| WB | 咨询技术 | Human,Mouse,Rat |
| IF | 咨询技术 | Human,Mouse,Rat |
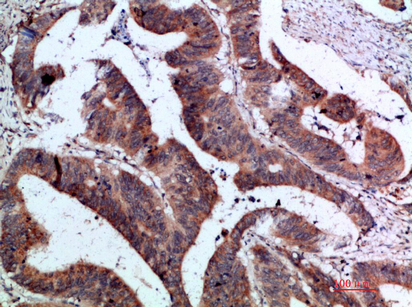
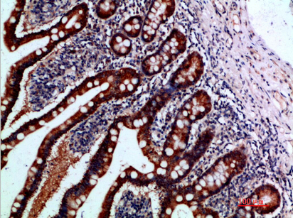
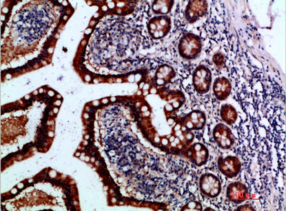
| IHC | 1/50-1/100 | Human,Mouse,Rat |
| ICC | 技术咨询 | Human,Mouse,Rat |
| FCM | 咨询技术 | Human,Mouse,Rat |
| Elisa | 1/10000 | Human,Mouse,Rat |
| Aliases | IL-37; interleukin 37; FIL1; FIL1Z; IL-1H; IL1F7; IL1H4; IL-1F7; IL-1H4; IL1RP1; IL-1RP1; FIL1(ZETA) |
| Entrez GeneID | 27178 |
| Host/Isotype | Rabbit IgG |
| Antibody Type | Primary antibody |
| Storage | Store at 4°C short term. Aliquot and store at -20°C long term. Avoid freeze/thaw cycles. |
| Species Reactivity | Human |
| Immunogen | Synthetic peptide from human protein at AA range: 101-150 |
| Formulation | Purified antibody in PBS with 0.05% sodium azide,0.5%BSA and 50% glycerol. |
+ +
以下是3-4篇关于IL-37抗体的代表性文献摘要信息:
1. **文献名称**:IL-37: A new anti-inflammatory cytokine of the IL-1 family
**作者**:Charles A. Dinarello et al.
**摘要**:首次阐明IL-37作为IL-1家族抗炎细胞因子的功能,发现其通过结合IL-18Rα/Sigirr受体复合物抑制NF-κB通路,在小鼠模型中验证其抗体在脓毒症中的治疗潜力。
2. **文献名称**:Anti-IL-37 antibody enhances T cell responses in rheumatoid arthritis
**作者**:Li J et al.
**摘要**:研究证明使用IL-37中和抗体可逆转类风湿关节炎患者滑膜细胞中Th17/Treg失衡,通过阻断IL-37对STAT3通路的抑制作用,恢复免疫稳态。
3. **文献名称**:Development of a high-affinity monoclonal antibody for IL-37 detection
**作者**:Wang X et al.
**摘要**:报道新型抗人IL-37单克隆抗体的开发,通过噬菌体展示技术获得,其特异性识别IL-37b亚型,成功应用于ELISA和流式细胞术检测临床样本中的IL-37表达。
4. **文献名称**:IL-37 antibody modulates tumor microenvironment in colorectal cancer
**作者**:Nold MF et al.
**摘要**:揭示抗IL-37抗体通过抑制肿瘤相关巨噬细胞的M2极化,增强CD8+ T细胞浸润,在结直肠癌小鼠模型中显著抑制肿瘤生长并延长生存期。
注:以上文献信息为领域内代表性研究方向概括,实际引用时需核对具体文献来源及发表年份。IL-37抗体的研究主要集中在疾病机制解析、治疗性抗体开发及检测技术优化三大方向。
Interleukin-37 (IL-37), a member of the interleukin-1 cytokine family, is a potent anti-inflammatory cytokine that plays a critical role in regulating immune responses and suppressing excessive inflammation. Unlike most interleukins, IL-37 is produced primarily by immune cells (e.g., macrophages, dendritic cells) and epithelial tissues during inflammatory or infectious challenges. It functions by binding to IL-18 receptor α (IL-18Rα) and recruiting the decoy receptor IL-1R8 (SIGIRR), thereby inhibiting NF-κB and mTOR signaling pathways. This mechanism helps attenuate both innate and adaptive immune activation, making IL-37 a key player in maintaining immune homeostasis.
IL-37-specific antibodies are essential tools for studying its expression, localization, and function in disease contexts. Monoclonal and polyclonal antibodies against IL-37 are widely used in techniques like ELISA, Western blot, immunohistochemistry (IHC), and flow cytometry to quantify protein levels or track cellular sources. Research using these antibodies has linked IL-37 to protective roles in inflammatory diseases (e.g., rheumatoid arthritis, inflammatory bowel disease), sepsis, and cancer. Therapeutic potential is being explored, including recombinant IL-37 administration or antibody-mediated neutralization of its inhibitors. However, challenges remain in optimizing antibody specificity, stability, and clinical applicability. Current studies focus on validating IL-37 as a biomarker or therapeutic target, leveraging antibodies to unravel its complex regulatory networks in health and disease.
×