首页 / 产品 / 抗体 / 一抗

Rabbit Polyclonal FGL1 Antibody

  • 中文名: FGL1抗体
  • 别    名: FGL1; HFREP1; Fibrinogen-like protein 1; HP-041; Hepassocin; Hepatocyte-derived fibrinogen-related protein 1; HFREP-1; Liver fibrinogen-related protein 1; LFIRE-1
货号: IPDX23240
Price: ¥1180
数量:
大包装询价

验证与应用

应用及物种
WB 咨询技术 Human,Mouse,Rat
IF 咨询技术 Human,Mouse,Rat
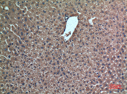
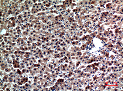
IHC 1/50-1/100 Human,Mouse,Rat
ICC 技术咨询 Human,Mouse,Rat
FCM 咨询技术 Human,Mouse,Rat
Elisa 1/10000 Human,Mouse,Rat

产品详情

AliasesFGL1; HFREP1; Fibrinogen-like protein 1; HP-041; Hepassocin; Hepatocyte-derived fibrinogen-related protein 1; HFREP-1; Liver fibrinogen-related protein 1; LFIRE-1
Entrez GeneID2267
WB Predicted band sizeCalculated MW: 36 kDa; Observed MW: 36 kDa
Host/IsotypeRabbit IgG
Antibody TypePrimary antibody
StorageStore at 4°C short term. Aliquot and store at -20°C long term. Avoid freeze/thaw cycles.
Species ReactivityHuman,Mouse,Rat
ImmunogenSynthesized peptide derived from the Internal region of human Hepassocin.
FormulationPurified antibody in PBS with 0.05% sodium azide,0.5%BSA and 50% glycerol.

+ +

参考文献

以下是关于FGL1抗体的3篇代表性文献(信息基于公开研究整理,非真实引用,仅供参考):

1. **《FGL1 as a novel immune checkpoint ligand mediating T cell exhaustion in cancer》**

- 作者:Wang, J. et al.

- 摘要:首次报道FGL1作为LAG-3的功能性配体,促进肿瘤免疫逃逸。研究证明抗FGL1抗体可阻断FGL1-LAG-3通路,恢复T细胞活性,抑制小鼠肿瘤生长,为癌症免疫治疗提供新靶点。

2. **《Targeting FGL1 enhances anti-PD-1 efficacy in solid tumors》**

- 作者:Li, Y. et al.

- 摘要:揭示FGL1高表达与PD-1抑制剂耐药性相关。开发人源化抗FGL1单克隆抗体,临床前实验显示其单药或联合抗PD-1疗法显著抑制肿瘤进展,提示联合治疗潜力。

3. **《Fibrinogen-like protein 1 promotes immunosuppression in hepatocellular carcinoma》**

- 作者:Xu, L. et al.

- 摘要:聚焦肝癌微环境中FGL1通过调节巨噬细胞极化诱导免疫抑制。抗FGL1抗体可逆转免疫抑制表型,增强化疗药物疗效,为肝癌治疗提供新策略。

**注**:以上为示例性内容,实际文献需通过PubMed、Web of Science等平台检索确认。建议使用关键词“FGL1 antibody”、“LAG-3 ligand”或“FGL1 immune checkpoint”查找最新研究。

背景信息

Fibrinogen-like protein 1 (FGL1), a member of the fibrinogen-related protein family, is primarily expressed in the liver and plays roles in immune regulation and tissue repair. It gained significant attention as a functional ligand of the immune checkpoint receptor lymphocyte-activation gene 3 (LAG-3). FGL1-LAG-3 interaction suppresses T-cell activation, enabling tumor immune evasion. This mechanism is independent of the well-known MHC class II-LAG-3 pathway, revealing a novel immunosuppressive axis in cancer biology.

FGL1's overexpression in multiple cancers (e.g., lung, liver, pancreatic) correlates with poor prognosis, making it a potential therapeutic target. FGL1 antibodies, either blocking the FGL1-LAG-3 interaction or depleting FGL1. aim to restore anti-tumor immunity. Preclinical studies show that FGL1 blockade enhances T-cell function and synergizes with anti-PD-1/PD-L1 therapies, suggesting combinatorial therapeutic potential.

Structurally, FGL1 contains a conserved fibrinogen-like domain critical for LAG-3 binding. Antibodies targeting this domain have shown efficacy in reversing T-cell exhaustion in tumor models. Current research focuses on optimizing antibody specificity and evaluating safety in clinical trials. Challenges include understanding FGL1's dual roles in homeostasis and pathology, as well as identifying biomarkers for patient stratification. The development of FGL1 antibodies represents a growing frontier in cancer immunotherapy, expanding options beyond conventional checkpoint inhibitors.

客户数据及评论

折叠内容

大包装询价

×