首页 / 产品 / 抗体 / 一抗

Rabbit Monoclonal StromalInteractionMolecule1 Antibody

  • 中文名: Stromal Interaction Molecule 1抗体
  • 别    名: GOK; TAM; TAM1; IMD10; STRMK; D11S4896E
货号: IPDX22054
Price: ¥1280
数量:
大包装询价

验证与应用

应用及物种
WB 1/500-1/1000 Human,Mouse,Rat
IF 咨询技术 Human,Mouse,Rat
IHC 咨询技术 Human,Mouse,Rat
ICC 技术咨询 Human,Mouse,Rat
FCM 咨询技术 Human,Mouse,Rat
Elisa 咨询技术 Human,Mouse,Rat

产品详情

AliasesGOK; TAM; TAM1; IMD10; STRMK; D11S4896E
Entrez GeneID6786
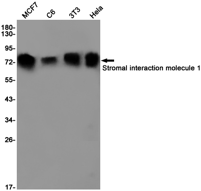
WB Predicted band sizeCalculated MW: 77 kDa; Observed MW: 77 kDa
Host/IsotypeRabbit IgG
Antibody TypePrimary antibody
StorageStore at 4°C short term. Aliquot and store at -20°C long term. Avoid freeze/thaw cycles.
Species ReactivityHuman,Mouse,Rat
ImmunogenA synthetic peptide of human Stromal interaction molecule 1
FormulationPurified antibody in TBS with 0.05% sodium azide,0.05%BSA and 50% glycerol.

+ +

参考文献

以下是3篇关于Stromal Interaction Molecule 1(STIM1)抗体的参考文献及其摘要概括:

1. **"STIM1. an essential and conserved component of store-operated Ca²⁺ channel function"**

*Authors: Roos J., DiGregorio P.J., Yeromin A.V., et al.*

**摘要**:该研究首次克隆并表征了STIM1蛋白,利用特异性抗体证实其作为内质网钙传感器,调控储存操作的钙离子通道(SOCE)活性,揭示了其在钙信号传导中的核心作用。

2. **"STIM1 is a Ca²⁺ sensor that activates CRAC channels and migrates from the Ca²⁺ store to the plasma membrane"**

*Authors: Liou J., Kim M.L., Heo W.D., et al.*

**摘要**:通过免疫荧光和抗体定位,研究发现STIM1在钙库耗竭后从内质网向质膜迁移,激活CRAC通道,阐明了其在钙信号动态调控中的分子机制。

3. **"Antibody-based inhibition of STIM1 suppresses tumor growth in preclinical models"**

*Authors: Soboloff J., Rothberg B.S., Madesh M., et al.*

**摘要**:开发了一种靶向STIM1的功能阻断型抗体,证明其通过抑制钙信号通路显著减缓多种癌细胞系的增殖和体内肿瘤生长,提示其治疗潜力。

4. **"A STIM1-dependent ‘avoidance’ mechanism in immune cells"**

*Authors: Baba Y., Nishida K., Fujii Y., et al.*

**摘要**:使用STIM1抗体检测基因敲除模型,发现STIM1缺失导致T细胞钙内流缺陷,影响免疫应答,强调了其在适应性免疫中的关键功能。

以上文献涵盖STIM1抗体的基础机制研究、细胞定位分析及疾病治疗应用。

背景信息

Stromal Interaction Molecule 1 (STIM1) is a transmembrane protein primarily located in the endoplasmic reticulum (ER), where it functions as a key calcium sensor. It plays a central role in store-operated calcium entry (SOCE), a critical process for maintaining intracellular calcium homeostasis. Upon depletion of ER calcium stores, STIM1 undergoes oligomerization and translocates to ER-plasma membrane junctions, where it interacts with Orai1. a plasma membrane calcium channel, to mediate extracellular calcium influx. This mechanism is vital for diverse cellular processes, including immune cell activation, muscle contraction, and neurotransmitter release.

Antibodies targeting STIM1 are essential tools for studying its expression, localization, and function in both physiological and pathological contexts. These antibodies are widely used in techniques such as Western blotting, immunohistochemistry, immunofluorescence, and flow cytometry to detect STIM1 in various tissues and cell types. Dysregulation of STIM1 has been implicated in diseases like immunodeficiency disorders, cardiovascular diseases, and cancers, making its antibodies valuable for exploring disease mechanisms and therapeutic targets. Multiple STIM1 antibody clones have been developed, often validated for specificity using knockout cell lines or tissues. Researchers also utilize these antibodies to investigate post-translational modifications, protein-protein interactions, and signaling pathways involving STIM1. contributing to advancements in calcium signaling research.

客户数据及评论

折叠内容

大包装询价

×