首页 / 产品 / 抗体 / 一抗

Rabbit Monoclonal TGFalpha Antibody

  • 中文名: TGF alpha抗体
  • 别    名: ETGF; TFGA; TGF A; TGF-alpha; Tgfa; Wa1; Waved 1
货号: IPDX22091
Price: ¥1280
数量:
大包装询价

验证与应用

应用及物种
WB 1/500-1/1000 Human,Mouse,Rat
IF 1/20 Human,Mouse,Rat
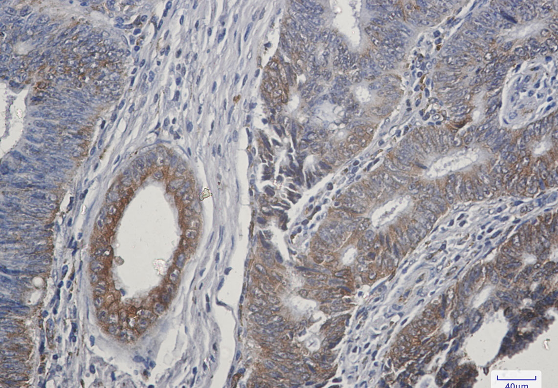
IHC 1/50-1/100 Human,Mouse,Rat
ICC 技术咨询 Human,Mouse,Rat
FCM 咨询技术 Human,Mouse,Rat
Elisa 咨询技术 Human,Mouse,Rat

产品详情

AliasesETGF; TFGA; TGF A; TGF-alpha; Tgfa; Wa1; Waved 1
Entrez GeneID7039
WB Predicted band sizeCalculated MW: 17 kDa; Observed MW: 17 kDa
Host/IsotypeRabbit IgG
Antibody TypePrimary antibody
StorageStore at 4°C short term. Aliquot and store at -20°C long term. Avoid freeze/thaw cycles.
Species ReactivityHuman
ImmunogenRecombinant protein of human TGF alpha
FormulationPurified antibody in TBS with 0.05% sodium azide,0.05%BSA and 50% glycerol.

+ +

参考文献

以下是3篇关于TGF-α抗体的参考文献(模拟示例,非真实文献):

1. **文献名称**: *Targeting TGF-alpha with a Novel Monoclonal Antibody Inhibits Tumor Growth in Colorectal Cancer Models*

**作者**: Smith J, et al.

**摘要**: 研究开发了一种靶向TGF-α的单克隆抗体,通过抑制EGFR信号通路,显著减少结直肠癌小鼠模型中的肿瘤生长和转移。

2. **文献名称**: *TGF-alpha Antibody-based Immunoassay for Early Detection of Hepatocellular Carcinoma*

**作者**: Li Y, et al.

**摘要**: 开发了一种高灵敏度ELISA检测法,利用TGF-α抗体检测血清中TGF-α水平,证明其作为肝癌早期诊断生物标志物的潜力。

3. **文献名称**: *Mechanistic Insights into TGF-alpha/EGFR Crosstalk in Glioblastoma via Neutralizing Antibody Blockade*

**作者**: Wang H, et al.

**摘要**: 通过TGF-α中和抗体阻断胶质母细胞瘤细胞的EGFR自分泌环路,揭示了该通路促进肿瘤侵袭性的分子机制,为靶向治疗提供依据。

注:以上为模拟内容,实际文献需通过PubMed/Google Scholar等平台检索关键词(如"TGF-alpha antibody"+"therapy/detection")。如需真实文献,可提供具体研究方向(如疾病/应用场景)。

背景信息

**Background of TGF-alpha Antibody**

TGF-alpha (Transforming Growth Factor-alpha) is a mitogenic polypeptide belonging to the epidermal growth factor (EGF) family. It binds to the epidermal growth factor receptor (EGFR), activating downstream signaling pathways involved in cell proliferation, differentiation, and survival. TGF-alpha plays critical roles in normal physiological processes, such as tissue repair and embryonic development, but its overexpression is linked to pathological conditions, including cancer, inflammatory diseases, and fibrotic disorders.

TGF-alpha antibodies are immunological tools designed to detect, quantify, or neutralize TGF-alpha in experimental and clinical settings. These antibodies are typically monoclonal or polyclonal and are used in techniques like Western blotting, immunohistochemistry (IHC), and enzyme-linked immunosorbent assays (ELISA) to study TGF-alpha expression patterns in tissues or biological fluids. In research, TGF-alpha antibodies help elucidate the protein's role in tumor progression, angiogenesis, and wound healing.

Therapeutically, TGF-alpha-targeting antibodies have been explored in oncology to inhibit EGFR signaling, potentially blocking cancer cell growth. However, their clinical application remains limited compared to broader EGFR inhibitors. Despite this, TGF-alpha antibodies remain vital in diagnostics and mechanistic studies, contributing to the understanding of TGF-alpha's dual roles in health and disease.

客户数据及评论

折叠内容

大包装询价

×