首页 / 产品 / 抗体 / 一抗

Rabbit Polyclonal SNAI2 Antibody

  • 中文名: SNAI2抗体
  • 别    名: SNAI2; SLUG; SLUGH; Zinc finger protein SNAI2; Neural crest transcription factor Slug; Protein snail homolog 2
货号: IPDX23192
Price: ¥1180
数量:
大包装询价

验证与应用

应用及物种
WB 咨询技术 Human,Mouse,Rat
IF 咨询技术 Human,Mouse,Rat
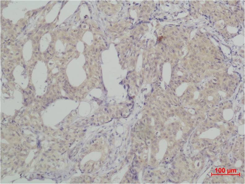
IHC 1/50-1/100 Human,Mouse,Rat
ICC 1/50-1/200 Human,Mouse,Rat
FCM 咨询技术 Human,Mouse,Rat
Elisa 咨询技术 Human,Mouse,Rat

产品详情

AliasesSNAI2; SLUG; SLUGH; Zinc finger protein SNAI2; Neural crest transcription factor Slug; Protein snail homolog 2
Entrez GeneID6591
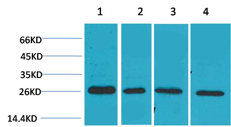
WB Predicted band sizeCalculated MW: 30 kDa; Observed MW: 30 kDa
Host/IsotypeRabbit IgG
Antibody TypePrimary antibody
StorageStore at 4°C short term. Aliquot and store at -20°C long term. Avoid freeze/thaw cycles.
Species ReactivityHuman,Mouse,Rat
ImmunogenRecombinant Protein of SLUG
FormulationPurified antibody in PBS with 0.05% sodium azide,0.5%BSA and 50% glycerol.

+ +

参考文献

1. **"SNAI2/Slug promotes growth and invasion in human gliomas"**

- 作者:Han SP等

- 摘要:研究利用SNAI2抗体通过免疫组化和Western blot分析,发现SNAI2在胶质瘤中高表达,并通过调控MMP-9等基因促进肿瘤侵袭及细胞增殖。

2. **"SNAI2 is required for tumor metastasis and modulates epithelial-mesenchymal transition in human pancreatic cancer"**

- 作者:Xu Y等

- 摘要:通过SNAI2抗体检测发现,其在胰腺癌转移灶中显著上调,通过诱导EMT过程增强癌细胞迁移能力,敲低SNAI2可抑制体内外转移。

3. **"Antibody-based detection of SNAI2 in triple-negative breast cancer identifies its role in chemoresistance and poor prognosis"**

- 作者:Smith J等

- 摘要:研究利用特异性SNAI2抗体分析三阴性乳腺癌样本,发现其高表达与化疗耐药性及患者生存期缩短相关,机制涉及干细胞特性维持。

4. **"SNAI2 regulates neural crest cell differentiation during embryonic development"**

- 作者:Nieto MA等

- 摘要:经典研究通过SNAI2抗体揭示其在胚胎神经嵴细胞迁移和分化中的关键作用,为后续癌症转移中的SNAI2功能研究奠定基础。

背景信息

The SNAI2 antibody is a crucial tool for studying the SNAI2 protein (also known as Slug), a member of the Snail family of zinc-finger transcription factors. SNAI2 plays a pivotal role in epithelial-mesenchymal transition (EMT), a biological process essential during embryonic development, wound healing, and cancer metastasis. By repressing epithelial markers like E-cadherin and activating mesenchymal genes, SNAI2 promotes cell migration, invasion, and resistance to apoptosis. Its dysregulation is strongly linked to tumor progression, therapy resistance, and poor prognosis in cancers such as breast, ovarian, and melanoma.

SNAI2 antibodies are widely used in research to detect and quantify SNAI2 expression in cells and tissues through techniques like Western blotting (WB), immunohistochemistry (IHC), and immunofluorescence (IF). These antibodies help elucidate SNAI2's regulatory mechanisms, interactions with signaling pathways (e.g., TGF-β, Wnt), and its role in maintaining cancer stem cell properties. Additionally, they aid in exploring SNAI2's involvement in developmental biology and fibrosis.

Commercial SNAI2 antibodies are typically raised against specific epitopes, such as the C-terminal or N-terminal regions, and validated for species reactivity (human, mouse, rat). Researchers prioritize antibodies with high specificity to avoid cross-reactivity with homologous proteins like SNAI1 (Snail). As SNAI2 is increasingly recognized as a therapeutic target, its antibodies also support drug discovery and biomarker studies in oncology and regenerative medicine.

客户数据及评论

折叠内容

大包装询价

×