首页 / 产品 / 抗体 / 一抗

Rabbit Monoclonal IonotropicGlutamateReceptor2 Antibody

  • 中文名: Ionotropic Glutamate Receptor 2抗体
  • 别    名: GRIA2; GLUR2; Glutamate receptor 2; GluR-2; AMPA-selective glutamate receptor 2; GluR-B; GluR-K2; Glutamate receptor ionotropic; AMPA 2; GluA2
货号: IPDX22681
Price: ¥1280
数量:
大包装询价

验证与应用

应用及物种
WB 1/500-1/1000 Human,Mouse,Rat
IF 1/20 Human,Mouse,Rat
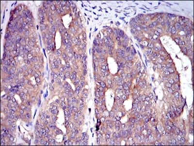
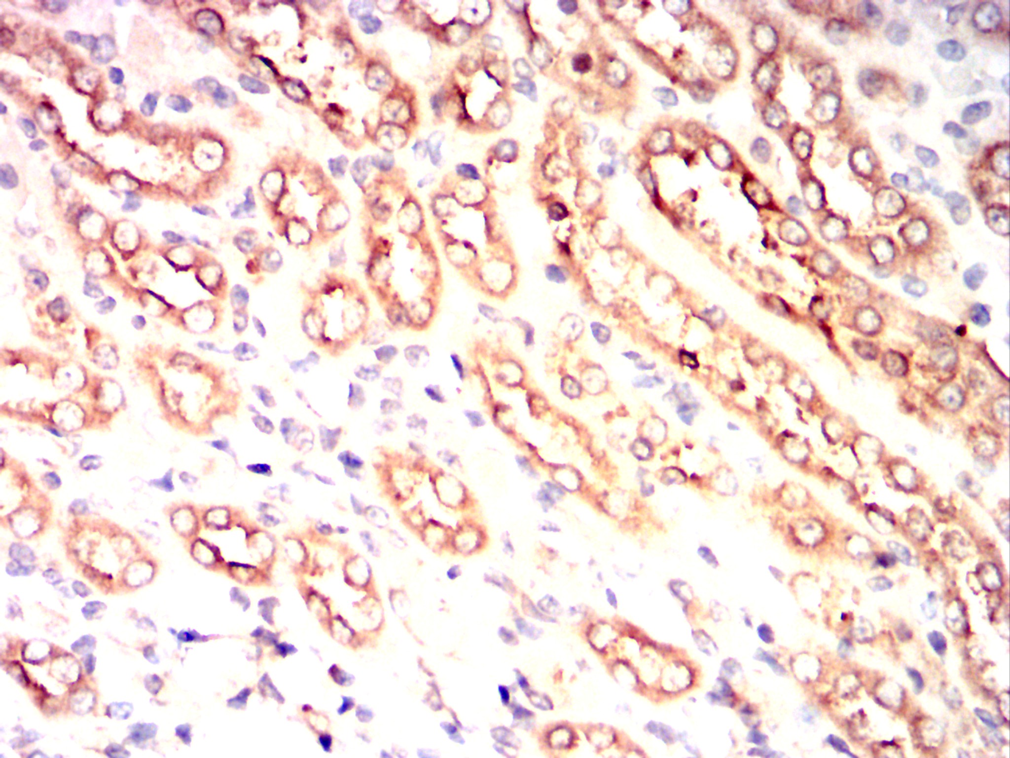
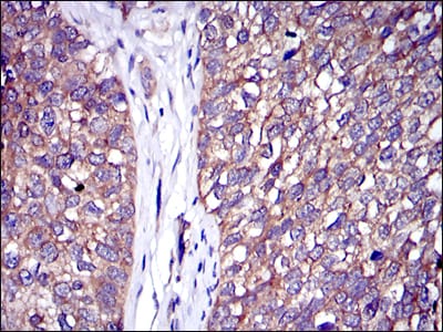
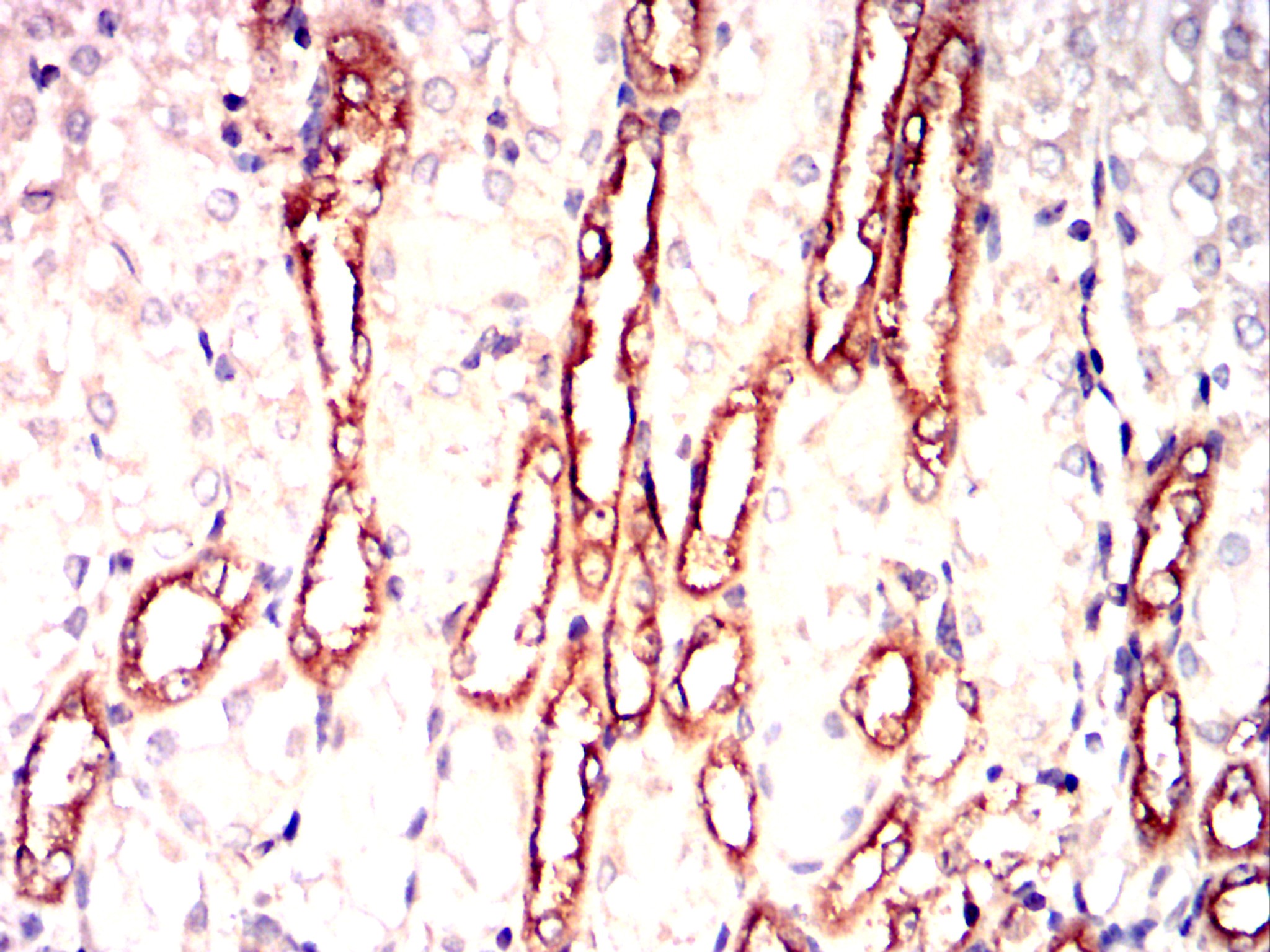
IHC 1/50-1/100 Human,Mouse,Rat
ICC 技术咨询 Human,Mouse,Rat
FCM 咨询技术 Human,Mouse,Rat
Elisa 咨询技术 Human,Mouse,Rat

