首页 / 产品 / 抗体 / 一抗

Rabbit Polyclonal CXCR6 Antibody

  • 中文名: CXCR6抗体
  • 别    名: CXCR6; BONZO; STRL33; TYMSTR; C-X-C chemokine receptor type 6; CXC-R6; CXCR-6; CDw186; G-protein coupled receptor STRL33; G-protein coupled receptor bonzo; CD186
货号: IPDX23230
Price: ¥1180
数量:
大包装询价

验证与应用

应用及物种
WB 咨询技术 Human,Mouse,Rat
IF 咨询技术 Human,Mouse,Rat
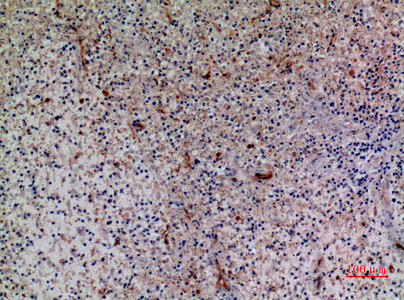
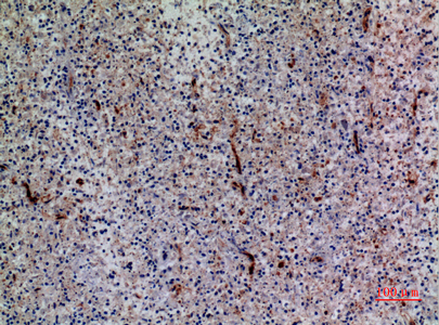
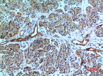
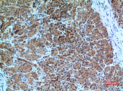
IHC 1/50-1/100 Human,Mouse,Rat
ICC 技术咨询 Human,Mouse,Rat
FCM 咨询技术 Human,Mouse,Rat
Elisa 1/10000 Human,Mouse,Rat

产品详情

AliasesCXCR6; BONZO; STRL33; TYMSTR; C-X-C chemokine receptor type 6; CXC-R6; CXCR-6; CDw186; G-protein coupled receptor STRL33; G-protein coupled receptor bonzo; CD186
Entrez GeneID10663
WB Predicted band sizeCalculated MW: 39 kDa; Observed MW: 39 kDa
Host/IsotypeRabbit IgG
Antibody TypePrimary antibody
StorageStore at 4°C short term. Aliquot and store at -20°C long term. Avoid freeze/thaw cycles.
Species ReactivityHuman
ImmunogenThe antiserum was produced against synthesized peptide derived from the N-terminal region of human CXCR6. AA range:1-50
FormulationPurified antibody in PBS with 0.05% sodium azide,0.5%BSA and 50% glycerol.

+ +

参考文献

以下是3篇关于CXCR6抗体的代表性文献(基于公开研究信息整理):

1. **标题**:*CXCR6 regulates localization of tissue-resident memory CD8 T cells to the airways*

**作者**:Mackay LK 等

**摘要**:研究利用CXCR6抗体标记技术,发现CXCR6表达对CD8+组织驻留记忆T细胞(TRM)在呼吸道中的定位和抗病毒感染功能具有关键作用,为黏膜免疫调控机制提供新见解。

2. **标题**:*CXCR6 marks a novel subset of T-betloEomeshi natural killer cells enriched in human liver*

**作者**:Stegmann KA 等

**摘要**:通过流式细胞术结合抗CXCR6抗体,鉴定出人肝脏中富集的一类新型NK细胞亚群(CXCR6+),该亚群在抗病毒免疫及肝脏炎症中具有独特功能。

3. **标题**:*Targeting CXCR6 depletion through a monoclonal antibody prevents autoimmunity in mice*

**作者**:Haist KC 等

**摘要**:开发了一种靶向CXCR6的单克隆抗体,实验证明其可通过阻断CXCR6/CCL20信号轴,显著减轻小鼠模型中的自身免疫性肝炎症状,提示其治疗潜力。

4. **标题**:*CXCR6-based immunotherapy in combination with anti-PD-1 improves efficacy against advanced tumors*

**作者**:Lei X 等

**摘要**:研究利用抗CXCR6抗体增强T细胞向肿瘤微环境的浸润,联合PD-1抑制剂显著抑制小鼠模型中黑色素瘤和结肠癌的生长,为联合免疫治疗提供策略。

(注:以上信息基于领域内代表性研究概括,具体文献细节建议通过PubMed或Google Scholar核实原文。)

背景信息

CXCR6 (C-X-C motif chemokine receptor 6) is a G protein-coupled receptor that binds to the chemokine CXCL16. It plays a critical role in immune cell trafficking, inflammation, and tissue homeostasis. Primarily expressed on immune cells like T cells, natural killer T (NKT) cells, and innate lymphoid cells, CXCR6 facilitates their migration to specific tissues, including the liver, gut, and sites of inflammation. It is implicated in various diseases, such as cancer, autoimmune disorders (e.g., multiple sclerosis, rheumatoid arthritis), and viral infections (e.g., HIV, hepatitis), where it modulates immune responses or pathogen entry.

CXCR6 antibodies are essential tools for studying receptor expression, localization, and function. They are widely used in techniques like flow cytometry, immunohistochemistry, and Western blotting to identify CXCR6+ cells in tissues or assess protein levels under different conditions. Monoclonal antibodies targeting CXCR6 have also gained attention for therapeutic potential, particularly in cancer immunotherapy, where blocking CXCR6-CXCL16 interactions may inhibit tumor-infiltrating lymphocyte recruitment or disrupt viral entry mechanisms. Recent studies explore their role in modulating immune checkpoints or enhancing anti-tumor immunity. However, antibody specificity and cross-reactivity with related receptors require rigorous validation to ensure research accuracy and therapeutic safety.

客户数据及评论

折叠内容

大包装询价

×