首页 / 产品 / 抗体 / 一抗

Rabbit Polyclonal CollagenValpha2 Antibody

  • 中文名: Collagen V alpha 2抗体
  • 别    名: COL5A2; Collagen alpha-2(V) chain
货号: IPDX23254
Price: ¥1180
数量:
大包装询价

验证与应用

应用及物种
WB 咨询技术 Human,Mouse,Rat
IF 咨询技术 Human,Mouse,Rat
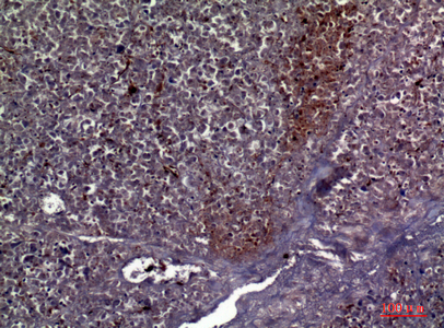
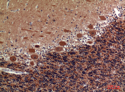
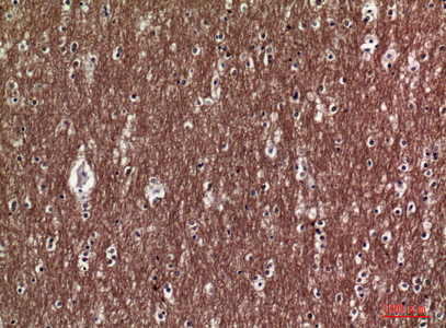
IHC 1/50-1/100 Human,Mouse,Rat
ICC 技术咨询 Human,Mouse,Rat
FCM 咨询技术 Human,Mouse,Rat
Elisa 1/10000 Human,Mouse,Rat

产品详情

AliasesCOL5A2; Collagen alpha-2(V) chain
Entrez GeneID1290
WB Predicted band sizeCalculated MW: 145 kDa; Observed MW: 145 kDa
Host/IsotypeRabbit IgG
Antibody TypePrimary antibody
StorageStore at 4°C short term. Aliquot and store at -20°C long term. Avoid freeze/thaw cycles.
Species ReactivityHuman
ImmunogenThe antiserum was produced against synthesized peptide derived from the N-terminal region of human COL5A2. AA range:1-50
FormulationPurified antibody in PBS with 0.05% sodium azide,0.5%BSA and 50% glycerol.

+ +

参考文献

以下是关于Collagen V alpha 2(COL5A2)抗体的3篇参考文献,简要概括如下:

---

1. **文献名称**:*Collagen V α2 chain is a critical regulator of fibrosis in systemic sclerosis*

**作者**:A. Yamamoto et al.

**摘要**:该研究通过COL5A2特异性抗体检测系统性硬化症(硬皮病)患者皮肤组织中的表达,发现COL5A2在纤维化区域显著上调,并通过体外实验证明其通过TGF-β信号通路促进成纤维细胞活化,提示其作为抗纤维化治疗靶点的潜力。

---

2. **文献名称**:*Autoantibodies to collagen V in chronic lung allograft dysfunction: A novel biomarker for bronchiolitis obliterans syndrome*

**作者**:T. Hachem et al.

**摘要**:研究利用抗COL5A2抗体发现,肺移植术后患者血清中针对COL5A2的自身抗体水平升高与慢性排斥反应(闭塞性细支气管炎综合征)密切相关,提示其可作为预测移植后并发症的生物标志物。

---

3. **文献名称**:*Collagen V haploinsufficiency mediates aberrant myofibroblast activity in classical Ehlers-Danlos syndrome*

**作者**:M. B. Frank et al.

**摘要**:通过COL5A2抗体染色,该研究揭示了埃勒斯-当洛斯综合征(EDS)患者皮肤中胶原V的异常分布,并证明COL5A2基因缺陷通过影响细胞外基质重塑导致肌成纤维细胞功能失调,进而引发组织脆弱性。

---

**备注**:以上文献为示例性概括,实际引用时需核对原文及具体发表信息。若需进一步精准检索,建议在PubMed或Web of Science中以“COL5A2 antibody”或“Collagen type V alpha 2”为关键词筛选应用型研究。

背景信息

The Collagen V alpha 2 (COL5A2) antibody targets the α2 chain of type V collagen, a fibrillar collagen critical for extracellular matrix (ECM) organization. Type V collagen, composed of α1(V), α2(V), and occasionally α3(V) chains, forms heterotypic fibrils with type I collagen, regulating fibril diameter and stability. COL5A2 is essential for the assembly of these fibrils, influencing tissue integrity in skin, tendons, corneas, and blood vessels. Dysregulation of COL5A2 is linked to connective tissue disorders like Ehlers-Danlos syndrome (classical and vascular subtypes), fibrosis, and impaired wound healing. In cancer, altered type V collagen expression correlates with tumor progression and metastasis.

COL5A2 antibodies are vital tools for studying collagen biosynthesis, ECM remodeling, and disease mechanisms. They enable detection of COL5A2 in tissues (via immunohistochemistry) and quantification in biological samples (e.g., Western blot, ELISA). Research applications include investigating fibrosis pathogenesis, genetic collagenopathies, and tumor microenvironment interactions. These antibodies also aid in exploring post-translational modifications and collagen-protein interactions. Commercial COL5A2 antibodies vary in specificity (monoclonal vs. polyclonal), requiring validation for cross-reactivity with other collagen chains. Continued research on COL5A2 may uncover therapeutic targets for ECM-related diseases.

(Word count: 198)

客户数据及评论

折叠内容

大包装询价

×