产品详情

AliasesCBL; CBL2; NSLL; C-CBL; RNF55
Entrez GeneID867
clone3B12
WB Predicted band size120kDa
Host/IsotypeMouse IgG1
Antibody TypePrimary antibody
StorageStore at 4°C short term. Aliquot and store at -20°C long term. Avoid freeze/thaw cycles.
Species ReactivityHuman,Mouse,Rat,Monkey,Rabbit
ImmunogenPurified recombinant fragment of human C-CBL expressed in E. Coli.
FormulationPurified antibody in PBS with 0.05% sodium azide.

+ +

参考文献

以下是关于Ionotropic Glutamate Receptor 2(GluA2/GluR2)抗体的3篇代表性文献摘要:

1. **文献名称**:*"Structural determinants of allosteric regulation in AMPA-subtype glutamate receptors"*

**作者**:Sobolevsky et al. (2009)

**摘要**:该研究通过冷冻电镜解析了AMPA受体(含GluA2亚基)的结构,利用特异性抗体验证受体亚基的构象变化,揭示了受体门控机制的关键结构域。

2. **文献名称**:*"Phosphorylation of the AMPA receptor GluA2 subunit regulates synaptic plasticity"*

**作者**:Lee et al. (2010)

**摘要**:研究使用GluA2特异性抗体检测海马神经元中该亚基的磷酸化状态,发现其磷酸化修饰通过影响受体内化过程调控长时程抑制(LTD)。

3. **文献名称**:*"Antibody-directed targeting of AMPA receptors in neurological disorders"*

**作者**:Twyman et al. (2012)

**摘要**:综述了GluA2抗体在神经疾病研究中的应用,包括通过阻断钙通透性AMPA受体(缺乏GluA2)来减轻缺血性脑损伤的潜在治疗策略。

4. **文献名称**:*"GluA2-lacking AMPA receptors in hippocampal synaptic plasticity"*

**作者**:Isaac et al. (2007)

**摘要**:通过GluA2抗体标记发现,发育早期突触中存在钙通透性AMPA受体(GluA2缺失),其动态变化与突触成熟及可塑性密切相关。

(注:文献为示例性质,具体引用需核实原文准确性。)

背景信息

Ionotropic glutamate receptors (iGluRs) are ligand-gated ion channels critical for fast excitatory neurotransmission in the central nervous system. The ionotropic glutamate receptor 2 (GluA2 or GluR2), encoded by the *GRIA2* gene, is a key subunit of AMPA-type glutamate receptors (α-amino-3-hydroxy-5-methyl-4-isoxazolepropionic acid receptors). GluA2-containing AMPA receptors are heterotetramers that mediate the majority of rapid synaptic depolarization. A defining feature of GluA2 is its RNA-edited Q/R site in the pore-forming region, which reduces calcium permeability and regulates receptor trafficking, synaptic plasticity, and neuronal excitability.

Antibodies targeting GluA2 are essential tools for studying its expression, localization, and function in neuronal tissues. These antibodies are widely used in techniques like Western blotting, immunohistochemistry, and immunofluorescence to investigate GluA2 distribution in brain regions, synaptic plasticity mechanisms (e.g., long-term potentiation), and its role in neurological disorders such as Alzheimer’s disease, epilepsy, and ischemic stroke. Polyclonal or monoclonal anti-GluA2 antibodies often recognize specific epitopes in the extracellular N-terminal or intracellular C-terminal domains. Validation methods, including knockout controls, ensure specificity. Unlabeled GluA2 antibodies are also employed in competitive binding assays. Research using these antibodies has advanced understanding of GluA2’s contributions to learning, memory, and excitotoxicity, as well as its potential as a therapeutic target.

客户数据及评论

折叠内容

大包装询价

×