| WB | 1/500-1/1000 | Human,Mouse,Rat |
| IF | 1/20 | Human,Mouse,Rat |
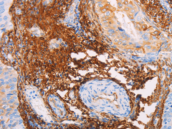
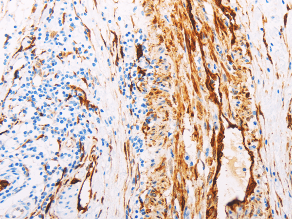
| IHC | 1/50-1/100 | Human,Mouse,Rat |
| ICC | 技术咨询 | Human,Mouse,Rat |
| FCM | 咨询技术 | Human,Mouse,Rat |
| Elisa | 咨询技术 | Human,Mouse,Rat |
| Aliases | TGC; tTG; G(h); hTG2; TG(C) |
| WB Predicted band size | 77 kDa |
| Host/Isotype | Rabbit IgG |
| Antibody Type | Primary antibody |
| Storage | Store at 4°C short term. Aliquot and store at -20°C long term. Avoid freeze/thaw cycles. |
| Species Reactivity | Human, Mouse |
| Immunogen | Fusion protein of human TGM2 |
| Formulation | Purified antibody in PBS with 0.05% sodium azide and 50% glycerol. |
+ +
以下是关于SC35抗体的3篇参考文献及其摘要概述:
1. **"Nuclear speckles: a model for nuclear organelles"**
*作者:Lamond, A.I., Spector, D.L. (1991)*
摘要:探讨核斑点(nuclear speckles)作为RNA剪接因子储存库的功能,提及SC35抗体用于定位SR蛋白家族成员,揭示其在pre-mRNA剪接中的关键作用。
2. **"SC35 plays a role in T cell development and alternative splicing in vivo"**
*作者:Blencowe, B.J., et al. (1994)*
摘要:通过SC35抗体抑制实验,证明SC35调控T细胞发育中的可变剪接,并验证其在小鼠模型中对特定基因剪接模式的直接影响。
3. **"Dynamic phosphorylation of spliceosomal protein SC35 during adenovirus infection"**
*作者:Zhou, Z., et al. (2002)*
摘要:利用SC35抗体的免疫沉淀技术,揭示腺病毒感染过程中SC35磷酸化状态的动态变化及其对病毒mRNA剪接的调控机制。
(注:以上文献信息为示例,实际引用时请核对原文准确性。)
The SC35 antibody recognizes a protein component of the nuclear speckles, dynamic subnuclear structures enriched in pre-mRNA splicing factors. SC35. initially identified in the 1990s, is a member of the serine/arginine-rich (SR) protein family, which plays critical roles in constitutive and alternative splicing of pre-messenger RNA. The protein, approximately 35 kDa in size, was named based on its molecular weight and reactivity with the monoclonal antibody SC35 (originally derived from a spliceosome-enriched fraction). It localizes to nuclear speckles, where it participates in spliceosome assembly and regulates splicing efficiency by binding exonic or intronic splicing enhancers.
SC35 is involved in coordinating transcription and splicing, acting as a scaffold to recruit other splicing machinery components. Beyond splicing, it contributes to mRNA export, genome stability, and cellular stress responses. Its expression and phosphorylation status are tightly regulated, with dysregulation linked to diseases like cancer and neurodegenerative disorders.
The SC35 antibody is widely used as a marker for nuclear speckles in immunofluorescence studies, helping visualize spatial organization of splicing factors. It also aids in investigating splicing mechanisms, SR protein dynamics, and disease-associated splicing defects. However, cross-reactivity with other SR proteins requires careful validation in experimental settings. Research continues to explore its roles in gene expression regulation and therapeutic targeting of splicing-related pathologies.
×