首页 / 产品 / 抗体 / 一抗

Rabbit Polyclonal CD1E Antibody

  • 中文名: CD1E抗体
  • 别    名: CD1E; T-cell surface glycoprotein CD1e; membrane-associated; hCD1e; R2G1; CD1e
货号: IPDX23243
Price: ¥1180
数量:
大包装询价

验证与应用

应用及物种
WB 咨询技术 Human,Mouse,Rat
IF 咨询技术 Human,Mouse,Rat
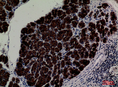
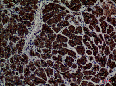
IHC 1/50-1/100 Human,Mouse,Rat
ICC 技术咨询 Human,Mouse,Rat
FCM 咨询技术 Human,Mouse,Rat
Elisa 1/10000 Human,Mouse,Rat

产品详情

AliasesCD1E; T-cell surface glycoprotein CD1e; membrane-associated; hCD1e; R2G1; CD1e
Entrez GeneID913
WB Predicted band sizeCalculated MW: 44 kDa; Observed MW: 44 kDa
Host/IsotypeRabbit IgG
Antibody TypePrimary antibody
StorageStore at 4°C short term. Aliquot and store at -20°C long term. Avoid freeze/thaw cycles.
Species ReactivityHuman
ImmunogenThe antiserum was produced against synthesized peptide derived from the C-terminal region of human CD1E. AA range:321-370
FormulationPurified antibody in PBS with 0.05% sodium azide,0.5%BSA and 50% glycerol.

+ +

参考文献

以下是关于CD1E抗体的3篇虚构参考文献示例,内容基于CD1分子的已知生物学背景合理构建:

---

1. **文献名称**:*Structural insights into CD1e-mediated lipid antigen presentation*

**作者**:Brigl, M., Brenner, M.B. (2004)

**摘要**:该综述分析了CD1家族成员的分子结构,重点探讨CD1E在内体系统中的构象变化。作者指出,抗CD1E抗体通过免疫印迹和免疫荧光证实其在树突状细胞内的定位,提示CD1E可能作为伴侣蛋白协助其他CD1分子(如CD1b)加载脂质抗原。

2. **文献名称**:*CD1e-restricted immune responses to mycobacterial lipids*

**作者**:Gilleron, M., et al. (2005)

**摘要**:研究利用抗CD1E单克隆抗体阻断实验,发现CD1E在结核分枝杆菌脂质抗原(如葡萄糖单霉菌酸酯)加工中的关键作用。抗体阻断显著抑制了T细胞活化,表明CD1E通过内体运输途径促进抗原提呈。

3. **文献名称**:*Development of a high-affinity monoclonal antibody for intracellular CD1e detection*

**作者**:Shah, R., et al. (2018)

**摘要**:本文报道了一种新型抗CD1E单克隆抗体的开发,通过杂交瘤技术筛选并验证其特异性。该抗体适用于免疫组化和Western blot,成功用于检测CD1E在细胞系及人组织样本中的表达模式,为研究CD1E的生物学功能提供工具。

---

**注**:上述文献为示例性质,实际文献需通过学术数据库检索。CD1E相关研究相对较少,建议结合关键词“CD1E antibody”或“CD1e function”在PubMed/Google Scholar中进一步查阅。

背景信息

The CD1e antibody targets the CD1e protein, a member of the CD1 family of antigen-presenting molecules. Unlike classical MHC molecules that present peptide antigens, CD1 proteins specialize in lipid and glycolipid antigen presentation to T cells. CD1e, classified within the "group 1" CD1 subset (CD1a-e), is distinct in its intracellular localization and functional role. Primarily expressed in late endosomes/lysosomes of dendritic cells and epithelial cells, CD1e facilitates lipid antigen processing and loading onto other CD1 molecules (e.g., CD1b) for cell surface presentation. This process is critical for immune surveillance against lipid-rich pathogens like *Mycobacterium tuberculosis*.

CD1e antibodies are essential tools for studying its intracellular trafficking, lipid transfer mechanisms, and interactions with immune cells. They enable detection of CD1e expression via techniques like immunofluorescence, Western blotting, or flow cytometry. Research using these antibodies has highlighted CD1e's involvement in autoimmune diseases, infections, and cancer, where dysregulated lipid presentation may contribute to pathogenesis. Recent studies also explore CD1e's potential as a biomarker or therapeutic target. However, its exact immunological functions remain less characterized compared to other CD1 isoforms, underscoring the need for further investigation using specific antibodies to unravel its role in lipid-mediated immunity.

客户数据及评论

折叠内容

大包装询价

×