首页 / 产品 / 抗体 / 一抗

Rabbit Polyclonal Apelin Antibody

  • 中文名: Apelin抗体
  • 别    名: APLN; APEL; Apelin; APJ endogenous ligand
货号: IPDX23242
Price: ¥1180
数量:
大包装询价

验证与应用

应用及物种
WB 咨询技术 Human,Mouse,Rat
IF 咨询技术 Human,Mouse,Rat
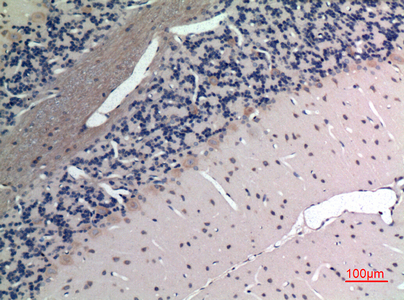
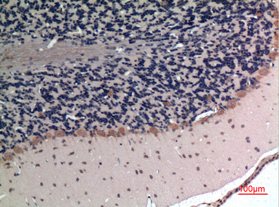
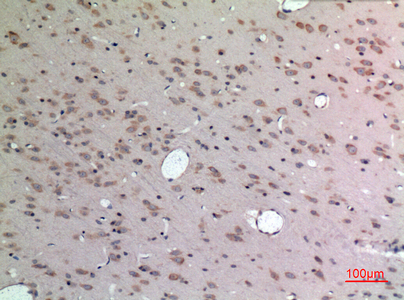
IHC 1/50-1/100 Human,Mouse,Rat
ICC 技术咨询 Human,Mouse,Rat
FCM 咨询技术 Human,Mouse,Rat
Elisa 1/10000 Human,Mouse,Rat

产品详情

AliasesAPLN; APEL; Apelin; APJ endogenous ligand
Entrez GeneID8862
Host/IsotypeRabbit IgG
Antibody TypePrimary antibody
StorageStore at 4°C short term. Aliquot and store at -20°C long term. Avoid freeze/thaw cycles.
Species ReactivityHuman,Mouse,Rat
ImmunogenThe antiserum was produced against synthesized peptide derived from the C-terminal region of human APLN. AA range:28-77
FormulationPurified antibody in PBS with 0.05% sodium azide,0.5%BSA and 50% glycerol.

+ +

参考文献

以下是关于Apelin抗体的3篇参考文献及其摘要概括:

---

1. **文献名称**:*"Apelin, the natural ligand of the orphan receptor APJ, regulates cardiac contractility"*

**作者**:Ashley, E.A. 等

**摘要**:该研究探讨了Apelin通过其受体APJ在心脏功能中的作用,利用特异性抗体阻断Apelin信号后发现其可调节心肌收缩力,提示Apelin系统作为心力衰竭治疗的潜在靶点。

---

2. **文献名称**:*"Immunohistochemical localization of apelin in human normal and cancerous tissues"*

**作者**:Hussain, M.A. 等

**摘要**:研究者开发了一种高特异性Apelin多克隆抗体,用于检测正常组织与肿瘤组织中Apelin的分布。结果显示Apelin在多种癌症中异常表达,可能参与肿瘤血管生成和进展。

---

3. **文献名称**:*"Development and validation of a sensitive ELISA for apelin-13 in human plasma"*

**作者**:Lee, D.K. 等

**摘要**:该文献描述了一种基于Apelin抗体的高灵敏度ELISA检测方法,用于定量人血浆中的Apelin-13水平。抗体特异性经Western blot验证,为临床研究Apelin在代谢疾病中的作用提供了可靠工具。

---

这些文献涵盖了Apelin抗体在机制研究、病理检测及临床应用中的关键作用。如需扩展,可进一步检索近年研究(如靶向Apelin的抗体药物开发)。

背景信息

Apelin antibodies are essential tools for investigating the Apelin-APJ system, a peptide-receptor signaling pathway implicated in cardiovascular regulation, metabolism, and disease. Apelin, a endogenous peptide hormone, binds to the G protein-coupled receptor APJ, modulating processes such as vasodilation, angiogenesis, and fluid homeostasis. Research on Apelin has surged due to its potential roles in hypertension, heart failure, diabetes, and cancer, making specific antibodies critical for detecting its expression, localization, and quantification in tissues or biofluids.

These antibodies are typically developed against synthetic Apelin peptide fragments or recombinant proteins, with applications in techniques like Western blotting, immunohistochemistry (IHC), and ELISA. Polyclonal antibodies offer broad epitope recognition, while monoclonal antibodies provide high specificity. Validation is crucial to ensure minimal cross-reactivity with related peptides (e.g., Apela) or isoforms (Apelin-13. -36). Challenges include distinguishing between active and inactive Apelin forms and addressing tissue-specific post-translational modifications.

Recent studies highlight Apelin's therapeutic potential, driving demand for reliable antibodies to explore its dual role as a biomarker and drug target. However, variability in antibody performance across species or experimental conditions necessitates rigorous validation. Ongoing research aims to refine antibody specificity to support translational studies, including the development of Apelin-based agonist/antagonist therapies for cardiovascular and metabolic disorders.

客户数据及评论

折叠内容

大包装询价

×