首页 / 产品 / 抗体 / 一抗

Rabbit Polyclonal Thrombomodulin Antibody

  • 中文名: Thrombomodulin抗体
  • 别    名: CD141; Fetomodulin; THBD; THRM; thrombomodulin; TM
货号: IPDX22769
Price: ¥1180
数量:
大包装询价

验证与应用

应用及物种
WB 1/500-1/1000 Human,Mouse,Rat
IF 1/20 Human,Mouse,Rat
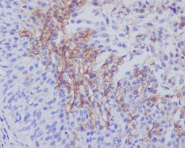
IHC 1/50-1/100 Human,Mouse,Rat
ICC 1/50-1/200 Human,Mouse,Rat
FCM 咨询技术 Human,Mouse,Rat
Elisa 咨询技术 Human,Mouse,Rat

产品详情

AliasesCD141; Fetomodulin; THBD; THRM; thrombomodulin; TM
Entrez GeneID7056
WB Predicted band sizeCalculated MW: 60 kDa; Observed MW: 60 kDa
Host/IsotypeRabbit IgG
Antibody TypePrimary antibody
StorageStore at 4°C short term. Aliquot and store at -20°C long term. Avoid freeze/thaw cycles.
Species ReactivityHuman
ImmunogenA synthesized peptide derived from human Thrombomodulin
FormulationPurified antibody in PBS with 0.05% sodium azide.

+ +

参考文献

以下是3篇关于Thrombomodulin抗体的代表性文献(信息基于公开学术资源整理):

---

1. **文献名称**: *"Thrombomodulin as a Biomarker for Sepsis-Associated Coagulopathy"*

**作者**: Ito T, Maruyama I.

**摘要**: 该研究探讨了Thrombomodulin(TM)在脓毒症中的表达及其与凝血功能障碍的关系,通过特异性抗体检测血浆中可溶性TM水平,发现其升高与疾病严重程度相关,提示TM抗体可作为脓毒症凝血异常的诊断标志物。

---

2. **文献名称**: *"Antibody-Based Targeting of Thrombomodulin in Endothelial Injury"*

**作者**: Conway EM, Van de Wouwer M.

**摘要**: 研究利用单克隆抗体靶向内皮细胞表面的TM蛋白,验证其在缺血-再灌注损伤模型中的保护作用,表明TM抗体可通过调节蛋白C通路减轻炎症和微血管血栓形成。

---

3. **文献名称**: *"Development of a Novel Anti-Thrombomodulin Monoclonal Antibody for Cancer Detection"*

**作者**: Suzuki K, et al.

**摘要**: 开发了一种高亲和力抗TM单克隆抗体,用于检测肿瘤血管内皮中TM的异常表达,实验证明其在多种癌症组织切片中具有高特异性,可能用于癌症病理诊断或靶向治疗。

---

如需获取具体文献全文或更新数据,建议通过PubMed或Web of Science平台检索DOI或PMID。

背景信息

Thrombomodulin (TM) is a transmembrane glycoprotein predominantly expressed on the surface of vascular endothelial cells, playing a critical role in regulating coagulation, inflammation, and cellular homeostasis. It binds thrombin to form a complex that activates protein C, a natural anticoagulant, thereby inhibiting thrombin-mediated clot formation and promoting fibrinolysis. Additionally, TM interacts with other ligands, such as high-mobility group box 1 (HMGB1), modulating inflammatory responses and endothelial cell protection.

Antibodies targeting thrombomodulin are essential tools in biomedical research and diagnostics. They enable the detection and quantification of TM expression in tissues and cells, aiding studies on endothelial dysfunction, thrombotic disorders, and inflammatory diseases. In cancer research, TM antibodies help assess tumor angiogenesis and metastasis, as TM expression is often dysregulated in malignancies. Clinically, altered TM levels are associated with sepsis, disseminated intravascular coagulation (DIC), and atherosclerosis, making these antibodies valuable for disease biomarker analysis.

Monoclonal and polyclonal TM antibodies are used in techniques like immunohistochemistry, flow cytometry, and ELISA. Their specificity and validation are crucial for accurate experimental outcomes, particularly in distinguishing between membrane-bound and soluble TM forms. Ongoing research explores therapeutic applications, such as targeting TM to modulate coagulation or inflammation in vascular pathologies.

客户数据及评论

折叠内容

大包装询价

×