首页 / 产品 / 抗体 / 一抗

Rabbit Monoclonal TDP43 Antibody

  • 中文名: TDP 43抗体
  • 别    名: ALS10; TDP-43
货号: IPDX22083
Price: ¥1280
数量:
大包装询价

验证与应用

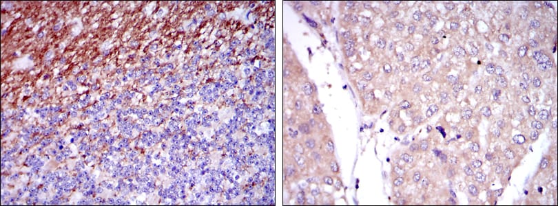
应用及物种
WB 1/500-1/1000 Human,Mouse,Rat
IF 1/20 Human,Mouse,Rat
IHC 1/50-1/100 Human,Mouse,Rat
ICC 1/50-1/200 Human,Mouse,Rat
FCM 咨询技术 Human,Mouse,Rat
Elisa 咨询技术 Human,Mouse,Rat

产品详情

AliasesLeX; CD15; ELFT; FCT3A; FUTIV; SSEA-1; FUC-TIV
Entrez GeneID2526
clone4E10
WB Predicted band size59kDa
Host/IsotypeMouse IgG1
Antibody TypePrimary antibody
StorageStore at 4°C short term. Aliquot and store at -20°C long term. Avoid freeze/thaw cycles.
Species ReactivityHuman
ImmunogenSynthesized peptide of human CD15.  
FormulationPurified antibody in PBS with 0.05% sodium azide.

+ +

参考文献

以下是3篇关于TDP-43抗体的参考文献及其摘要内容:

---

1. **"Ubiquitinated TDP-43 in Frontotemporal Lobar Degeneration and Amyotrophic Lateral Sclerosis"**

- Neumann M, et al. (2006) *Science*

- 摘要:首次发现TDP-43蛋白在额颞叶变性(FTLD)和肌萎缩侧索硬化症(ALS)患者神经元中异常聚集,并通过特异性抗体检测到其磷酸化和泛素化修饰,为TDP-43病理学奠定基础。

---

2. **"Phosphorylated TDP-43 in Frontotemporal Lobar Degeneration and Amyotrophic Lateral Sclerosis"**

- Hasegawa M, et al. (2008) *Brain*

- 摘要:开发了针对磷酸化TDP-43的特异性抗体,揭示了TDP-43在神经退行性疾病中的病理性磷酸化特征,并验证了抗体在区分正常与病理TDP-43中的有效性。

---

3. **"Dysregulation of the ALS-associated gene TDP-43 leads to neuronal death and degeneration in mice"**

- Igaz LM, et al. (2011) *Journal of Clinical Investigation*

- 摘要:利用多种TDP-43抗体研究小鼠模型中TDP-43异常表达的致病机制,发现其核内缺失和胞质聚集与神经元死亡相关,强调了抗体在定位TDP-43异常分布中的关键作用。

---

4. **"ALS-linked TDP-43 mutations produce aberrant RNA splicing and adult-onset motor neuron degeneration without aggregation or loss of nuclear TDP-43"**

- Arnold ES, et al. (2013) *PNAS*

- 摘要:通过免疫组化和Western blot分析TDP-43突变体,使用特异性抗体证明突变导致RNA代谢异常,而非传统病理聚集,拓展了TDP-43抗体的应用场景。

---

以上文献均涉及TDP-43抗体的开发、验证或应用,聚焦于神经退行性疾病中TDP-43的病理机制研究。

背景信息

TDP-43 (transactive response DNA-binding protein 43 kDa) is a RNA-binding protein primarily localized in the nucleus, where it regulates RNA metabolism, including splicing, transport, and stability. In 2006. aberrant cytoplasmic aggregates of TDP-43 were identified as a hallmark pathology in amyotrophic lateral sclerosis (ALS) and frontotemporal lobar degeneration (FTLD), establishing its critical role in neurodegenerative diseases. These aggregates are characterized by hyperphosphorylation, ubiquitination, and cleavage, leading to loss of nuclear TDP-43 function and toxic gain-of-function in the cytoplasm.

TDP-43 antibodies are essential tools for studying its pathological and physiological roles. Polyclonal and monoclonal antibodies target specific epitopes, such as the C-terminal region (common in disease-associated aggregates) or phosphorylation sites (e.g., Ser409/410). In research, they enable detection of TDP-43 mislocalization, aggregation, and post-translational modifications via immunohistochemistry, Western blot, or immunofluorescence. Clinically, TDP-43 antibodies aid in diagnosing TDP-43 proteinopathies and differentiating subtypes of dementia or ALS. However, variability in antibody specificity requires careful validation to avoid cross-reactivity with similar proteins. Ongoing efforts focus on developing antibodies that distinguish pathological forms, facilitating early disease detection and therapeutic development targeting TDP-43 dysregulation.

客户数据及评论

折叠内容

大包装询价

×