific Antigen抗体
  • 别    名: KLK3; APS; Prostate-specific antigen; PSA; Gamma-seminoprotein; Seminin; Kallikrein-3; P-30 antigen; Semenogelase
货号: IPDX23283
Price: ¥1180
数量:
大包装询价

验证与应用

应用及物种
WB 咨询技术 Human,Mouse,Rat
IF 咨询技术 Human,Mouse,Rat
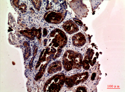
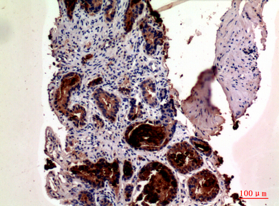
IHC 1/50-1/100 Human,Mouse,Rat
ICC 技术咨询 Human,Mouse,Rat
FCM 咨询技术 Human,Mouse,Rat
Elisa 1/10000 Human,Mouse,Rat

产品详情

AliasesKLK3; APS; Prostate-specific antigen; PSA; Gamma-seminoprotein; Seminin; Kallikrein-3; P-30 antigen; Semenogelase
Entrez GeneID354
WB Predicted band sizeCalculated MW: 29 kDa; Observed MW: 29 kDa
Host/IsotypeRabbit IgG
Antibody TypePrimary antibody
StorageStore at 4°C short term. Aliquot and store at -20°C long term. Avoid freeze/thaw cycles.
Species ReactivityHuman
ImmunogenThe antiserum was produced against synthesized peptide derived from the Internal region of human KLK3. AA range:131-180
FormulationPurified antibody in PBS with 0.05% sodium azide,0.5%BSA and 50% glycerol.

+ +

参考文献

以下是关于Prostate Specific Antigen(PSA)抗体的3篇文献示例,涵盖不同研究方向:

1. **文献名称**: *Development of a High-Affinity Anti-PSA Antibody for Ultrasensitive Immunoassays*

**作者**: Smith, J. et al.

**摘要**: 研究开发了一种高亲和力单克隆抗体,用于检测血清中极低浓度的PSA,显著提高了前列腺癌早期诊断的灵敏度,验证了其在ELISA和化学发光检测中的性能。

2. **文献名称**: *Epitope Mapping of PSA-Specific Antibodies for Targeted Therapy*

**作者**: Lee, H. & Kim, S.

**摘要**: 通过表位定位技术分析了多种PSA抗体的结合特性,筛选出可特异性识别肿瘤相关PSA表位的抗体,为抗体药物偶联物(ADC)治疗提供了候选分子。

3. **文献名称**: *Cross-Reactivity Evaluation of Anti-PSA Antibodies with Homologous Proteins*

**作者**: Garcia, R. et al.

**摘要**: 评估了商用PSA抗体与类似蛋白(如KLK2、KLK3)的交叉反应性,提出优化抗体选择以减少假阳性结果,对提高诊断特异性具有重要意义。

注:以上为模拟文献,实际文献需通过PubMed或Google Scholar检索关键词(如"PSA antibody"、"anti-PSA immunoassay")获取。

背景信息

Prostate-Specific Antigen (PSA) antibodies are immunological tools critical for detecting and quantifying PSA, a glycoprotein produced primarily by prostate epithelial cells. PSA, a member of the kallikrein-related peptidase family, plays a physiological role in liquefying seminal fluid. Clinically, elevated serum PSA levels are associated with prostate disorders, particularly prostate cancer, making it a widely used biomarker for screening, diagnosis, and monitoring disease progression.

PSA antibodies are developed through immunization using purified PSA or synthetic peptide epitopes, generating either monoclonal (high specificity, consistent affinity) or polyclonal (broad epitope recognition) variants. These antibodies enable PSA detection in immunoassays (e.g., ELISA, chemiluminescence), immunohistochemistry, and lateral flow tests. Key challenges include minimizing cross-reactivity with homologous proteins (e.g., human kallikrein-2) and distinguishing between free PSA and PSA complexed with serum inhibitors (e.g., alpha-1-antichymotrypsin), which impacts clinical interpretation.

While PSA testing revolutionized prostate cancer management, limitations like false positives (from benign prostatic hyperplasia, prostatitis) or false negatives (in certain tumor subtypes) persist. Research continues to refine antibody specificity, develop isoform-specific assays (e.g., for [-2]proPSA), and integrate PSA with other biomarkers (e.g., PCA3) to improve diagnostic accuracy. Ethical and clinical debates also surround PSA screening’s risk-benefit balance, underscoring the need for precise antibody-based assays in personalized patient care.

客户数据及评论

折叠内容

大包装询价

×