首页 / 产品 / 抗体 / 一抗

Rabbit Monoclonal IMPDH2 Antibody

  • 中文名: IMPDH2抗体
  • 别    名: IMPD2; IMPDH 2; IMPDH II; Impdh2
货号: IPDX22417
Price: ¥1280
数量:
大包装询价

验证与应用

应用及物种
WB 1/500-1/1000 Human,Mouse,Rat
IF 1/20 Human,Mouse,Rat
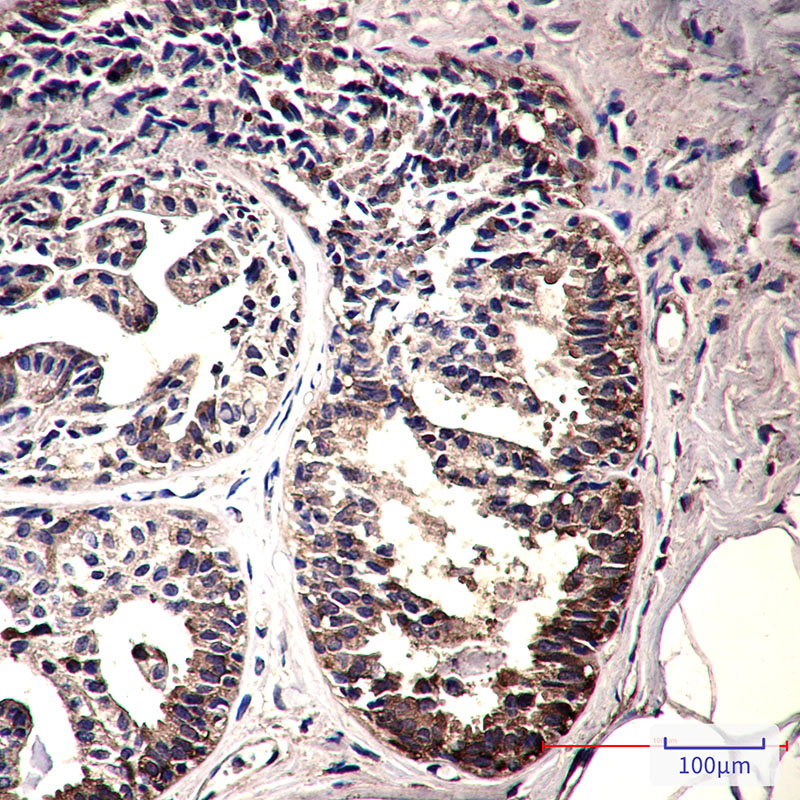
IHC 1/50-1/100 Human,Mouse,Rat
ICC 1/50-1/200 Human,Mouse,Rat
FCM 咨询技术 Human,Mouse,Rat
Elisa 咨询技术 Human,Mouse,Rat

产品详情

AliasesIMPD2; IMPDH 2; IMPDH II; Impdh2
Entrez GeneID3615
WB Predicted band sizeCalculated MW: 56 kDa; Observed MW: 56 kDa
Host/IsotypeRabbit IgG
Antibody TypePrimary antibody
StorageStore at 4°C short term. Aliquot and store at -20°C long term. Avoid freeze/thaw cycles.
Species ReactivityHuman,Mouse,Rat
ImmunogenA synthetic peptide of human IMPDH2
FormulationPurified antibody in TBS with 0.05% sodium azide,0.05%BSA and 50% glycerol.

+ +

参考文献

以下是关于IMPDH2抗体的3篇参考文献及其摘要概括:

1. **文献名称**:*IMPDH2 is a novel target for anticancer therapeutics*

**作者**:Ji Y. et al.

**摘要**:该研究通过Western blot和免疫组化分析,发现IMPDH2在多种癌症细胞中高表达,并验证其单克隆抗体在抑制肿瘤生长中的作用,提示其作为癌症治疗靶点的潜力。

2. **文献名称**:*Structural basis for IMP dehydrogenase inhibition and its interaction with the anticancer drug mycophenolic acid*

**作者**:Hedstrom L. et al.

**摘要**:利用X射线晶体学和IMPDH2特异性抗体,揭示了IMPDH2与抑制剂(如霉酚酸)结合的分子机制,为开发靶向IMPDH2的抗癌药物提供结构基础。

3. **文献名称**:*IMPDH2-mediated GTP biosynthesis promotes viral replication and immune evasion*

**作者**:Wang T. et al.

**摘要**:研究发现IMPDH2在病毒感染期间通过调控GTP合成促进病毒复制,利用抗体敲低IMPDH2显著抑制病毒增殖,表明其可作为抗病毒治疗靶标。

这些文献均通过IMPDH2抗体进行功能或机制研究,涵盖癌症、药物开发及病毒学领域。如需具体年份或期刊信息,可进一步补充检索关键词(如疾病类型或实验方法)。

背景信息

IMPDH2 (Inosine-5′-monophosphate dehydrogenase type II) is a key enzyme in the de novo biosynthesis of guanine nucleotides, catalyzing the conversion of inosine monophosphate (IMP) to xanthosine monophosphate (XMP). This rate-limiting step is critical for cellular proliferation and immune function, as guanine nucleotides are essential for DNA/RNA synthesis and signaling. IMPDH2. one of two isoforms (IMPDH1 and IMPDH2), is ubiquitously expressed but particularly upregulated in rapidly dividing cells, including cancer cells and activated lymphocytes. Its overexpression is linked to tumor progression, autoimmune disorders, and viral replication mechanisms, making it a therapeutic target for immunosuppressants (e.g., mycophenolate mofetil) and anticancer agents.

Antibodies targeting IMPDH2 are widely used in research to study its expression, localization, and regulatory roles in diseases. They enable detection via techniques like Western blotting, immunohistochemistry, and immunofluorescence, helping to correlate IMPDH2 levels with pathological states. For instance, elevated IMPDH2 in certain cancers (e.g., leukemia, colorectal carcinoma) has been associated with chemoresistance. These antibodies also aid in evaluating the efficacy of IMPDH inhibitors and understanding resistance mechanisms. Commercial IMPDH2 antibodies are typically validated for specificity across human, mouse, and rat samples, supporting translational studies. However, variability in isoform cross-reactivity (IMPDH1 vs. IMPDH2) requires careful experimental design to ensure accurate interpretation.

客户数据及评论

折叠内容

大包装询价

×