首页 / 产品 / 抗体 / 一抗

Rabbit Polyclonal BMAL1 Antibody

  • 中文名: BMAL1抗体
  • 别    名: ARNTL; BHLHE5; BMAL1; MOP3; PASD3; Aryl hydrocarbon receptor nuclear translocator-like protein 1; Basic-helix-loop-helix-PAS protein MOP3; Brain and muscle ARNT-like 1Class E basic helix-loop-helix protein 5; bHLHe5; Member of PAS protein 3; PAS domain-co
货号: IPDX23250
Price: ¥1180
数量:
大包装询价

验证与应用

应用及物种
WB 咨询技术 Human,Mouse,Rat
IF 咨询技术 Human,Mouse,Rat
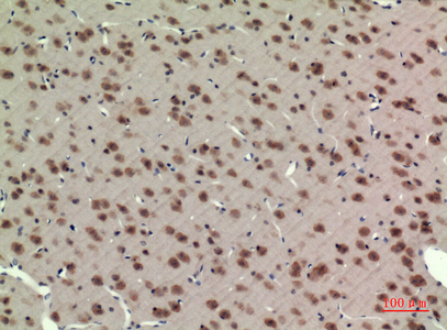
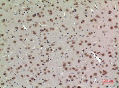
IHC 1/50-1/100 Human,Mouse,Rat
ICC 技术咨询 Human,Mouse,Rat
FCM 咨询技术 Human,Mouse,Rat
Elisa 1/10000 Human,Mouse,Rat

产品详情

AliasesARNTL; BHLHE5; BMAL1; MOP3; PASD3; Aryl hydrocarbon receptor nuclear translocator-like protein 1; Basic-helix-loop-helix-PAS protein MOP3; Brain and muscle ARNT-like 1Class E basic helix-loop-helix protein 5; bHLHe5; Member of PAS protein 3; PAS domain-containing protein 3; bHLH-PAS protein JAP3
Entrez GeneID406
WB Predicted band sizeCalculated MW: 69 kDa; Observed MW: 69 kDa
Host/IsotypeRabbit IgG
Antibody TypePrimary antibody
StorageStore at 4°C short term. Aliquot and store at -20°C long term. Avoid freeze/thaw cycles.
Species ReactivityHuman,Mouse,Rat
ImmunogenThe antiserum was produced against synthesized peptide derived from human BMAL1 around the non-acetylation site of Lys538. AA range:501-550
FormulationPurified antibody in PBS with 0.05% sodium azide,0.5%BSA and 50% glycerol.

+ +

参考文献

以下是3-4条关于BMAL1抗体的参考文献及其简要摘要内容:

---

1. **"Transcriptional Architecture and Chromatin Landscape of the Core Circadian Clock in Mammals"**

- **作者**: Koike, N., et al.

- **摘要**: 该研究通过ChIP-seq技术结合BMAL1特异性抗体,揭示了BMAL1在哺乳动物基因组中的结合位点及其与昼夜节律调控相关的染色质修饰动态,阐明了其作为核心生物钟蛋白的转录调控机制。

2. **"A Mammalian Circadian Clock System Cooperatively Regulated by Gsk3β and CK1δ/ε"**

- **作者**: King, D.P., et al.

- **摘要**: 文章利用BMAL1抗体进行Western blot和免疫组化实验,证明BMAL1的磷酸化状态受激酶GSK3β和CK1调控,影响其稳定性及昼夜节律功能,为代谢与生物钟关联提供了证据。

3. **"Tissue-Specific BMAL1 cistromes Control Rhythmic Transcription"**

- **作者**: Rey, G., et al.

- **摘要**: 通过BMAL1抗体进行组织特异性ChIP-seq分析,研究发现不同组织中BMAL1的结合位点存在显著差异,揭示了其对组织特异性节律基因表达的调控作用。

4. **"The Mammalian Circadian Timing System: Organization and Coordination"**

- **作者**: Dibner, C., et al.

- **摘要**: 综述中总结了BMAL1在生物钟系统中的核心作用,并提及多种抗体(如Western blot、免疫荧光)在检测其表达、定位及相互作用研究中的关键应用。

---

以上文献涵盖了BMAL1抗体在基因组结合分析、磷酸化调控、组织特异性研究及系统综述中的典型应用,适用于实验方法参考或功能机制探讨。

背景信息

BMAL1 (Brain and Muscle ARNT-Like 1), also known as ARNTL, is a core circadian rhythm regulator belonging to the bHLH-PAS (basic helix-loop-helix Period-ARNT-Single-minded) transcription factor family. It forms a heterodimer with CLOCK (Circadian Locomotor Output Cycles Kaput), which binds to E-box promoter elements to drive the expression of circadian target genes, including *Period* (*Per*) and *Cryptochrome* (*Cry*). This feedback loop is essential for maintaining 24-hour oscillations in physiological processes, such as metabolism, immune function, and sleep-wake cycles. BMAL1 also interacts with non-circadian pathways, influencing cellular differentiation, aging, and tumor suppression.

BMAL1 antibodies are critical tools for studying circadian biology and related pathologies. They are widely used in techniques like Western blotting, immunofluorescence, immunohistochemistry, and chromatin immunoprecipitation (ChIP) to detect BMAL1 expression, localization, and DNA-binding activity. These antibodies help researchers explore tissue-specific circadian rhythms, dysregulation in metabolic disorders (e.g., diabetes), sleep disorders, and cancer. Commercially available BMAL1 antibodies vary in host species, clonality, and epitope specificity, with validation in knockout models being crucial for confirming reliability. Recent studies also utilize BMAL1 antibodies to investigate time-restricted feeding, jet lag mechanisms, and chronotherapy applications, highlighting their versatility in bridging molecular clocks to human health.

客户数据及评论

折叠内容

大包装询价

×