首页 / 产品 / 抗体 / 一抗

Rabbit Monoclonal MCM2 Antibody

  • 中文名: MCM2抗体
  • 别    名: MCM2; BM28; CCNL1; CDCL1; KIAA0030; DNA replication licensing factor MCM2; Minichromosome maintenance protein 2 homolog; Nuclear protein BM28
货号: IPDX22448
Price: ¥1280
数量:
大包装询价

验证与应用

应用及物种
WB 1/500-1/1000 Human,Mouse,Rat
IF 1/20 Human,Mouse,Rat
IHC 1/50-1/100 Human,Mouse,Rat
ICC 1/50-1/200 Human,Mouse,Rat
FCM 咨询技术 Human,Mouse,Rat
Elisa 咨询技术 Human,Mouse,Rat

产品详情

AliasesMCM2; BM28; CCNL1; CDCL1; KIAA0030; DNA replication licensing factor MCM2; Minichromosome maintenance protein 2 homolog; Nuclear protein BM28
Entrez GeneID4171
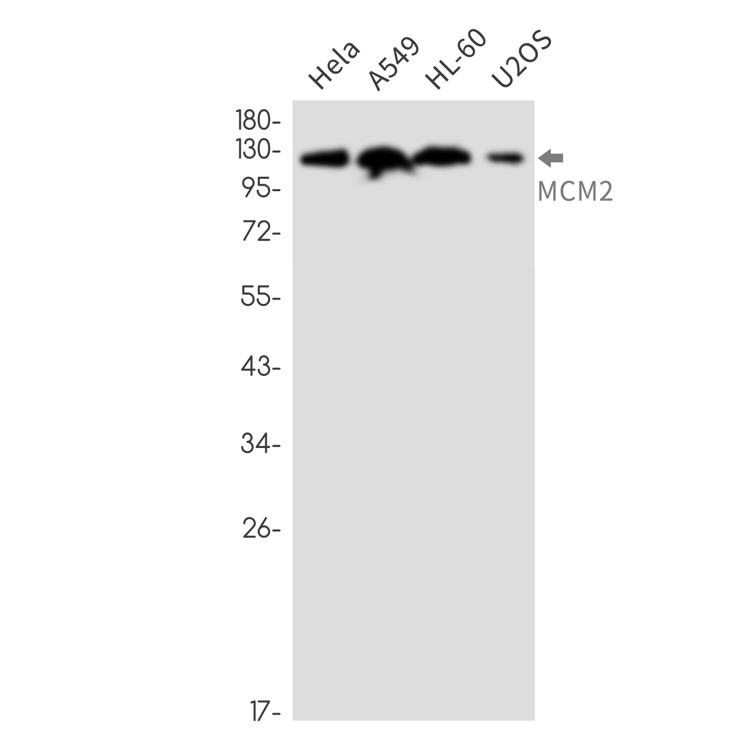
WB Predicted band sizeCalculated MW: 102 kDa; Observed MW: 125 kDa
Host/IsotypeRabbit IgG
Antibody TypePrimary antibody
StorageStore at 4°C short term. Aliquot and store at -20°C long term. Avoid freeze/thaw cycles.
Species ReactivityHuman
ImmunogenA synthetic peptide of human MCM2
FormulationPurified antibody in TBS with 0.05% sodium azide,0.05%BSA and 50% glycerol.

+ +

参考文献

以下是关于MCM2抗体的3篇参考文献及其简要摘要:

---

1. **文献名称**: *"DNA replication licensing in somatic cells: regulation by phosphorylation and cancer"*

**作者**: Stoeber, K., et al.

**摘要**: 该研究探讨了MCM2作为DNA复制许可因子的核心作用,并分析了其在正常细胞与癌细胞中的表达差异。通过抗体检测发现,MCM2在多种癌症中异常高表达,可作为细胞增殖和肿瘤恶性程度的生物标志物。

---

2. **文献名称**: *"MCM2 and Ki-67 as prognostic markers in meningioma: A systematic review and meta-analysis"*

**作者**: Wharton, S. B., et al.

**摘要**: 研究比较了MCM2抗体与Ki-67抗体在脑膜瘤预后评估中的效能。结果显示,MCM2标记的细胞增殖指数与肿瘤复发风险显著相关,且敏感性高于Ki-67.提示其在临床病理诊断中的潜在优势。

---

3. **文献名称**: *"Expression of minichromosome maintenance proteins (MCM2 and MCM5) in gastric cancer and its association with prognosis"*

**作者**: Giaginis, C., et al.

**摘要**: 通过免疫组化分析MCM2在胃癌组织中的表达水平,发现其过表达与肿瘤分期、转移及患者生存率下降密切相关,表明MCM2抗体可用于胃癌的预后评估和靶向治疗研究。

---

如果需要具体期刊信息或全文链接,建议通过PubMed或ResearchGate检索相关标题。

背景信息

The MCM2 (Minichromosome Maintenance Complex Component 2) antibody is a key tool for studying the MCM protein family, essential components of the DNA replication machinery. MCM2. part of the hexameric MCM2-7 complex, plays a critical role in initiating and regulating eukaryotic DNA replication by forming the core of the replicative helicase. During the G1 phase of the cell cycle, MCM2-7 complexes bind to replication origins as part of the pre-replication complex (pre-RC), ensuring precise "licensing" of DNA for a single round of replication per cell cycle.

MCM2 antibodies are widely used in research to investigate cell proliferation, replication stress, and genome stability. Since MCM proteins are overexpressed in proliferating cells, MCM2 serves as a biomarker for cellular proliferation in cancers and pre-neoplastic lesions. Clinically, MCM2 antibodies are employed in immunohistochemistry (IHC) to assess tumor aggressiveness, prognosis, and response to therapies, as high MCM2 levels correlate with poor clinical outcomes. They are also utilized in techniques like Western blotting and immunofluorescence to study replication dynamics, checkpoint activation, and cell cycle regulation. Additionally, MCM2 dysfunction is linked to replication errors and genomic instability, making its antibody a valuable probe in understanding cancer biology and developmental disorders. Its specificity and relevance in both basic and translational research underscore its importance in molecular and clinical diagnostics.

客户数据及评论

折叠内容

大包装询价

×