首页 / 产品 / 抗体 / 一抗

Rabbit Polyclonal AnteriorGradient2 Antibody

  • 中文名: Anterior Gradient 2抗体
  • 别    名: Anterior gradient protein 2 homolog; AG-2; hAG-2; HPC8; Secreted cement gland protein XAG-2 homolog; AGR2; AG2; GOB4; XAG2
货号: IPDX22846
Price: ¥1180
数量:
大包装询价

验证与应用

应用及物种
WB 1/500-1/1000 Human,Mouse,Rat
IF 1/20 Human,Mouse,Rat
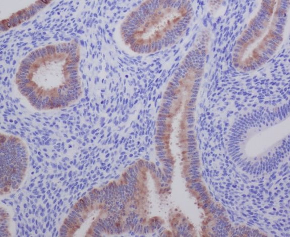
IHC 1/50-1/100 Human,Mouse,Rat
ICC 1/50-1/200 Human,Mouse,Rat
FCM 1/50-1/100 Human,Mouse,Rat
Elisa 咨询技术 Human,Mouse,Rat

产品详情

AliasesAnterior gradient protein 2 homolog; AG-2; hAG-2; HPC8; Secreted cement gland protein XAG-2 homolog; AGR2; AG2; GOB4; XAG2
Entrez GeneID10551
WB Predicted band sizeCalculated MW: 20 kDa; Observed MW: 17 kDa
Host/IsotypeRabbit IgG
Antibody TypePrimary antibody
StorageStore at 4°C short term. Aliquot and store at -20°C long term. Avoid freeze/thaw cycles.
Species ReactivityHuman
ImmunogenA synthesized peptide derived from human AGR2
FormulationPurified antibody in PBS with 0.05% sodium azide.

+ +

参考文献

以下是关于Anterior Gradient 2(AGR2)抗体的3篇文献摘要概览:

1. **文献名称**:*AGR2 Oncoprotein and Its Interacting Partners in Tumorigenesis*

**作者**:Park K. et al.

**摘要**:研究揭示了AGR2蛋白在乳腺癌中的促癌作用,并开发了一种特异性单克隆抗体用于检测肿瘤组织中AGR2的表达水平,证实其与患者预后不良相关。

2. **文献名称**:*AGR2 as a Diagnostic Biomarker in Pancreatic Cancer: A Monoclonal Antibody-Based Approach*

**作者**:Fletcher G.C. et al.

**摘要**:通过制备抗AGR2的单克隆抗体,验证其在胰腺癌患者血清和组织中的高特异性表达,提出AGR2抗体可作为早期诊断的生物标志物。

3. **文献名称**:*Development of a Novel Anti-AGR2 Antibody for Circulating Tumor Cell Detection*

**作者**:Dobson L. et al.

**摘要**:研究报道了一种新型抗AGR2抗体的开发,该抗体能高效识别血液中的循环肿瘤细胞(CTCs),为癌症转移监测提供了潜在工具。

如需具体文献来源,建议通过PubMed或Google Scholar搜索作者和关键词获取全文信息。

背景信息

The Anterior Gradient 2 (AGR2) protein, a member of the protein disulfide isomerase (PDI) family, plays critical roles in cellular processes such as mucosal secretion, tissue regeneration, and endoplasmic reticulum (ER) stress response. It is highly expressed in epithelial cells and functions as a disulfide isomerase, facilitating proper protein folding and post-translational modifications. AGR2 has garnered significant attention in cancer research due to its overexpression in numerous epithelial-derived tumors, including breast, colorectal, prostate, and lung cancers. Its dysregulation is linked to tumor progression, metastasis, and chemotherapy resistance, making it a potential biomarker and therapeutic target.

AGR2 antibodies are essential tools for studying its biological functions and clinical relevance. They enable the detection of AGR2 expression in tissues or biofluids via techniques like immunohistochemistry, Western blotting, or ELISA. In research, these antibodies help elucidate AGR2's role in modulating signaling pathways (e.g., EGFR, Wnt) and its interaction with tumor microenvironment components. Clinically, AGR2 antibodies are explored for diagnostic applications, as elevated AGR2 levels correlate with poor prognosis in certain cancers. Therapeutic strategies, such as monoclonal antibodies or antibody-drug conjugates targeting AGR2. are under preclinical investigation to inhibit its oncogenic activity. However, challenges remain in ensuring antibody specificity and translating findings into clinical use.

客户数据及评论

折叠内容

大包装询价

×