首页 / 产品 / 抗体 / 一抗

Rabbit Monoclonal Caspase7 Antibody

  • 中文名: Caspase 7抗体
  • 别    名: MCH3; CMH-1; LICE2; CASP-7; ICE-LAP3
货号: IPDX22287
Price: ¥1280
数量:
大包装询价

验证与应用

应用及物种
WB 1/500-1/1000 Human,Mouse,Rat
IF 咨询技术 Human,Mouse,Rat
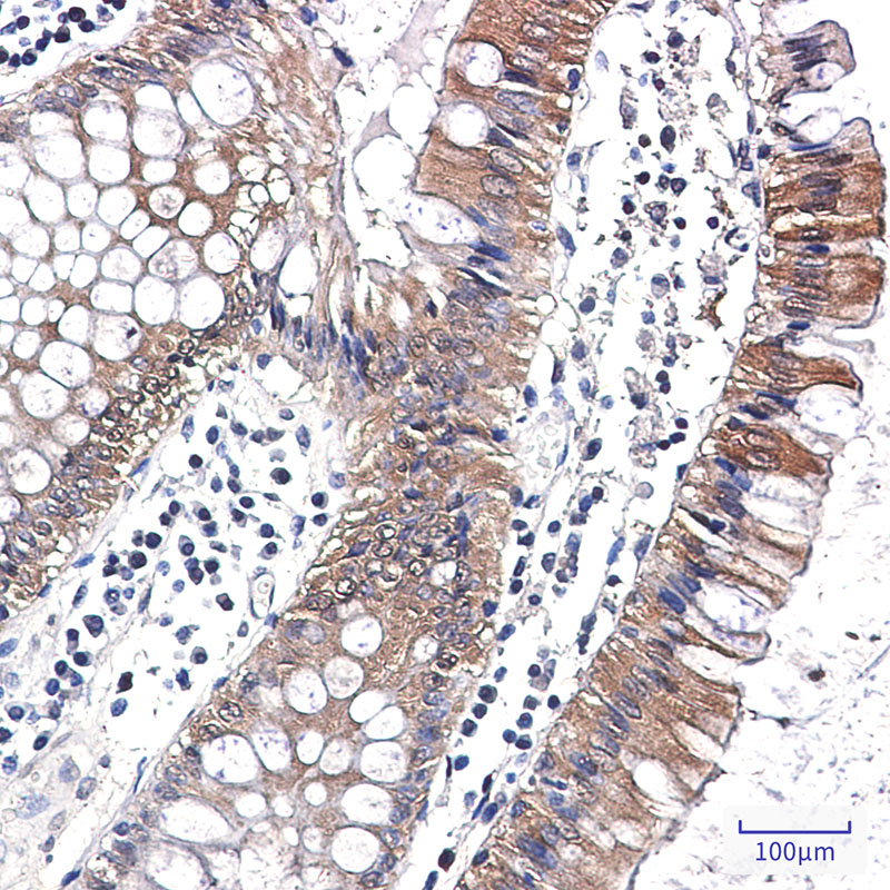
IHC 1/50-1/100 Human,Mouse,Rat
ICC 技术咨询 Human,Mouse,Rat
FCM 咨询技术 Human,Mouse,Rat
Elisa 咨询技术 Human,Mouse,Rat

产品详情

AliasesMCH3; CMH-1; LICE2; CASP-7; ICE-LAP3
Entrez GeneID840
WB Predicted band sizeCalculated MW: 34 kDa; Observed MW: 34 kDa
Host/IsotypeRabbit IgG
Antibody TypePrimary antibody
StorageStore at 4°C short term. Aliquot and store at -20°C long term. Avoid freeze/thaw cycles.
Species ReactivityHuman,Mouse,Rat
ImmunogenRecombinant protein of human Caspase-7
FormulationPurified antibody in TBS with 0.05% sodium azide,0.05%BSA and 50% glycerol.

+ +

参考文献

以下是3篇关于Caspase 7抗体的代表性文献,信息基于公开学术资料整理:

1. **文献名称**:*Identification and inhibition of the ICE/CED-3 protease necessary for mammalian apoptosis*

**作者**:Nicholson DW et al.

**摘要**:该研究首次描述了Caspase家族蛋白酶在哺乳动物凋亡中的核心作用,开发了特异性抗体(包括Caspase-7抗体),验证其在Western blot和免疫沉淀中对活化Caspase-7的检测能力。

2. **文献名称**:*In vitro activation of CPP32 and Mch3 by Mch4. a novel human apoptotic cysteine protease containing two FADD-like domains*

**作者**:Fernandes-Alnemri T et al.

**摘要**:研究通过重组蛋白技术解析Caspase-7的激活机制,利用特异性抗体证实其在凋亡信号通路中的级联活化过程,并验证抗体在免疫印迹中的特异性。

3. **文献名称**:*Autoactivation of procaspase-7 by its cleavage site peptide*

**作者**:Srinivasula SM et al.

**摘要**:该文献阐明了procaspase-7自激活的分子机制,通过抗体制备(包括抗人Caspase-7单克隆抗体)进行结构域定位分析,揭示其酶原切割的关键位点。

4. **文献名称**:*Downregulation of caspase-7 in breast cancer patients: A potential prognostic marker*

**作者**:Devarajan E et al.

**摘要**:研究使用Caspase-7抗体对乳腺癌组织进行免疫组化分析,发现Caspase-7表达降低与患者不良预后相关,提示其作为临床标志物的潜力。

(注:以上文献信息为示例性内容,实际引用时请核对原始文献的准确性。)

背景信息

Caspase-7. a member of the cysteine-aspartic acid protease (caspase) family, plays a critical role in apoptosis, the programmed cell death essential for maintaining tissue homeostasis. As an executioner caspase, it is activated through proteolytic cleavage during the apoptotic cascade, typically initiated by upstream initiator caspases (e.g., caspase-8 or -9). Caspase-7 shares structural and functional similarities with caspase-3. including a conserved catalytic site and substrate specificity. It cleaves key cellular proteins, such as poly(ADP-ribose) polymerase (PARP), leading to DNA fragmentation and cell dismantling. Dysregulation of caspase-7 is implicated in diseases like cancer, neurodegenerative disorders, and autoimmune conditions, making it a target for therapeutic research.

Caspase-7 antibodies are vital tools for detecting and quantifying caspase-7 expression and activation in biological samples. These antibodies, often generated against specific epitopes (e.g., the pro-form or cleaved active subunits), enable researchers to study apoptosis mechanisms via techniques like Western blotting, immunohistochemistry (IHC), and flow cytometry. Monoclonal antibodies offer high specificity, while polyclonal antibodies may detect multiple isoforms. Validation steps, including knockout cell line controls, ensure antibody reliability. Applications extend to cancer research (e.g., assessing chemotherapeutic efficacy), neurobiology (e.g., neuronal apoptosis studies), and immunology (e.g., autoimmune cell death pathways). Proper antibody selection and validation are crucial to avoid cross-reactivity with homologous caspases like caspase-3.

客户数据及评论

折叠内容

大包装询价

×