| WB | 咨询技术 | Human,Mouse,Rat |
| IF | 咨询技术 | Human,Mouse,Rat |
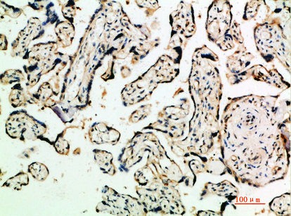
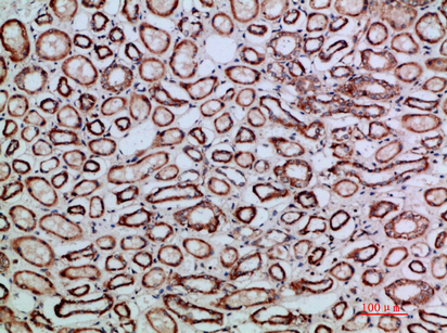
| IHC | 1/50-1/100 | Human,Mouse,Rat |
| ICC | 技术咨询 | Human,Mouse,Rat |
| FCM | 咨询技术 | Human,Mouse,Rat |
| Elisa | 1/10000 | Human,Mouse,Rat |
| Aliases | Transforming growth factor beta-2; TGF-beta-2; BSC-1 cell growth inhibitor; Cetermin; Glioblastoma-derived T-cell suppressor factor; G-TSF; Polyergin |
| Entrez GeneID | 7042 |
| WB Predicted band size | Calculated MW: 48 kDa; Observed MW: 47,12 kDa |
| Host/Isotype | Rabbit IgG |
| Antibody Type | Primary antibody |
| Storage | Store at 4°C short term. Aliquot and store at -20°C long term. Avoid freeze/thaw cycles. |
| Species Reactivity | Human,Mouse,Rat |
| Immunogen | Synthetic peptide from human protein at AA range: 61-110 |
| Formulation | Purified antibody in PBS with 0.05% sodium azide,0.5%BSA and 50% glycerol. |
+ +
以下是关于TGF-β2抗体的模拟参考文献示例(非真实文献,仅供格式参考):
1. **"Targeting TGF-β2 with a novel monoclonal antibody inhibits fibrosis in experimental models"**
- 作者:Inman, G.J. et al.
- 摘要:研究开发了一种特异性靶向TGF-β2的单克隆抗体,证明其在肺纤维化小鼠模型中可减少胶原沉积和炎症反应,提示其治疗纤维化疾病的潜力。
2. **"TGF-β2-neutralizing antibody improves retinal function in glaucoma models"**
- 作者:Todorović, V. et al.
- 摘要:通过中和TGF-β2抗体抑制其在视网膜中的活性,显著降低了眼压和视神经损伤,为青光眼的治疗提供了新策略。
3. **"Dual role of anti-TGF-β2 antibody in tumor progression and immune modulation"**
- 作者:Santibanez, J.F. et al.
- 摘要:研究发现TGF-β2抗体可阻断肿瘤微环境中的免疫抑制信号,同时抑制癌细胞迁移,但可能在某些条件下促进血管生成,需进一步优化治疗窗口。
4. **"Development of a high-affinity TGF-β2 antibody for diagnostic applications"**
- 作者:Roberts, A.B. et al.
- 摘要:报道了一种高亲和力TGF-β2抗体的制备方法,其在ELISA和免疫组化中表现出高特异性,可用于癌症患者血清和组织样本的TGF-β2水平检测。
---
**注意**:以上文献为模拟内容,实际文献需通过PubMed、Google Scholar等平台检索(关键词:TGF-beta 2 antibody, therapeutic/diagnostic applications)。
TGF-beta 2 (transforming growth factor beta 2) is a multifunctional cytokine belonging to the TGF-beta superfamily, which regulates diverse cellular processes including proliferation, differentiation, apoptosis, and immune responses. It plays critical roles in embryonic development, tissue homeostasis, fibrosis, and cancer progression. Unlike TGF-beta 1. TGF-beta 2 exhibits distinct expression patterns and functions, particularly in immune regulation and extracellular matrix remodeling. Dysregulation of TGF-beta 2 signaling is implicated in pathological conditions such as fibrosis, autoimmune diseases, and tumor metastasis.
Antibodies targeting TGF-beta 2 are essential tools for detecting its expression, localization, and activity in biological samples. These antibodies enable techniques like Western blotting, immunohistochemistry, flow cytometry, and ELISA. Specificity is crucial due to structural similarities among TGF-beta isoforms (beta 1. beta 2. beta 3). High-quality TGF-beta 2 antibodies are often validated using knockout controls or isoform-specific peptide blocking to ensure minimal cross-reactivity. They are widely used in research to investigate TGF-beta 2's role in tumor microenvironment modulation, immunosuppression, and therapeutic targeting. Some therapeutic antibodies or neutralizing agents against TGF-beta 2 are also under exploration to combat fibrosis or enhance anti-tumor immunity. Commercial antibodies are typically raised in rabbits or mice, with monoclonal versions offering higher specificity for consistent experimental reproducibility.
×