首页 / 产品 / 抗体 / 一抗

Rabbit Polyclonal p21 Antibody

  • 中文名: p21抗体
  • 别    名: CDKN1A; CAP20; CDKN1; CIP1; MDA6; PIC1; SDI1; WAF1; Cyclin-dependent kinase inhibitor 1; CDK-interacting protein 1; Melanoma differentiation-associated protein 6; MDA-6; p21
货号: IPDX23221
Price: ¥1280
数量:
大包装询价

验证与应用

应用及物种
WB 1/500-1/1000 Human,Mouse,Rat
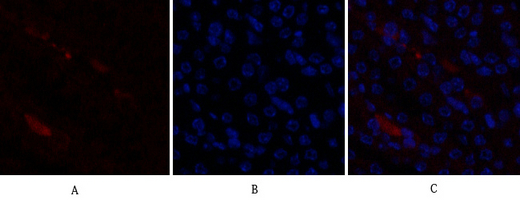
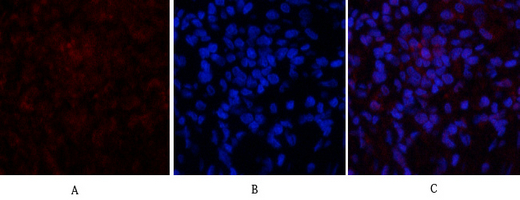
IF 1/50-1/200 Human,Mouse,Rat
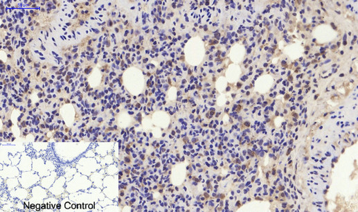
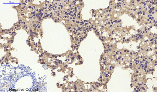
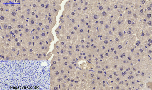
IHC 1/50-1/100 Human,Mouse,Rat
ICC 1/50-1/200 Human,Mouse,Rat
FCM 咨询技术 Human,Mouse,Rat
Elisa 1/10000 Human,Mouse,Rat

产品详情

AliasesCDKN1A; CAP20; CDKN1; CIP1; MDA6; PIC1; SDI1; WAF1; Cyclin-dependent kinase inhibitor 1; CDK-interacting protein 1; Melanoma differentiation-associated protein 6; MDA-6; p21
Entrez GeneID1026
WB Predicted band sizeCalculated MW: 18 kDa; Observed MW: 26 kDa
Host/IsotypeRabbit IgG
Antibody TypePrimary antibody
StorageStore at 4°C short term. Aliquot and store at -20°C long term. Avoid freeze/thaw cycles.
Species ReactivityHuman,Mouse,Rat
ImmunogenThe antiserum was produced against synthesized peptide derived from human p21 Cip1. AA range:111-160
FormulationPurified antibody in PBS with 0.05% sodium azide,0.5%BSA and 50% glycerol.

+ +

参考文献

以下是关于p21抗体的3篇参考文献示例(信息基于公开研究整理,非实时数据库查询结果):

1. **文献名称**: "The p21 Cdk-interacting protein Cip1 is a potent inhibitor of G1 cyclin-dependent kinases"

**作者**: Harper, J.W. 等

**摘要**: 该研究首次阐明了p21蛋白通过抑制G1期细胞周期蛋白依赖性激酶(CDK)调控细胞周期进程的机制,并验证了特异性抗体在检测p21与CDK复合物相互作用中的应用。

2. **文献名称**: "Clinical significance of p21 expression in colorectal cancer"

**作者**: El-Deiry, W.S. 等

**摘要**: 研究利用p21抗体对结直肠癌组织进行免疫组化分析,发现p21低表达与肿瘤进展和不良预后显著相关,提示其作为潜在生物标志物的临床价值。

3. **文献名称**: "p21 in cancer: a double-edged sword"

**作者**: Gartel, A.L.

**摘要**: 综述性文献总结了p21在癌症中促增殖和抑癌的双重作用,强调了不同实验条件下p21抗体检测结果解读的复杂性及其在肿瘤微环境中的动态调控。

4. **文献名称**: "Cell cycle analysis using p21 staining in synchronized cells"

**作者**: Coqueret, O.

**摘要**: 该技术论文详细描述了利用p21特异性抗体结合流式细胞术检测细胞周期同步化过程中p21蛋白表达的实验方案,为相关研究提供方法学参考。

(注:以上内容为示例性概括,具体文献需通过PubMed/Google Scholar等平台验证)

背景信息

The p21 antibody is a crucial tool in studying the p21 protein (also known as CDKN1A or Cip1), a cyclin-dependent kinase inhibitor that regulates cell cycle progression. p21 belongs to the CIP/KIP family and acts by binding to cyclin-CDK complexes, inhibiting their activity and inducing cell cycle arrest at the G1/S phase. This protein is transcriptionally activated by the tumor suppressor p53 in response to DNA damage, oxidative stress, or other cellular stresses, playing a pivotal role in DNA repair, senescence, and apoptosis. Dysregulation of p21 is linked to cancer development, neurodegenerative diseases, and aging.

Antibodies targeting p21 are widely used in biomedical research to detect its expression and localization via techniques like Western blotting, immunohistochemistry (IHC), and immunofluorescence (IF). They help elucidate p21's role in cell cycle control, therapeutic resistance, and its interplay with signaling pathways (e.g., p53. TGF-β). Researchers also utilize these antibodies to study tissue-specific p21 expression in cancers, where its levels may correlate with prognosis or treatment response. However, experimental variability—such as sample preparation, antibody specificity (cross-reactivity with other CDK inhibitors), and post-translational modifications of p21—requires careful validation. Commercial p21 antibodies are typically raised against epitopes in humans, mice, or rats, with applications spanning basic research to clinical biomarker analysis.

客户数据及评论

折叠内容

大包装询价

×