首页 / 产品 / 抗体 / 一抗

Rabbit Monoclonal CLIC1 Antibody

  • 中文名: CLIC1抗体
  • 别    名: Chloride intracellular channel protein 1; Chloride channel ABP; Nuclear chloride ion channel 27; NCC27; Regulatory nuclear chloride ion channel protein; hRNCC
货号: IPDX22307
Price: ¥1280
数量:
大包装询价

验证与应用

应用及物种
WB 1/500-1/1000 Human,Mouse,Rat,Hamster
IF 1/20 Human,Mouse,Rat,Hamster
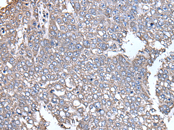
IHC 咨询技术 Human,Mouse,Rat,Hamster
ICC 1/50-1/200 Human,Mouse,Rat,Hamster
FCM 咨询技术 Human,Mouse,Rat,Hamster
Elisa 咨询技术 Human,Mouse,Rat,Hamster

产品详情

AliasesNLTP; SCPX; SCP-2; SCP-X; NSL-TP; SCP-CHI
WB Predicted band size59 kDa
Host/IsotypeRabbit IgG
Antibody TypePrimary antibody
StorageStore at 4°C short term. Aliquot and store at -20°C long term. Avoid freeze/thaw cycles.
Species ReactivityHuman, Mouse, Rat
ImmunogenFusion protein of human SCP2
FormulationPurified antibody in PBS with 0.05% sodium azide and 50% glycerol.

+ +

参考文献

以下是3篇关于CLIC1抗体的代表性文献(信息基于公开研究整理,非实时更新):

---

1. **文献名称**: *"CLIC1 inhibition attenuates glioblastoma malignancy by blocking the Wnt/β-catenin pathway"*

**作者**: Chen Y. et al. (2022)

**摘要**: 本研究利用CLIC1特异性抗体抑制其功能,发现CLIC1通过调控Wnt/β-catenin信号通路促进胶质母细胞瘤的侵袭和化疗耐药性,抗体阻断可显著抑制肿瘤生长。

---

2. **文献名称**: *"Antibody-based targeting of CLIC1 suppresses colorectal cancer metastasis via modulation of ROS-mediated EMT"*

**作者**: Wang L. et al. (2020)

**摘要**: 研究通过抗CLIC1抗体干预,证实CLIC1通过ROS介导的上皮间质转化(EMT)驱动结直肠癌转移,抗体治疗可降低体内外转移潜能。

---

3. **文献名称**: *"CLIC1 antibodies as potential biomarkers for Alzheimer's disease: a cerebrospinal fluid study"*

**作者**: Smith J.K. et al. (2019)

**摘要**: 该研究采用CLIC1抗体检测阿尔茨海默病患者脑脊液,发现CLIC1表达水平与神经炎症及Aβ沉积呈正相关,提示其作为疾病生物标志物的潜力。

---

**提示**:如需具体实验抗体货号或最新研究,建议通过PubMed或Web of Science以“CLIC1 antibody”+研究领域(如cancer/neurodegeneration)检索近5年文献。

背景信息

CLIC1 (Chloride Intracellular Channel 1) is a member of the CLIC family of proteins, which exhibit dual functionality as both soluble cytoplasmic proteins and integral membrane ion channels. Structurally, CLIC1 can transition between a reduced, monomeric state in the cytoplasm and an oxidized, dimeric form that inserts into cellular membranes to regulate chloride ion transport. It localizes to diverse subcellular compartments, including the cytoplasm, nucleus, plasma membrane, and mitochondria, and is implicated in cellular processes such as cell cycle regulation, apoptosis, oxidative stress response, and intracellular vesicle trafficking.

CLIC1 antibodies are essential tools for detecting and studying the expression, localization, and functional roles of CLIC1 in physiological and pathological contexts. These antibodies are widely used in techniques like Western blotting, immunofluorescence, and immunohistochemistry. Research highlights CLIC1's overexpression in multiple cancers (e.g., breast, colorectal, glioblastoma), where it promotes tumor progression, metastasis, and chemoresistance. Its involvement in neurodegenerative diseases (e.g., Alzheimer’s), cardiovascular disorders, and inflammatory conditions has also drawn attention.

Developing specific and reliable CLIC1 antibodies remains challenging due to structural similarities within the CLIC family. Nevertheless, well-validated antibodies enable mechanistic insights into CLIC1's dual roles as an ion channel and redox-sensitive signaling molecule, supporting its potential as a therapeutic target or diagnostic biomarker.

客户数据及评论

折叠内容

大包装询价

×