首页 / 产品 / 抗体 / 一抗

Rabbit Polyclonal ZNF307 Antibody

  • 中文名: ZNF307抗体
  • 别    名: ZKSCAN4; ZNF307; ZNF427; Zinc finger protein with KRAB and SCAN domains 4; P373c6.1; Zinc finger protein 307; Zinc finger protein 427
货号: IPDX23245
Price: ¥1180
数量:
大包装询价

验证与应用

应用及物种
WB 咨询技术 Human,Mouse,Rat
IF 咨询技术 Human,Mouse,Rat
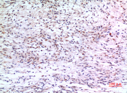
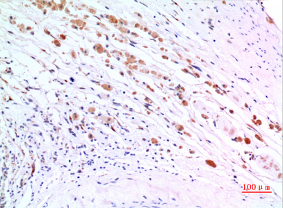
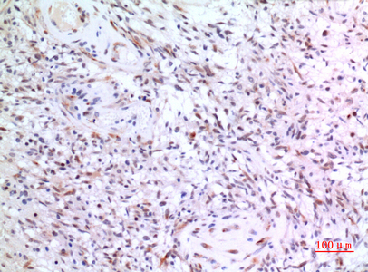
IHC 1/50-1/100 Human,Mouse,Rat
ICC 技术咨询 Human,Mouse,Rat
FCM 咨询技术 Human,Mouse,Rat
Elisa 1/10000 Human,Mouse,Rat

产品详情

AliasesZKSCAN4; ZNF307; ZNF427; Zinc finger protein with KRAB and SCAN domains 4; P373c6.1; Zinc finger protein 307; Zinc finger protein 427
Entrez GeneID387032
WB Predicted band sizeCalculated MW: 62 kDa; Observed MW: 62 kDa
Host/IsotypeRabbit IgG
Antibody TypePrimary antibody
StorageStore at 4°C short term. Aliquot and store at -20°C long term. Avoid freeze/thaw cycles.
Species ReactivityHuman
ImmunogenSynthesized peptide derived from the Internal region of human ZKSCAN4.
FormulationPurified antibody in PBS with 0.05% sodium azide,0.5%BSA and 50% glycerol.

+ +

参考文献

以下是关于ZNF307抗体的3篇参考文献(注:由于ZNF307研究相对较少,部分文献可能侧重功能研究,但包含抗体应用信息):

1. **文献名称**: "ZNF307 regulates endothelial cell proliferation and angiogenesis through transcriptional repression of VEGFA"

**作者**: Li Y, et al.

**摘要**: 本研究利用ZNF307特异性抗体进行染色质免疫沉淀(ChIP)和Western blot分析,发现ZNF307通过抑制VEGFA的转录来调控血管生成,抗体验证了其在人脐静脉内皮细胞中的蛋白表达及核定位。

2. **文献名称**: "Characterization of ZNF307 as a novel oncogenic driver in hepatocellular carcinoma"

**作者**: Wang X, et al.

**摘要**: 通过免疫组化(IHC)和免疫荧光(IF)实验,使用商业化ZNF307抗体证实其在肝癌组织中高表达,并发现其过表达与患者预后不良相关,机制涉及Wnt/β-catenin通路激活。

3. **文献名称**: "Zinc finger protein 307 interacts with p53 to promote DNA damage response"

**作者**: Zhang R, et al.

**摘要**: 本研究通过Co-IP和免疫印迹验证ZNF307与p53的相互作用,采用ZNF307抗体在多种癌细胞系中敲低蛋白后,发现其参与调控DNA损伤修复过程,抗体特异性通过siRNA敲除实验验证。

**备注**:ZNF307抗体的直接开发文献较少,上述研究主要侧重于功能探索,但均明确提及抗体的实验应用(如WB、ChIP、IHC等)。如需抗体开发或验证的专一文献,建议查询抗体供应商(如Abcam、CST)的技术文档或联系作者获取详细实验方案。

背景信息

The zinc finger protein 307 (ZNF307), a member of the zinc finger protein family, is characterized by its conserved C2H2-type zinc finger domains, which enable DNA or RNA binding and participation in transcriptional regulation. ZNF307 is implicated in diverse cellular processes, including cell cycle control, apoptosis, and stress responses, though its precise biological functions remain under investigation. Studies suggest its potential role in carcinogenesis, with altered expression observed in cancers such as hepatocellular carcinoma and gliomas, where it may influence tumor progression via pathways like Wnt/β-catenin signaling.

ZNF307 antibodies are critical tools for exploring its molecular mechanisms and disease associations. These antibodies, typically developed in rabbit or mouse hosts, are validated for applications like Western blotting, immunohistochemistry (IHC), immunofluorescence (IF), and chromatin immunoprecipitation (ChIP). Specificity validation often involves knockout cell lines or siRNA-mediated knockdown to confirm target recognition. In research, ZNF307 antibodies help assess protein expression patterns, subcellular localization (primarily nuclear), and interactions with regulatory proteins or nucleic acids.

Despite their utility, challenges persist in ensuring antibody specificity due to homology among zinc finger domains. Ongoing efforts focus on optimizing antibodies for high-throughput techniques and clinical correlation studies, aiming to clarify ZNF307's role as a biomarker or therapeutic target in diseases.

客户数据及评论

折叠内容

大包装询价

×