首页 / 产品 / 抗体 / 一抗

Rabbit Polyclonal CXCR2 Antibody

  • 中文名: CXCR2抗体
  • 别    名: CXCR2; IL8RB; C-X-C chemokine receptor type 2; CXC-R2; CXCR-2; CDw128b; GRO/MGSA receptor; High affinity interleukin-8 receptor B; IL-8R B; IL-8 receptor type 2; CD antigen CD182
货号: IPDX23275
Price: ¥1180
数量:
大包装询价

验证与应用

应用及物种
WB 咨询技术 Human,Mouse,Rat
IF 咨询技术 Human,Mouse,Rat
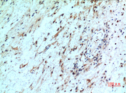
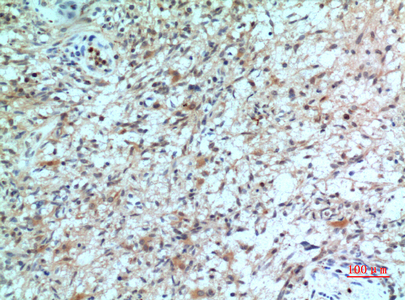
IHC 1/50-1/100 Human,Mouse,Rat
ICC 技术咨询 Human,Mouse,Rat
FCM 咨询技术 Human,Mouse,Rat
Elisa 1/10000 Human,Mouse,Rat

产品详情

AliasesCXCR2; IL8RB; C-X-C chemokine receptor type 2; CXC-R2; CXCR-2; CDw128b; GRO/MGSA receptor; High affinity interleukin-8 receptor B; IL-8R B; IL-8 receptor type 2; CD antigen CD182
Entrez GeneID3579
WB Predicted band sizeCalculated MW: 41 kDa; Observed MW: 41 kDa
Host/IsotypeRabbit IgG
Antibody TypePrimary antibody
StorageStore at 4°C short term. Aliquot and store at -20°C long term. Avoid freeze/thaw cycles.
Species ReactivityHuman
ImmunogenThe antiserum was produced against synthesized peptide derived from the N-terminal region of human CXCR2. AA range:1-50
FormulationPurified antibody in PBS with 0.05% sodium azide,0.5%BSA and 50% glycerol.

+ +

参考文献

以下是关于CXCR2抗体的3篇参考文献概览:

1. **标题**: *Targeting CXCR2 inhibits the progression of lung cancer and promotes therapeutic effect of cisplatin*

**作者**: Guoqing Wang et al.

**摘要**: 研究通过体外和体内实验,发现CXCR2抗体可抑制肺癌细胞增殖和迁移,并增强顺铂的化疗敏感性。机制涉及阻断CXCR2介导的PI3K/AKT/mTOR通路激活。

2. **标题**: *Neutralizing CXCR2 accelerates recovery from influenza pathogenicity by limiting neutrophil-mediated inflammation*

**作者**: J. Reutershan et al.

**摘要**: 在小鼠流感模型中,CXCR2抗体通过减少中性粒细胞向肺部的浸润,显著降低炎症反应和组织损伤,同时加速病毒清除和肺部功能恢复。

3. **标题**: *CXCR2 antagonist MK-7123 attenuates neutrophil transmigration in chronic obstructive pulmonary disease*

**作者**: R.W. Chapman et al.

**摘要**: 临床前研究表明,CXCR2抗体MK-7123可有效抑制COPD患者中性粒细胞的趋化与跨内皮迁移,为慢性气道炎症治疗提供潜在策略。

4. **标题**: *CXCR2 blockade suppresses pancreatic cancer progression by modulating myeloid cell recruitment*

**作者**: T.C. Jamieson et al.

**摘要**: 研究证实,CXCR2抗体通过减少肿瘤相关巨噬细胞(TAMs)和髓源性抑制细胞(MDSCs)的浸润,重塑胰腺癌免疫微环境,显著抑制肿瘤生长和转移。

背景信息

CXCR2 (C-X-C chemokine receptor type 2) is a G protein-coupled receptor (GPCR) that binds chemokines such as IL-8 (CXCL8), CXCL1. and CXCL5. Primarily expressed on neutrophils, monocytes, and endothelial cells, it plays a key role in mediating immune cell migration, inflammation, and angiogenesis. Activation of CXCR2 triggers signaling pathways like MAPK and PI3K, promoting chemotaxis, cell survival, and cytokine release. Its involvement in inflammatory diseases (e.g., COPD, arthritis) and cancer progression (e.g., tumor growth, metastasis) has made it a therapeutic target.

CXCR2 antibodies are tools used to study receptor expression, function, and localization. They enable detection via techniques like flow cytometry, immunohistochemistry, and Western blot. Neutralizing antibodies can block ligand-receptor interactions, helping to dissect CXCR2's role in disease models. In therapeutic contexts, anti-CXCR2 antibodies have been explored to inhibit excessive neutrophil recruitment in chronic inflammation or disrupt pro-tumorigenic signaling. However, challenges remain in balancing efficacy with potential immunosuppressive side effects.

Research on CXCR2 antibodies also contributes to drug development, with some small-molecule antagonists already in clinical trials. These studies highlight CXCR2's dual role as a regulator of both protective immunity and pathological processes, underscoring the need for targeted antibody-based strategies.

客户数据及评论

折叠内容

大包装询价

×